Telefon:
+49 (0)241 95 163 153
Fax:
+49 (0)241 95 163 155
E-Mail:
orders@antikoerper-online.de

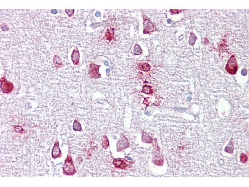
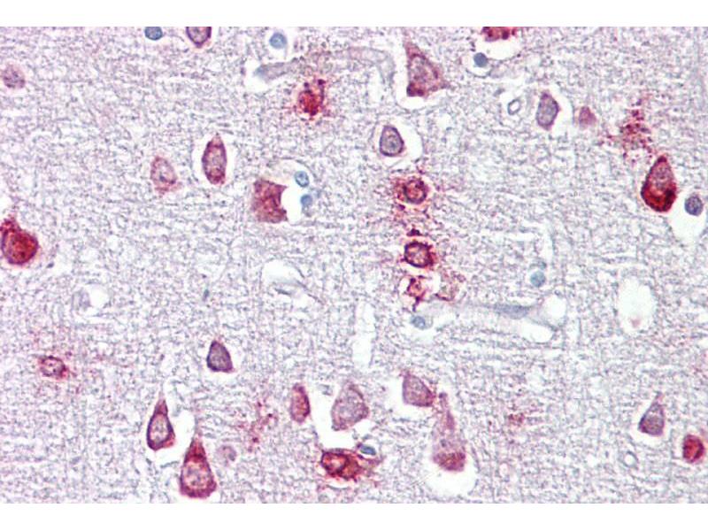
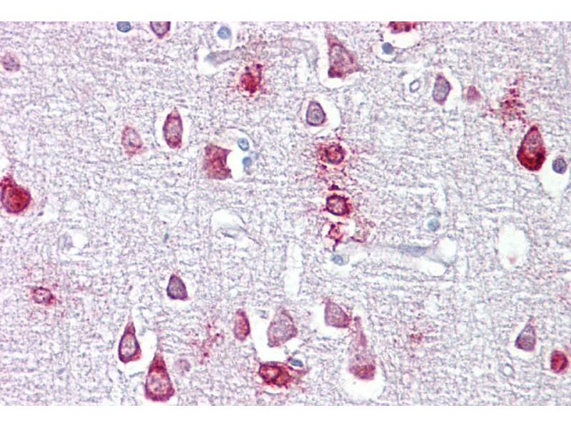
PPME1 Antikörper (N-Term)

Der Kaninchen Polyklonal anti-PPME1 Antikörper (ABIN2786934) detektiert spezifisch PPME1 in WB und IHC. Dieser Antikörper reagiert spezifisch mit Proben aus Human, Maus, Ratte, Rind (Kuh), Hund, Schwein, Meerschweinchen, Pferd und Kaninchen.
Produktnummer ABIN2786934
534,11 €
Zzgl. Versandkosten 20,00 € und MwSt
Lieferung nach: Deutschland
Lieferung in 6 bis 9 Werktagen

Kurzübersicht für PPME1 Antikörper (N-Term) (ABIN2786934)

Target

Alle PPME1 Antikörper anzeigen
PPME1 (Protein Phosphatase Methylesterase 1 (PPME1))

Reaktivität

  • 38
  • 11
  • 9
  • 2
  • 2
  • 2
  • 2
  • 1
  • 1
  • 1
Human, Maus, Ratte, Rind (Kuh), Hund, Schwein, Meerschweinchen, Pferd, Kaninchen

Wirt

  • 33
  • 6
Kaninchen

Klonalität

  • 35
  • 4
Polyklonal

Konjugat

  • 25
  • 4
  • 3
  • 2
  • 2
  • 2
  • 1
Dieser PPME1 Antikörper ist unkonjugiert

Applikation

  • 28
  • 15
  • 9
  • 7
  • 6
  • 3
  • 2
  • 2
  • 2
  • 1
Western Blotting (WB), Immunohistochemistry (IHC)
  • Bindungsspezifität

    • 9
    • 8
    • 6
    • 3
    • 2
    • 2
    • 1
    • 1
    • 1
    • 1
    N-Term

    Sequenz

    PGRKRDFSPV PWSQYFESME DVEVENETGK DTFRVYKSGS EGPVLLLLHG

    Homologie

    Cow: 100%, Dog: 100%, Guinea Pig: 81%, Horse: 100%, Human: 100%, Mouse: 100%, Pig: 93%, Rabbit: 100%, Rat: 100%

    Produktmerkmale

    This is a rabbit polyclonal antibody against PPME1. It was validated on Western Blot using a cell lysate as a positive control.

    Aufreinigung

    Affinity Purified

    Immunogen

    The immunogen is a synthetic peptide directed towards the N terminal region of human PPME1
  • Applikationshinweise

    Optimal working dilutions should be determined experimentally by the investigator.

    Kommentare

    Antigen size: 386 AA

    Beschränkungen

    Nur für Forschungszwecke einsetzbar
  • Format

    Liquid

    Konzentration

    Lot specific

    Buffer

    Liquid. Purified antibody supplied in 1x PBS buffer with 0.09 % (w/v) sodium azide and 2 % sucrose.

    Konservierungsmittel

    Sodium azide

    Vorsichtsmaßnahmen

    This product contains Sodium azide: a POISONOUS AND HAZARDOUS SUBSTANCE which should be handled by trained staff only.

    Handhabung

    Avoid repeated freeze-thaw cycles.

    Lagerung

    -20 °C

    Informationen zur Lagerung

    For short term use, store at 2-8°C up to 1 week. For long term storage, store at -20°C in small aliquots to prevent freeze-thaw cycles.
  • Target

    PPME1 (Protein Phosphatase Methylesterase 1 (PPME1))

    Andere Bezeichnung

    PPME1

    Hintergrund

    Protein phosphatase methylesterase-1 catalyzes the demethylation of the protein phosphatase-2A catalytic subunit.Protein phosphatase methylesterase-1 catalyzes the demethylation of the protein phosphatase-2A catalytic subunit (PPP2CA, MIM 176915) (Ogris et al., 1999 [PubMed 10318862]).[supplied by OMIM].
    Alias Symbols: FLJ22226, PME-1
    Protein Interaction Partner: TOM1L1, ZPR1, GMPS, OGT, TSTA3, SURF2, PSMD5, PPP1R7, PNP, LPP, AGFG1, HNRNPF, ALAD, LRSAM1, C14orf142, COASY, P3H1, FKBP10, RPRD1B, ERO1L, DBNL, HSPBP1, TTLL12, GPN1, WDR4, ACTR2, UBC, TJAP1, NUDC, SLC9A3R1, RPA1, Ppp2r1a, TDRD1, PPP2R2D, PPP4C, PPP2CB,
    Protein Size: 386

    Molekulargewicht

    42 kDa

    Gen-ID

    51400

    NCBI Accession

    NM_016147, NP_057231

    UniProt

    Q9Y570

    Pathways

    Methionine Biosynthetic Process
Sie sind hier:
Chat with us!