Telefon:
+49 (0)241 95 163 153
Fax:
+49 (0)241 95 163 155
E-Mail:
orders@antikoerper-online.de

ORC2 Antikörper

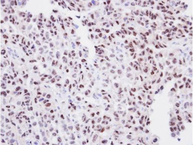
Der Kaninchen Polyklonal anti-ORC2 Antikörper (ABIN2855601) detektiert spezifisch ORC2 in WB und IHC (p). Dieser Antikörper reagiert spezifisch mit Proben aus Human.
Produktnummer ABIN2855601
583,17 €
Zzgl. Versandkosten 20,00 € und MwSt
100 μL
Lieferung nach: Deutschland
Lieferung in 7 bis 10 Werktagen

Kurzübersicht für ORC2 Antikörper (ABIN2855601)

Target

Alle ORC2 Antikörper anzeigen
ORC2 (Origin Recognition Complex Subunit 2 (ORC2))

Reaktivität

  • 30
  • 21
  • 6
  • 2
  • 1
  • 1
  • 1
  • 1
  • 1
  • 1
Human

Wirt

  • 39
  • 5
  • 1
Kaninchen

Klonalität

  • 39
  • 6
Polyklonal

Konjugat

  • 26
  • 2
  • 2
  • 2
  • 1
  • 1
  • 1
  • 1
  • 1
  • 1
  • 1
  • 1
  • 1
  • 1
  • 1
  • 1
  • 1
Dieser ORC2 Antikörper ist unkonjugiert

Applikation

  • 30
  • 17
  • 14
  • 13
  • 8
  • 6
  • 5
  • 4
  • 4
  • 3
  • 3
  • 1
  • 1
Western Blotting (WB), Immunohistochemistry (Paraffin-embedded Sections) (IHC (p))
  • Kreuzreaktivität

    Human

    Produktmerkmale

    Rabbit polyclonal antibody to ORC2 (origin recognition complex, subunit 2-like (yeast))
    ORC2 antibody [N3C2], Internal

    Aufreinigung

    Purified by antigen-affinity chromatography.

    Immunogen

    Recombinant protein encompassing a sequence within the center region of human ORC2. The exact sequence is proprietary.

    Isotyp

    IgG
  • Applikationshinweise

    WB: 1:500-1:3000. IHC-P: 1:100-1:1000. Optimal dilutions/concentrations should be determined by the researcher. Not tested in other applications.

    Kommentare

    Positive Control: Raji

    Beschränkungen

    Nur für Forschungszwecke einsetzbar
  • Format

    Liquid

    Konzentration

    0.7 mg/mL

    Buffer

    1XPBS ( pH 7), 1 % BSA, 20 % Glycerol, 0.01 % Thimerosal

    Konservierungsmittel

    Thimerosal (Merthiolate)

    Vorsichtsmaßnahmen

    This product contains Thimerosal (Merthiolate): a POISONOUS AND HAZARDOUS SUBSTANCE which should be handled by trained staff only.

    Lagerung

    4 °C,-20 °C

    Informationen zur Lagerung

    Store as concentrated solution. Centrifuge briefly prior to opening vial. For short-term storage (1-2 weeks), store at 4°C. For long-term storage, aliquot and store at -20°C or below. Avoid multiple freeze-thaw cycles.
  • Target

    ORC2 (Origin Recognition Complex Subunit 2 (ORC2))

    Andere Bezeichnung

    origin recognition complex subunit 2

    Hintergrund

    The origin recognition complex (ORC) is a highly conserved six subunits protein complex essential for the initiation of the DNA replication in eukaryotic cells. Studies in yeast demonstrated that ORC binds specifically to origins of replication and serves as a platform for the assembly of additional initiation factors such as Cdc6 and Mcm proteins. The protein encoded by this gene is a subunit of the ORC complex. This protein forms a core complex with ORC3L, -4L, and -5L. It also interacts with CDC45L and MCM10, which are proteins known to be important for the initiation of DNA replication. This protein has been demonstrated to specifically associate with the origin of replication of Epstein-Barr virus in human cells, and is thought to be required for DNA replication from viral origin of replication.

    Cellular Localization: Nucleus

    Molekulargewicht

    66 kDa

    Gen-ID

    4999

    UniProt

    Q13416
Sie sind hier:
Chat with us!