Telefon:
+49 (0)241 95 163 153
Fax:
+49 (0)241 95 163 155
E-Mail:
orders@antikoerper-online.de

MCT3 Antikörper (Middle Region)

Dieser Kaninchen Polyklonal Antikörper detektiert spezifisch MCT3 in WB und IHC. Es zeigt Reaktivität gegenüber Proben von Human, Ratte, Maus, Rind (Kuh), Meerschweinchen, Hund, Pferd, Kaninchen und Zebrafisch (Danio rerio).
Produktnummer ABIN2781633
470,22 €
Zzgl. Versandkosten 20,00 € und MwSt
Lieferung nach: Deutschland
Lieferung in 6 bis 9 Werktagen

Kurzübersicht für MCT3 Antikörper (Middle Region) (ABIN2781633)

Target

Alle MCT3 Antikörper anzeigen
MCT3 (Monocarboxylate Transporter 3 (MCT3))

Reaktivität

Human, Ratte, Maus, Rind (Kuh), Meerschweinchen, Hund, Pferd, Kaninchen, Zebrafisch (Danio rerio)

Wirt

  • 25
Kaninchen

Klonalität

  • 25
Polyklonal

Konjugat

  • 10
  • 3
  • 2
  • 2
  • 1
  • 1
  • 1
  • 1
  • 1
  • 1
  • 1
  • 1
Dieser MCT3 Antikörper ist unkonjugiert

Applikation

  • 15
  • 14
  • 5
  • 2
  • 1
  • 1
  • 1
Western Blotting (WB), Immunohistochemistry (IHC)
  • Bindungsspezifität

    • 8
    • 6
    • 2
    • 1
    • 1
    • 1
    • 1
    Middle Region

    Sequenz

    RAFAVYAVTK FLMALGLFVP AILLVNYAKD AGVPDTDAAF LLSIVGFVDI

    Homologie

    Cow: 86%, Dog: 92%, Guinea Pig: 100%, Horse: 86%, Human: 100%, Mouse: 86%, Rabbit: 86%, Rat: 93%, Zebrafish: 79%

    Produktmerkmale

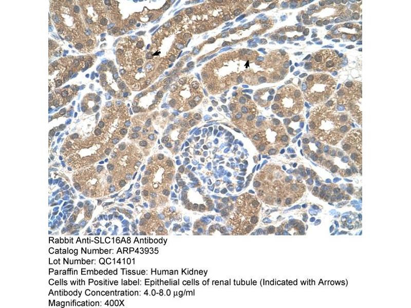
    This is a rabbit polyclonal antibody against SLC16A8. It was validated on Western Blot and immunohistochemistry.

    Aufreinigung

    Protein A purified

    Immunogen

    The immunogen is a synthetic peptide directed towards the middle region of human SLC16A8
  • Applikationshinweise

    Optimal working dilutions should be determined experimentally by the investigator.

    Kommentare

    Antigen size: 504 AA

    Beschränkungen

    Nur für Forschungszwecke einsetzbar
  • Format

    Liquid

    Konzentration

    Lot specific

    Buffer

    Liquid. Purified antibody supplied in 1x PBS buffer with 0.09 % (w/v) sodium azide and 2 % sucrose.

    Konservierungsmittel

    Sodium azide

    Vorsichtsmaßnahmen

    This product contains Sodium azide: a POISONOUS AND HAZARDOUS SUBSTANCE which should be handled by trained staff only.

    Handhabung

    Avoid repeated freeze-thaw cycles.

    Lagerung

    -20 °C

    Informationen zur Lagerung

    For short term use, store at 2-8°C up to 1 week. For long term storage, store at -20°C in small aliquots to prevent freeze-thaw cycles.
  • Target

    MCT3 (Monocarboxylate Transporter 3 (MCT3))

    Andere Bezeichnung

    SLC16A8

    Hintergrund

    SLC16A8 is proton-linked monocarboxylate transporter. It catalyzes the rapid transport across the plasma membrane of many monocarboxylates such as lactate, pyruvate, branched-chain oxo acids derived from leucine, valine and isoleucine, and the ketone bodies acetoacetate, beta-hydroxybutyrate and acetate.
    Alias Symbols: MCT3, REMP
    Protein Interaction Partner: DNAJB9, RAB1A,
    Protein Size: 504

    Molekulargewicht

    52 kDa

    Gen-ID

    23539

    NCBI Accession

    NM_013356, NP_037488

    UniProt

    O95907
Sie sind hier:
Chat with us!