Telefon:
+49 (0)241 95 163 153
Fax:
+49 (0)241 95 163 155
E-Mail:
orders@antikoerper-online.de

TIMELESS Antikörper (N-Term)

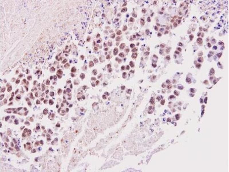
Dieser Kaninchen Polyklonal Antikörper detektiert spezifisch TIMELESS in WB, IF, ICC und IHC (p). Es zeigt Reaktivität gegenüber Proben von Human.
Produktnummer ABIN2855809
583,17 €
Zzgl. Versandkosten 20,00 € und MwSt
100 μL
Lieferung nach: Deutschland
Lieferung in 7 bis 10 Werktagen

Kurzübersicht für TIMELESS Antikörper (N-Term) (ABIN2855809)

Target

Alle TIMELESS Antikörper anzeigen
TIMELESS (Timeless Homolog (TIMELESS))

Reaktivität

  • 44
  • 16
  • 13
  • 9
  • 7
  • 6
  • 5
  • 5
  • 4
  • 4
  • 2
  • 1
  • 1
  • 1
  • 1
  • 1
Human

Wirt

  • 44
  • 3
  • 1
Kaninchen

Klonalität

  • 34
  • 14
Polyklonal

Konjugat

  • 32
  • 4
  • 3
  • 1
  • 1
  • 1
  • 1
  • 1
  • 1
  • 1
  • 1
  • 1
Dieser TIMELESS Antikörper ist unkonjugiert

Applikation

  • 40
  • 19
  • 15
  • 15
  • 11
  • 9
  • 3
  • 2
  • 1
  • 1
Western Blotting (WB), Immunofluorescence (IF), Immunocytochemistry (ICC), Immunohistochemistry (Paraffin-embedded Sections) (IHC (p))
  • Bindungsspezifität

    • 7
    • 6
    • 5
    • 4
    • 2
    • 2
    • 1
    • 1
    • 1
    N-Term

    Kreuzreaktivität

    Maus, Ratte (Rattus)

    Kreuzreaktivität (Details)

    Mouse (91 %), Rat (91 %)

    Produktmerkmale

    Rabbit Polyclonal antibody to Timeless (timeless homolog (Drosophila))
    Timeless antibody [N1N2], N-term

    Aufreinigung

    Purified by antigen-affinity chromatography.

    Immunogen

    Recombinant protein encompassing a sequence within the N-terminus region of human TIMELESS. The exact sequence is proprietary.

    Isotyp

    IgG
  • Applikationshinweise

    Suggested dilution Reference ICC/IF 1:100-1:1000* IHC (Formalin-fixed paraffin-embedded sections) 1:100-1:1000* Western blot 1:500-1:3000* Not tested in other applications. *Optimal dilutions/concentrations should be determined by the researcher.Suggested dilutionReferenceICC/IF1:100-1:1000* IHC (Formalin-fixed paraffin-embedded sections)1:100-1:1000* Western blot1:500-1:3000*

    Kommentare

    Positive Control: 293T , A431 , H1299 , HeLaS3 , HepG2 , Raji

    Beschränkungen

    Nur für Forschungszwecke einsetzbar
  • Format

    Liquid

    Konzentration

    1 mg/mL

    Buffer

    0.1M Tris, 0.1M Glycine, 10 % Glycerol ( pH 7). 0.01 % Thimerosal was added as a preservative.

    Konservierungsmittel

    Thimerosal (Merthiolate)

    Vorsichtsmaßnahmen

    This product contains Thimerosal (Merthiolate): a POISONOUS AND HAZARDOUS SUBSTANCE which should be handled by trained staff only.

    Lagerung

    -20 °C

    Informationen zur Lagerung

    Keep as concentrated solution. Aliquot and store at -20°C or below. Avoid multiple freeze-thaw cycles.
  • Target

    TIMELESS (Timeless Homolog (TIMELESS))

    Andere Bezeichnung

    Timeless

    Hintergrund

    Required for normal progression of S-phase. Involved in the circadian rhythm autoregulatory loop. Negatively regulates CLOCK-NPAS2/BMAL1-induced transactivation of PER1 possibly via translocation of PER1 into the nucleus. Promotes TIPIN nuclear localiZation. Involved in cell survival after DNA damage or replication stress. May be specifically required for the ATR-CHK1 pathway in the replication checkpoint induced by hydroxyurea or ultraviolet light. May also play an important role in epithelial cell morphogenesis and formation of branching tubules.

    Cellular Localization: Nucleus

    Molekulargewicht

    139 kDa

    Gen-ID

    8914

    Pathways

    Protein targeting to Nucleus, Photoperiodism
Sie sind hier:
Chat with us!