Telefon:
+49 (0)241 95 163 153
Fax:
+49 (0)241 95 163 155
E-Mail:
orders@antikoerper-online.de

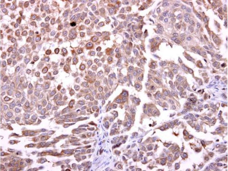
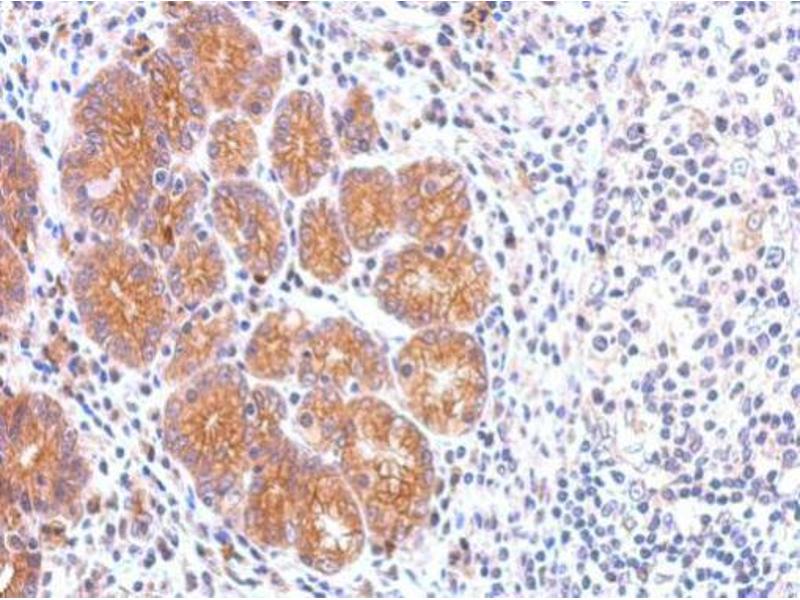
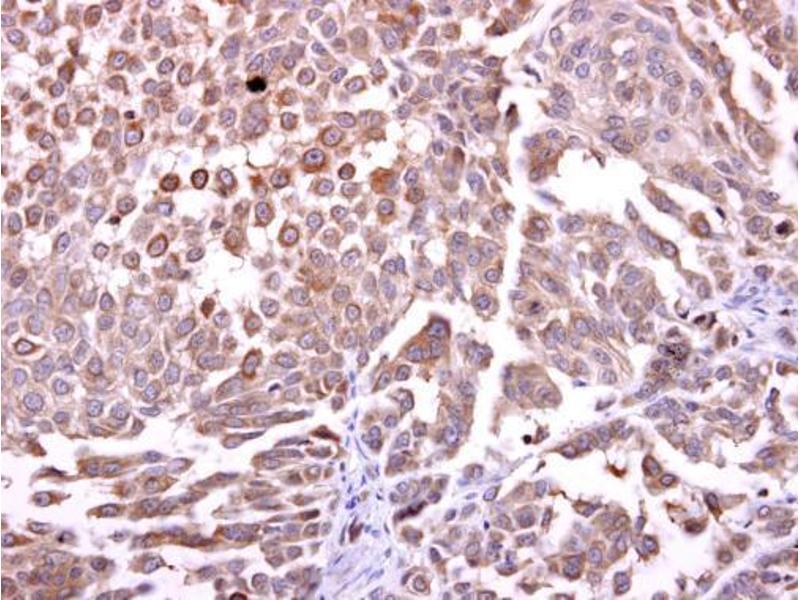
CCKBR Antikörper (C-Term)

Der Kaninchen Polyklonal anti-CCKBR Antikörper (ABIN2854722) detektiert spezifisch CCKBR in WB und IHC (p). Dieser Antikörper reagiert spezifisch mit Proben aus Human.
Produktnummer ABIN2854722
765,00 €
Zzgl. Versandkosten 20,00 € und MwSt
100 μL
Lieferung nach: Deutschland
Lieferung in 7 bis 10 Werktagen

Kurzübersicht für CCKBR Antikörper (C-Term) (ABIN2854722)

Target

Alle CCKBR Antikörper anzeigen
CCKBR (Cholecystokinin B Receptor (CCKBR))

Reaktivität

  • 27
  • 23
  • 21
  • 3
  • 2
  • 1
Human

Wirt

  • 42
  • 1
Kaninchen

Klonalität

  • 43
Polyklonal

Konjugat

  • 19
  • 3
  • 2
  • 2
  • 1
  • 1
  • 1
  • 1
  • 1
  • 1
  • 1
  • 1
  • 1
  • 1
  • 1
  • 1
  • 1
  • 1
  • 1
  • 1
  • 1
Dieser CCKBR Antikörper ist unkonjugiert

Applikation

  • 28
  • 13
  • 13
  • 13
  • 7
  • 7
  • 3
  • 2
  • 2
  • 2
  • 1
  • 1
Western Blotting (WB), Immunohistochemistry (Paraffin-embedded Sections) (IHC (p))
  • Bindungsspezifität

    • 15
    • 5
    • 5
    • 1
    • 1
    • 1
    • 1
    • 1
    • 1
    • 1
    • 1
    • 1
    • 1
    • 1
    • 1
    C-Term

    Kreuzreaktivität

    Human

    Produktmerkmale

    Rabbit Polyclonal antibody to CCKBR (cholecystokinin B receptor)
    CCKBR antibody [C1C2], Internal

    Aufreinigung

    Purified by antigen-affinity chromatography.

    Immunogen

    Carrier-protein conjugated synthetic peptide encompassing a sequence within the C-terminus region of human CCKBR. The exact sequence is proprietary.

    Isotyp

    IgG
  • Applikationshinweise

    WB: 1:500-1:3000. IHC-P: 1:100-1:1000. Optimal dilutions/concentrations should be determined by the researcher. Not tested in other applications.

    Kommentare

    Positive Control: Unboiled HeLa cell extract

    Beschränkungen

    Nur für Forschungszwecke einsetzbar
  • Format

    Liquid

    Konzentration

    1 mg/mL

    Buffer

    1XPBS ( pH 7), 20 % Glycerol, 0.01 % Thimerosal

    Konservierungsmittel

    Thimerosal (Merthiolate)

    Vorsichtsmaßnahmen

    This product contains Thimerosal (Merthiolate): a POISONOUS AND HAZARDOUS SUBSTANCE which should be handled by trained staff only.

    Lagerung

    4 °C,-20 °C

    Informationen zur Lagerung

    Store as concentrated solution. Centrifuge briefly prior to opening vial. For short-term storage (1-2 weeks), store at 4°C. For long-term storage, aliquot and store at -20°C or below. Avoid multiple freeze-thaw cycles.
  • Target

    CCKBR (Cholecystokinin B Receptor (CCKBR))

    Andere Bezeichnung

    cholecystokinin B receptor

    Hintergrund

    This gene encodes a G-protein coupled receptor for gastrin and cholecystokinin (CCK), regulatory peptides of the brain and gastrointestinal tract. This protein is a type B gastrin receptor, which has a high affinity for both sulfated and nonsulfated CCK analogs and is found principally in the central nervous system and the gastrointestinal tract. A misspliced transcript variant including an intron has been observed in cells from colorectal and pancreatic tumors.

    Cellular Localization: Cell membrane, Multi-pass membrane protein

    Molekulargewicht

    48 kDa

    Gen-ID

    887

    UniProt

    P32239

    Pathways

    Positive Regulation of Peptide Hormone Secretion, Feeding Behaviour
Sie sind hier:
Chat with us!