Telefon:
+49 (0)241 95 163 153
Fax:
+49 (0)241 95 163 155
E-Mail:
orders@antikoerper-online.de

RPS3 Antikörper

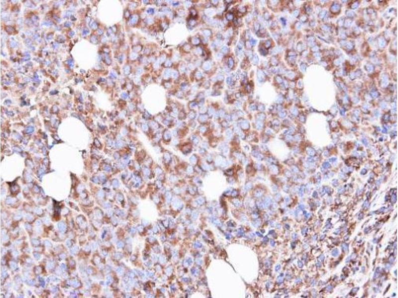
Der Kaninchen Polyklonal anti-RPS3 Antikörper (ABIN2855736) detektiert spezifisch RPS3 in WB, IF, ICC, IP und IHC (p). Dieser Antikörper reagiert spezifisch mit Proben aus Human.
Produktnummer ABIN2855736
583,17 €
Zzgl. Versandkosten 20,00 € und MwSt
100 μL
Lieferung nach: Deutschland
Lieferung in 7 bis 10 Werktagen

Kurzübersicht für RPS3 Antikörper (ABIN2855736)

Target

Alle RPS3 Antikörper anzeigen
RPS3 (Ribosomal Protein S3 (RPS3))

Reaktivität

  • 76
  • 61
  • 38
  • 16
  • 5
  • 5
  • 4
  • 4
  • 4
  • 3
  • 3
  • 2
  • 2
  • 1
Human

Wirt

  • 72
  • 4
Kaninchen

Klonalität

  • 51
  • 25
Polyklonal

Konjugat

  • 33
  • 4
  • 4
  • 4
  • 4
  • 4
  • 4
  • 4
  • 1
  • 1
  • 1
  • 1
  • 1
  • 1
  • 1
  • 1
  • 1
  • 1
  • 1
  • 1
  • 1
  • 1
  • 1
Dieser RPS3 Antikörper ist unkonjugiert

Applikation

  • 55
  • 25
  • 18
  • 18
  • 14
  • 13
  • 13
  • 6
  • 5
  • 3
  • 2
  • 2
  • 1
Western Blotting (WB), Immunofluorescence (IF), Immunocytochemistry (ICC), Immunoprecipitation (IP), Immunohistochemistry (Paraffin-embedded Sections) (IHC (p))
  • Kreuzreaktivität

    Human, Maus, Ratte

    Produktmerkmale

    Rabbit Polyclonal antibody to RPS3 (ribosomal protein S3)
    RPS3 antibody

    Aufreinigung

    Purified by antigen-affinity chromatography.

    Immunogen

    Recombinant protein encompassing a sequence within the center region of human RPS3. The exact sequence is proprietary.

    Isotyp

    IgG
  • Applikationshinweise

    WB: 1:500-1:3000. ICC/IF: 1:100-1:1000. IHC-P: 1:100-1:1000. Optimal dilutions/concentrations should be determined by the researcher. Not tested in other applications.

    Beschränkungen

    Nur für Forschungszwecke einsetzbar
  • Format

    Liquid

    Konzentration

    1.84 mg/mL

    Buffer

    1XPBS ( pH 7), 20 % Glycerol, 0.025 % ProClin 300

    Konservierungsmittel

    ProClin

    Vorsichtsmaßnahmen

    This product contains ProClin: a POISONOUS AND HAZARDOUS SUBSTANCE which should be handled by trained staff only.

    Lagerung

    4 °C,-20 °C

    Informationen zur Lagerung

    Store as concentrated solution. Centrifuge briefly prior to opening vial. For short-term storage (1-2 weeks), store at 4°C. For long-term storage, aliquot and store at -20°C or below. Avoid multiple freeze-thaw cycles.
  • Target

    RPS3 (Ribosomal Protein S3 (RPS3))

    Andere Bezeichnung

    ribosomal protein S3

    Hintergrund

    Ribosomes, the organelles that catalyze protein synthesis, consist of a small 40S subunit and a large 60S subunit. Together these subunits are composed of 4 RNA species and approximately 80 structurally distinct proteins. This gene encodes a ribosomal protein that is a component of the 40S subunit, where it forms part of the domain where translation is initiated. The protein belongs to the S3P family of ribosomal proteins. Studies of the mouse and rat proteins have demonstrated that the protein has an extraribosomal role as an endonuclease involved in the repair of UV-induced DNA damage. The protein appears to be located in both the cytoplasm and nucleus but not in the nucleolus. Higher levels of expression of this gene in colon adenocarcinomas and adenomatous polyps compared to adjacent normal colonic mucosa have been observed. This gene is co-transcribed with the small nucleolar RNA genes U15A and U15B, which are located in its first and fifth introns, respectively. As is typical for genes encoding ribosomal proteins, there are multiple processed pseudogenes of this gene dispersed through the genome.

    Molekulargewicht

    27 kDa

    Gen-ID

    6188

    UniProt

    P23396

    Pathways

    Positive Regulation of Endopeptidase Activity
Sie sind hier:
Chat with us!