Telefon:
+49 (0)241 95 163 153
Fax:
+49 (0)241 95 163 155
E-Mail:
orders@antikoerper-online.de

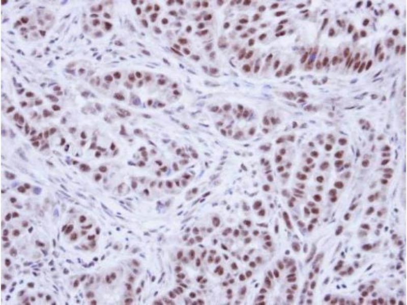
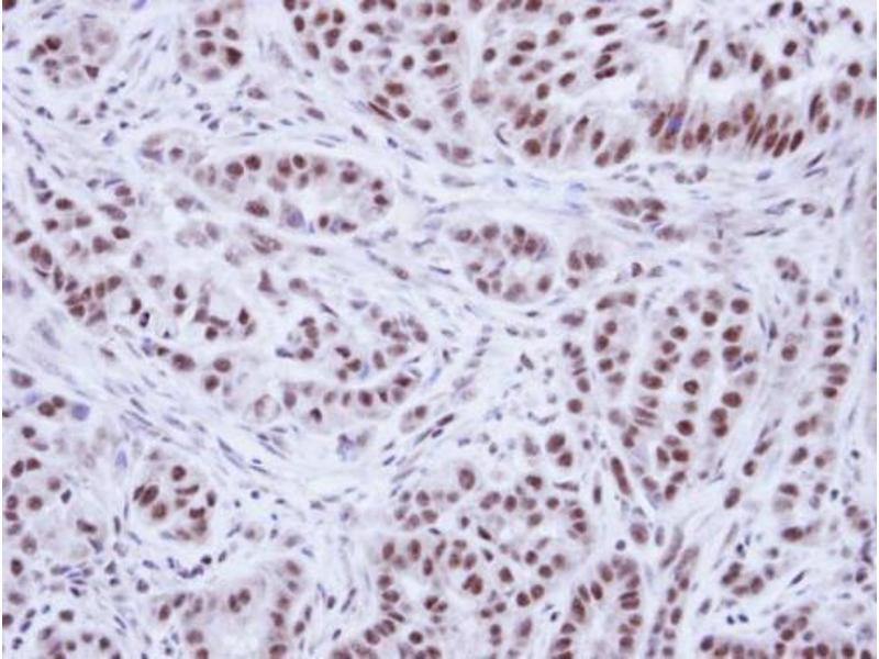
WTAP Antikörper (Center)

Der Kaninchen Polyklonal anti-WTAP Antikörper (ABIN2855463) detektiert spezifisch WTAP in WB, IHC (p), IF und ICC. Dieser Antikörper reagiert spezifisch mit Proben aus Human.
Produktnummer ABIN2855463
583,17 €
Zzgl. Versandkosten 20,00 € und MwSt
100 μL
Lieferung nach: Deutschland
Lieferung in 7 bis 10 Werktagen

Kurzübersicht für WTAP Antikörper (Center) (ABIN2855463)

Target

Alle WTAP Antikörper anzeigen
WTAP (Wilms Tumor 1 Associated Protein (WTAP))

Reaktivität

  • 63
  • 19
  • 8
  • 3
  • 1
  • 1
  • 1
  • 1
Human

Wirt

  • 53
  • 10
Kaninchen

Klonalität

  • 42
  • 21
Polyklonal

Konjugat

  • 38
  • 4
  • 3
  • 2
  • 2
  • 2
  • 2
  • 2
  • 2
  • 2
  • 1
  • 1
  • 1
  • 1
Dieser WTAP Antikörper ist unkonjugiert

Applikation

  • 47
  • 29
  • 26
  • 17
  • 9
  • 5
  • 5
  • 3
  • 2
  • 1
  • 1
  • 1
Western Blotting (WB), Immunohistochemistry (Paraffin-embedded Sections) (IHC (p)), Immunofluorescence (IF), Immunocytochemistry (ICC)
  • Bindungsspezifität

    • 8
    • 6
    • 6
    • 3
    • 3
    • 3
    • 1
    • 1
    • 1
    • 1
    • 1
    • 1
    • 1
    • 1
    Center

    Kreuzreaktivität

    Maus, Ratte (Rattus), Rhesusaffen

    Kreuzreaktivität (Details)

    Mouse (100 %), Rat (100 %), Rhesus Monkey (100 %)

    Produktmerkmale

    Rabbit Polyclonal antibody to WTAP (Wilms tumor 1 associated protein)
    WTAP antibody

    Aufreinigung

    Purified by antigen-affinity chromatography.

    Immunogen

    Recombinant protein encompassing a sequence within the center region of human WTAP. The exact sequence is proprietary.

    Isotyp

    IgG
  • Applikationshinweise

    Suggested dilution Reference ICC/IF 1:100-1:1000* IHC (Formalin-fixed paraffin-embedded sections) 1:100-1:1000* Western blot 1:500-1:3000* Not tested in other applications. *Optimal dilutions/concentrations should be determined by the researcher.Suggested dilutionReferenceICC/IF1:100-1:1000* IHC (Formalin-fixed paraffin-embedded sections)1:100-1:1000* Western blot1:500-1:3000*

    Kommentare

    Positive Control: Molt-4

    Beschränkungen

    Nur für Forschungszwecke einsetzbar
  • Format

    Liquid

    Konzentration

    1 mg/mL

    Buffer

    0.1M Tris, 0.1M Glycine, 10 % Glycerol ( pH 7). 0.01 % Thimerosal was added as a preservative.

    Konservierungsmittel

    Thimerosal (Merthiolate)

    Vorsichtsmaßnahmen

    This product contains Thimerosal (Merthiolate): a POISONOUS AND HAZARDOUS SUBSTANCE which should be handled by trained staff only.

    Lagerung

    -20 °C

    Informationen zur Lagerung

    Keep as concentrated solution. Aliquot and store at -20°C or below. Avoid multiple freeze-thaw cycles.
  • Target

    WTAP (Wilms Tumor 1 Associated Protein (WTAP))

    Andere Bezeichnung

    WTAP

    Hintergrund

    The Wilms tumor suppressor gene WT1 appears to play a role in both transcriptional and posttranscriptional regulation of certain cellular genes. This gene encodes a WT1-associating protein, which is a ubiquitously expressed nuclear protein. Like WT1 protein, this protein is localized throughout the nucleoplasm as well as in speckles and partially colocalizes with splicing factors. Alternative splicing of this gene results in three transcript variants, two of which encode the same isoform.

    Cellular Localization: Nucleus , nucleolus

    Molekulargewicht

    44 kDa

    Gen-ID

    9589
Sie sind hier:
Chat with us!