Telefon:
+49 (0)241 95 163 153
Fax:
+49 (0)241 95 163 155
E-Mail:
orders@antikoerper-online.de

FMO3 Antikörper

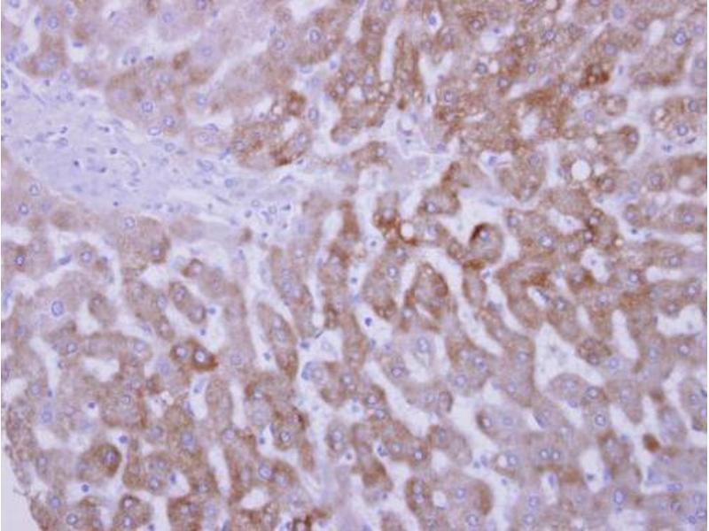
Der Kaninchen Polyklonal anti-FMO3 Antikörper (ABIN2855649) detektiert spezifisch FMO3 in WB und IHC (p). Dieser Antikörper reagiert spezifisch mit Proben aus Human.
Produktnummer ABIN2855649
583,17 €
Zzgl. Versandkosten 20,00 € und MwSt
100 μL
Lieferung nach: Deutschland
Lieferung in 7 bis 10 Werktagen

Kurzübersicht für FMO3 Antikörper (ABIN2855649)

Target

Alle FMO3 Antikörper anzeigen
FMO3 (Flavin Containing Monooxygenase 3 (FMO3))

Reaktivität

  • 71
  • 27
  • 25
  • 4
  • 4
  • 4
  • 3
  • 3
  • 2
  • 2
  • 2
  • 1
  • 1
Human

Wirt

  • 68
  • 3
Kaninchen

Klonalität

  • 58
  • 13
Polyklonal

Konjugat

  • 32
  • 5
  • 4
  • 3
  • 2
  • 2
  • 2
  • 2
  • 2
  • 2
  • 1
  • 1
  • 1
  • 1
  • 1
  • 1
  • 1
  • 1
  • 1
  • 1
  • 1
  • 1
  • 1
  • 1
  • 1
Dieser FMO3 Antikörper ist unkonjugiert

Applikation

  • 58
  • 22
  • 16
  • 15
  • 14
  • 13
  • 13
  • 9
  • 3
  • 3
  • 3
  • 1
Western Blotting (WB), Immunohistochemistry (Paraffin-embedded Sections) (IHC (p))
  • Kreuzreaktivität

    Human, Maus

    Produktmerkmale

    Rabbit Polyclonal antibody to FMO3 (flavin containing monooxygenase 3)
    FMO3 antibody [N2C2], Internal

    Aufreinigung

    Purified by antigen-affinity chromatography.

    Immunogen

    Recombinant protein encompassing a sequence within the center region of human FMO3. The exact sequence is proprietary.

    Isotyp

    IgG
  • Applikationshinweise

    WB: 1:500-1:3000. IHC-P: 1:100-1:1000. Optimal dilutions/concentrations should be determined by the researcher. Not tested in other applications.

    Kommentare

    Positive Control: Mouse liver , A549 , H1299

    Beschränkungen

    Nur für Forschungszwecke einsetzbar
  • Format

    Liquid

    Konzentration

    1 mg/mL

    Buffer

    0.1M Tris-Glycine ( pH 7), 10 % Glycerol, 0.01 % Thimerosal

    Konservierungsmittel

    Thimerosal (Merthiolate)

    Vorsichtsmaßnahmen

    This product contains Thimerosal (Merthiolate): a POISONOUS AND HAZARDOUS SUBSTANCE which should be handled by trained staff only.

    Lagerung

    4 °C,-20 °C

    Informationen zur Lagerung

    Store as concentrated solution. Centrifuge briefly prior to opening vial. For short-term storage (1-2 weeks), store at 4°C. For long-term storage, aliquot and store at -20°C or below. Avoid multiple freeze-thaw cycles.
  • Target

    FMO3 (Flavin Containing Monooxygenase 3 (FMO3))

    Andere Bezeichnung

    flavin containing monooxygenase 3

    Hintergrund

    The mammalian flavin-containing monooxygenases (FMO, EC 1.14.13.8) represent a multigene family whose gene products are localized in the endoplasmic reticulum of many tissues. These enzymes catalyze the NADPH-dependent oxidative metabolism of many drugs, pesticides, and other foreign compounds. Their substrates are soft nucleophiles with an electron-rich center, typically a nitrogen, sulfur or phosphorus-containing functional group, as the site for oxidative attack by the enzyme (Ziegler, 1990 [PubMed 2203193], Hines et al., 1994 [PubMed 8128486]).[supplied by OMIM]

    Cellular Localization: Microsome membrane , Endoplasmic reticulum membrane

    Molekulargewicht

    60 kDa

    Gen-ID

    2328

    UniProt

    P31513
Sie sind hier:
Chat with us!