Telefon:
+49 (0)241 95 163 153
Fax:
+49 (0)241 95 163 155
E-Mail:
orders@antikoerper-online.de

RCC1 Antikörper

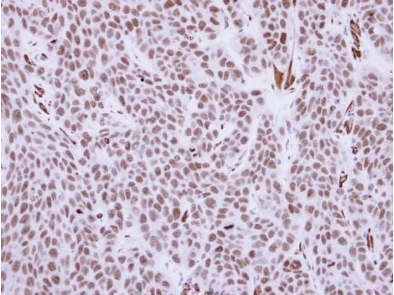
Zitiert in 1 Publikation. Der Kaninchen Polyklonal anti-RCC1 Antikörper (ABIN2855859) detektiert spezifisch RCC1 in WB, IF, ICC und IHC (p). Dieser Antikörper reagiert spezifisch mit Proben aus Human.
Produktnummer ABIN2855859
583,17 €
Zzgl. Versandkosten 20,00 € und MwSt
100 μL
Lieferung nach: Deutschland
Lieferung in 7 bis 10 Werktagen

Kurzübersicht für RCC1 Antikörper (ABIN2855859)

Target

Alle RCC1 Antikörper anzeigen
RCC1 (Regulator of Chromosome Condensation 1 (RCC1))

Reaktivität

  • 85
  • 28
  • 26
  • 6
  • 6
  • 6
  • 6
  • 5
  • 4
  • 3
  • 2
  • 2
  • 1
  • 1
Human

Wirt

  • 72
  • 11
  • 2
Kaninchen

Klonalität

  • 62
  • 23
Polyklonal

Konjugat

  • 42
  • 3
  • 2
  • 2
  • 2
  • 2
  • 2
  • 2
  • 2
  • 2
  • 2
  • 2
  • 2
  • 2
  • 2
  • 2
  • 2
  • 2
  • 2
  • 2
  • 2
  • 1
  • 1
Dieser RCC1 Antikörper ist unkonjugiert

Applikation

  • 61
  • 26
  • 26
  • 22
  • 21
  • 19
  • 17
  • 14
  • 12
  • 7
  • 7
  • 1
Western Blotting (WB), Immunofluorescence (IF), Immunocytochemistry (ICC), Immunohistochemistry (Paraffin-embedded Sections) (IHC (p))
  • Kreuzreaktivität

    Human, Maus

    Produktmerkmale

    Rabbit Polyclonal antibody to RCC1 (regulator of chromosome condensation 1)
    RCC1 antibody

    Aufreinigung

    Purified by antigen-affinity chromatography.

    Immunogen

    Recombinant protein encompassing a sequence within the center region of human RCC1. The exact sequence is proprietary.

    Isotyp

    IgG
  • Applikationshinweise

    WB: 1:500-1:3000. ICC/IF: 1:100-1:1000. IHC-P: 1:100-1:1000. Optimal dilutions/concentrations should be determined by the researcher. Not tested in other applications.

    Kommentare

    Positive Control: Neuro2A , GL261 , 293T , A431 , H1299 , HeLaS3 , HepG2 , Molt-4 , Raji

    Beschränkungen

    Nur für Forschungszwecke einsetzbar
  • Format

    Liquid

    Konzentration

    1 mg/mL

    Buffer

    0.1M Tris-Glycine ( pH 7), 10 % Glycerol, 0.01 % Thimerosal

    Konservierungsmittel

    Thimerosal (Merthiolate)

    Vorsichtsmaßnahmen

    This product contains Thimerosal (Merthiolate): a POISONOUS AND HAZARDOUS SUBSTANCE which should be handled by trained staff only.

    Lagerung

    4 °C,-20 °C

    Informationen zur Lagerung

    Store as concentrated solution. Centrifuge briefly prior to opening vial. For short-term storage (1-2 weeks), store at 4°C. For long-term storage, aliquot and store at -20°C or below. Avoid multiple freeze-thaw cycles.
  • Hayes, Duan, Bowen, Kalab, Rothstein: "C9orf72 arginine-rich dipeptide repeat proteins disrupt karyopherin-mediated nuclear import." in: eLife, Vol. 9, (2020) (PubMed).

  • Target

    RCC1 (Regulator of Chromosome Condensation 1 (RCC1))

    Andere Bezeichnung

    regulator of chromosome condensation 1

    Hintergrund

    Cellular Localization: Nucleus , Cytoplasm

    Molekulargewicht

    45 kDa

    Gen-ID

    1104

    UniProt

    P18754

    Pathways

    Chromatin Binding, Protein targeting to Nucleus
Sie sind hier:
Chat with us!