Telefon:
+49 (0)241 95 163 153
Fax:
+49 (0)241 95 163 155
E-Mail:
orders@antikoerper-online.de

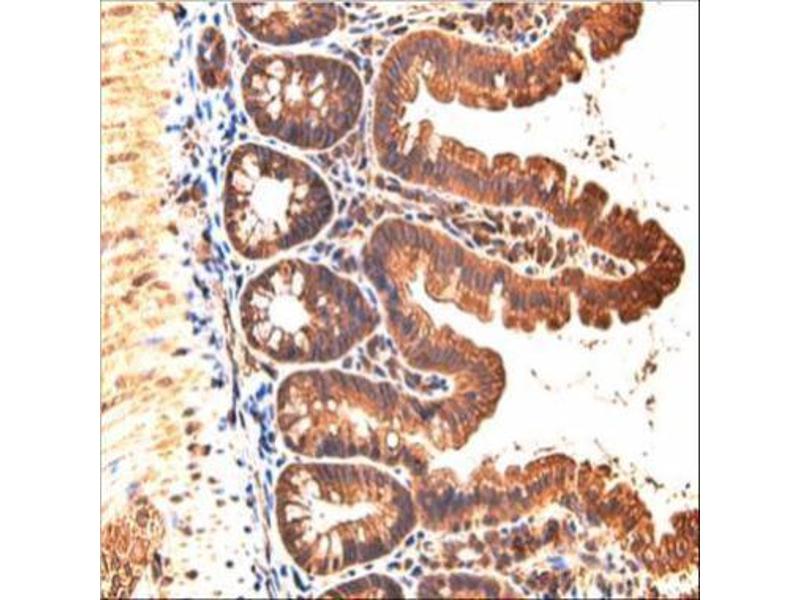
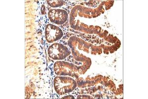
JAM2 Antikörper

Dieser Kaninchen Polyklonal Antikörper detektiert spezifisch JAM2 in WB, IHC und IHC (p). Es zeigt Reaktivität gegenüber Proben von Human.
Produktnummer ABIN2855842
583,17 €
Zzgl. Versandkosten 20,00 € und MwSt
100 μL
Lieferung nach: Deutschland
Lieferung in 7 bis 10 Werktagen

Kurzübersicht für JAM2 Antikörper (ABIN2855842)

Target

Alle JAM2 Antikörper anzeigen
JAM2 (Junctional Adhesion Molecule 2 (JAM2))

Reaktivität

  • 42
  • 8
  • 4
  • 1
  • 1
  • 1
  • 1
  • 1
Human

Wirt

  • 36
  • 7
  • 2
  • 1
Kaninchen

Klonalität

  • 37
  • 9
Polyklonal

Konjugat

  • 30
  • 5
  • 4
  • 4
  • 2
  • 1
Dieser JAM2 Antikörper ist unkonjugiert

Applikation

  • 37
  • 28
  • 20
  • 5
  • 3
  • 3
  • 2
  • 2
  • 1
  • 1
  • 1
  • 1
Western Blotting (WB), Immunohistochemistry (IHC), Immunohistochemistry (Paraffin-embedded Sections) (IHC (p))
  • Kreuzreaktivität

    Human

    Produktmerkmale

    Rabbit Polyclonal antibody to JAM-B (junctional adhesion molecule 2)
    JAM-B antibody

    Aufreinigung

    Purified by antigen-affinity chromatography.

    Immunogen

    Recombinant protein encompassing a sequence within the center region of human JAM-B. The exact sequence is proprietary.

    Isotyp

    IgG
  • Applikationshinweise

    WB: 1:500-1:3000. IHC-P: 1:100-1:1000. Optimal dilutions/concentrations should be determined by the researcher. Not tested in other applications.

    Beschränkungen

    Nur für Forschungszwecke einsetzbar
  • Format

    Liquid

    Konzentration

    1 mg/mL

    Buffer

    0.1M Tris-Glycine ( pH 7), 10 % Glycerol, 0.01 % Thimerosal

    Konservierungsmittel

    Thimerosal (Merthiolate)

    Vorsichtsmaßnahmen

    This product contains Thimerosal (Merthiolate): a POISONOUS AND HAZARDOUS SUBSTANCE which should be handled by trained staff only.

    Lagerung

    4 °C,-20 °C

    Informationen zur Lagerung

    Store as concentrated solution. Centrifuge briefly prior to opening vial. For short-term storage (1-2 weeks), store at 4°C. For long-term storage, aliquot and store at -20°C or below. Avoid multiple freeze-thaw cycles.
  • Target

    JAM2 (Junctional Adhesion Molecule 2 (JAM2))

    Andere Bezeichnung

    junctional adhesion molecule 2

    Hintergrund

    Tight junctions represent one mode of cell-to-cell adhesion in epithelial or endothelial cell sheets, forming continuous seals around cells and serving as a physical barrier to prevent solutes and water from passing freely through the paracellular space. The protein encoded by this immunoglobulin superfamily gene member is localized in the tight junctions between high endothelial cells. It acts as an adhesive ligand for interacting with a variety of immune cell types and may play a role in lymphocyte homing to secondary lymphoid organs.

    Cellular Localization: Cell junction , tight junction (By similarity) , Cell membrane, Single-pass type I membrane protein (By similarity)

    Molekulargewicht

    33 kDa

    Gen-ID

    58494

    UniProt

    P57087
Sie sind hier:
Chat with us!