Telefon:
+49 (0)241 95 163 153
Fax:
+49 (0)241 95 163 155
E-Mail:
orders@antikoerper-online.de

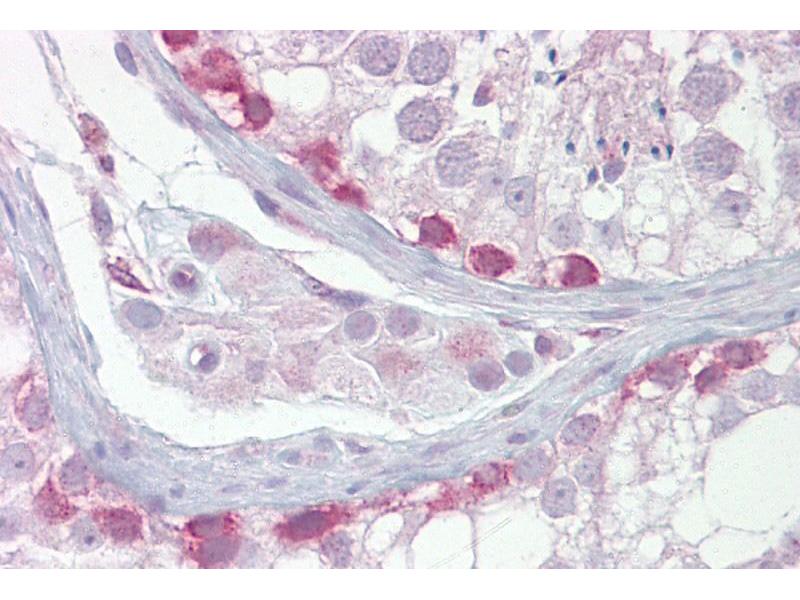
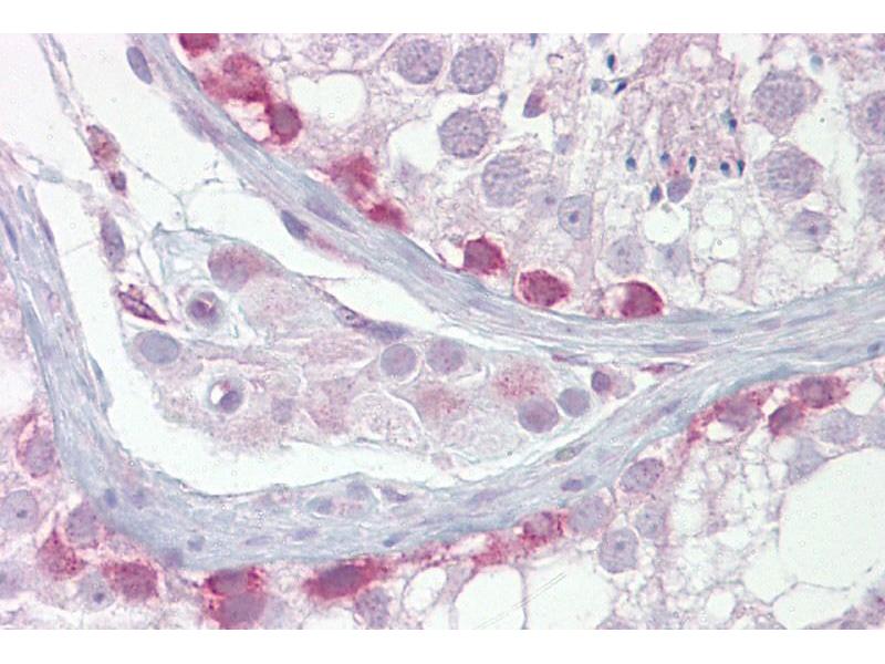
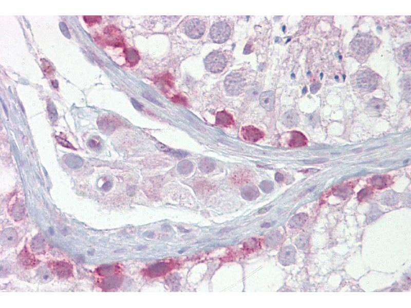
SYCP1 Antikörper (N-Term)

Der Kaninchen Polyklonal anti-SYCP1 Antikörper wird verwendet zum Nachweis von SYCP1 in Proben von Human, Maus, Ratte, Meerschweinchen, Rind (Kuh), Hund, Pferd, Schwein und Kaninchen. Er wurde validiert für WB und IHC.
Produktnummer ABIN2787639
534,11 €
Zzgl. Versandkosten 20,00 € und MwSt
Lieferung nach: Deutschland
Lieferung in 6 bis 9 Werktagen

Kurzübersicht für SYCP1 Antikörper (N-Term) (ABIN2787639)

Target

Alle SYCP1 Antikörper anzeigen
SYCP1 (Synaptonemal Complex Protein 1 (SYCP1))

Reaktivität

Human, Maus, Ratte, Meerschweinchen, Rind (Kuh), Hund, Pferd, Schwein, Kaninchen

Wirt

  • 40
Kaninchen

Klonalität

  • 40
Polyklonal

Konjugat

  • 16
  • 2
  • 2
  • 1
  • 1
  • 1
  • 1
  • 1
  • 1
  • 1
  • 1
  • 1
  • 1
  • 1
  • 1
  • 1
  • 1
  • 1
  • 1
  • 1
  • 1
  • 1
  • 1
Dieser SYCP1 Antikörper ist unkonjugiert

Applikation

  • 28
  • 13
  • 13
  • 11
  • 5
  • 5
  • 4
  • 4
  • 1
Western Blotting (WB), Immunohistochemistry (IHC)
  • Bindungsspezifität

    • 15
    • 6
    • 6
    • 1
    • 1
    • 1
    N-Term

    Sequenz

    NFLPVLEQVG NSDCHYQEGL KDSDLENSEG LSRVYSKLYK EAEKIKKWKV

    Homologie

    Cow: 93%, Dog: 93%, Guinea Pig: 86%, Horse: 93%, Human: 100%, Mouse: 79%, Pig: 93%, Rabbit: 93%, Rat: 79%

    Produktmerkmale

    This is a rabbit polyclonal antibody against SYCP1. It was validated on Western Blot using a cell lysate as a positive control.

    Aufreinigung

    Affinity Purified

    Immunogen

    The immunogen is a synthetic peptide directed towards the N terminal region of human SYCP1
  • Applikationshinweise

    Optimal working dilutions should be determined experimentally by the investigator.

    Kommentare

    Antigen size: 976 AA

    Beschränkungen

    Nur für Forschungszwecke einsetzbar
  • Format

    Liquid

    Konzentration

    Lot specific

    Buffer

    Liquid. Purified antibody supplied in 1x PBS buffer with 0.09 % (w/v) sodium azide and 2 % sucrose.

    Konservierungsmittel

    Sodium azide

    Vorsichtsmaßnahmen

    This product contains Sodium azide: a POISONOUS AND HAZARDOUS SUBSTANCE which should be handled by trained staff only.

    Handhabung

    Avoid repeated freeze-thaw cycles.

    Lagerung

    -20 °C

    Informationen zur Lagerung

    For short term use, store at 2-8°C up to 1 week. For long term storage, store at -20°C in small aliquots to prevent freeze-thaw cycles.
  • Target

    SYCP1 (Synaptonemal Complex Protein 1 (SYCP1))

    Andere Bezeichnung

    SYCP1

    Hintergrund

    SYCP1 is a major component of the transverse filaments of synaptonemal complexes (SCS), which is formed between homologous chromosomes during meiotic prophase.
    Alias Symbols: HOM-TES-14, MGC104417, SCP1, CT8
    Protein Interaction Partner: UBC, Uba1,
    Protein Size: 976

    Molekulargewicht

    107 kDa

    Gen-ID

    6847

    NCBI Accession

    NM_003176, NP_003167

    UniProt

    Q15431
Sie sind hier:
Chat with us!