Telefon:
+49 (0)241 95 163 153
Fax:
+49 (0)241 95 163 155
E-Mail:
orders@antikoerper-online.de

RHOT1 Antikörper (N-Term)

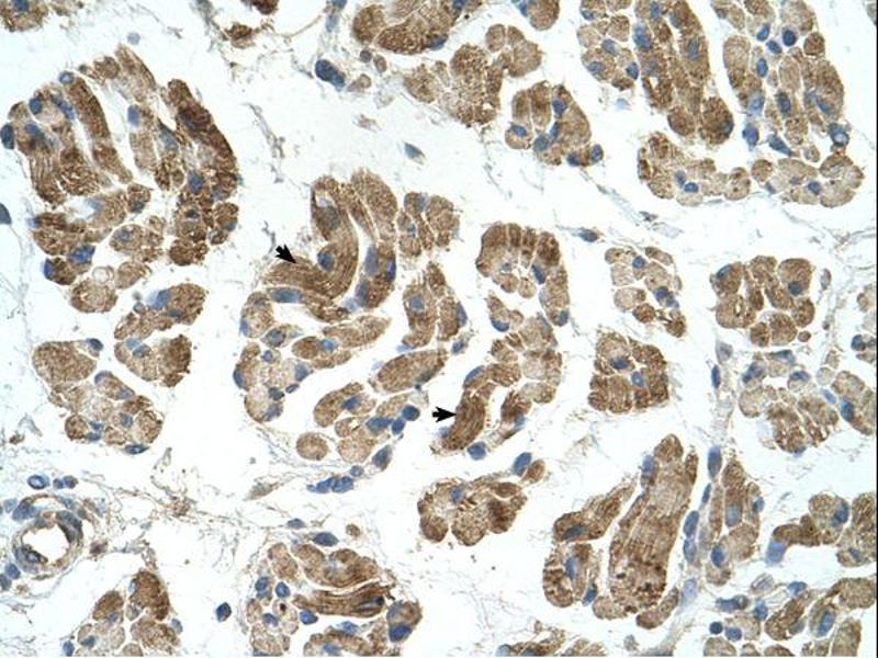
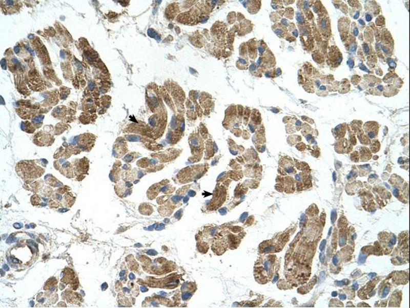
Der Kaninchen Polyklonal anti-RHOT1 Antikörper wird verwendet zum Nachweis von RHOT1 in Proben von Human, Maus, Ratte, Hund, Rind (Kuh), Meerschweinchen, Pferd, Kaninchen und Zebrafisch (Danio rerio). Er wurde validiert für WB und IHC.
Produktnummer ABIN2782020
534,11 €
Zzgl. Versandkosten 20,00 € und MwSt
Lieferung nach: Deutschland
Lieferung in 6 bis 9 Werktagen

Kurzübersicht für RHOT1 Antikörper (N-Term) (ABIN2782020)

Target

Alle RHOT1 Antikörper anzeigen
RHOT1 (Ras Homolog Gene Family, Member T1 (RHOT1))

Reaktivität

  • 35
  • 17
  • 15
  • 5
  • 4
  • 4
  • 4
  • 4
  • 3
  • 3
  • 3
  • 3
  • 1
Human, Maus, Ratte, Hund, Rind (Kuh), Meerschweinchen, Pferd, Kaninchen, Zebrafisch (Danio rerio)

Wirt

  • 26
  • 10
Kaninchen

Klonalität

  • 29
  • 7
Polyklonal

Konjugat

  • 21
  • 2
  • 2
  • 2
  • 2
  • 1
  • 1
  • 1
  • 1
  • 1
  • 1
  • 1
Dieser RHOT1 Antikörper ist unkonjugiert

Applikation

  • 29
  • 14
  • 7
  • 5
  • 3
  • 3
  • 1
Western Blotting (WB), Immunohistochemistry (IHC)
  • Bindungsspezifität

    • 8
    • 6
    • 6
    • 2
    • 2
    • 1
    • 1
    • 1
    • 1
    • 1
    N-Term

    Sequenz

    MKKDVRILLV GEPRVGKTSL IMSLVSEEFP EEVPPRAEEI TIPADVTPER

    Homologie

    Cow: 100%, Dog: 100%, Guinea Pig: 100%, Horse: 100%, Human: 100%, Mouse: 100%, Rabbit: 100%, Rat: 100%, Zebrafish: 93%

    Produktmerkmale

    This is a rabbit polyclonal antibody against RHOT1. It was validated on Western Blot and immunohistochemistry.

    Aufreinigung

    Affinity Purified

    Immunogen

    The immunogen is a synthetic peptide directed towards the N terminal region of human RHOT1
  • Applikationshinweise

    Optimal working dilutions should be determined experimentally by the investigator.

    Kommentare

    Antigen size: 618 AA

    Beschränkungen

    Nur für Forschungszwecke einsetzbar
  • Format

    Liquid

    Konzentration

    Lot specific

    Buffer

    Liquid. Purified antibody supplied in 1x PBS buffer with 0.09 % (w/v) sodium azide and 2 % sucrose.

    Konservierungsmittel

    Sodium azide

    Vorsichtsmaßnahmen

    This product contains Sodium azide: a POISONOUS AND HAZARDOUS SUBSTANCE which should be handled by trained staff only.

    Handhabung

    Avoid repeated freeze-thaw cycles.

    Lagerung

    -20 °C

    Informationen zur Lagerung

    For short term use, store at 2-8°C up to 1 week. For long term storage, store at -20°C in small aliquots to prevent freeze-thaw cycles.
  • Target

    RHOT1 (Ras Homolog Gene Family, Member T1 (RHOT1))

    Andere Bezeichnung

    RHOT1

    Hintergrund

    Mitochondrial GTPase involved in mitochondrial trafficking. RHOT1 is probably involved in control of anterograde transport of mitochondria and their subcellular distribution.
    Alias Symbols: ARHT1, FLJ11040, FLJ12633, MIRO-1, MIRO1
    Protein Interaction Partner: PCSK9, ERLIN2, PARK2, ILK, UBC, CFTR, PINK1, UBD, IRAK1, AMFR,
    Protein Size: 618

    Molekulargewicht

    71 kDa

    Gen-ID

    55288

    NCBI Accession

    NM_018307, NP_060777

    UniProt

    Q8IXI2
Sie sind hier:
Chat with us!