Telefon:
+49 (0)241 95 163 153
Fax:
+49 (0)241 95 163 155
E-Mail:
orders@antikoerper-online.de

AKAP8L Antikörper (C-Term)

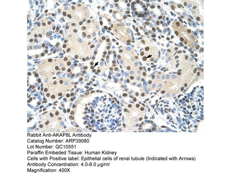
Der Kaninchen Polyklonal anti-AKAP8L Antikörper (ABIN2780924) detektiert spezifisch AKAP8L in WB und IHC. Dieser Antikörper reagiert spezifisch mit Proben aus Human, Maus, Hund, Ratte, Pferd, Rind (Kuh), Schwein und Kaninchen.
Produktnummer ABIN2780924
470,22 €
Zzgl. Versandkosten 20,00 € und MwSt
Lieferung nach: Deutschland
Lieferung in 6 bis 9 Werktagen

Kurzübersicht für AKAP8L Antikörper (C-Term) (ABIN2780924)

Target

Alle AKAP8L Antikörper anzeigen
AKAP8L (A Kinase (PRKA) Anchor Protein 8-Like (AKAP8L))

Reaktivität

  • 35
  • 12
  • 6
  • 5
  • 5
  • 4
  • 4
  • 3
  • 3
  • 1
  • 1
  • 1
  • 1
Human, Maus, Hund, Ratte, Pferd, Rind (Kuh), Schwein, Kaninchen

Wirt

  • 35
Kaninchen

Klonalität

  • 35
Polyklonal

Konjugat

  • 23
  • 2
  • 1
  • 1
  • 1
  • 1
  • 1
  • 1
  • 1
  • 1
  • 1
  • 1
Dieser AKAP8L Antikörper ist unkonjugiert

Applikation

  • 24
  • 14
  • 8
  • 5
  • 3
  • 3
  • 1
  • 1
Western Blotting (WB), Immunohistochemistry (IHC)
  • Bindungsspezifität

    • 8
    • 4
    • 3
    • 2
    • 1
    • 1
    • 1
    • 1
    • 1
    • 1
    • 1
    C-Term

    Sequenz

    APGAVSPPPP PPPEEEEEGA VPLLGGALQR QIRGIPGLDV EDDEEGGGGA

    Homologie

    Cow: 88%, Dog: 88%, Horse: 87%, Human: 100%, Mouse: 93%, Pig: 93%, Rabbit: 100%, Rat: 100%

    Produktmerkmale

    This is a rabbit polyclonal antibody against AKAP8L. It was validated on Western Blot and immunohistochemistry.

    Aufreinigung

    Protein A purified

    Immunogen

    The immunogen is a synthetic peptide directed towards the C terminal region of human AKAP8L
  • Applikationshinweise

    Optimal working dilutions should be determined experimentally by the investigator.

    Kommentare

    Antigen size: 646 AA

    Beschränkungen

    Nur für Forschungszwecke einsetzbar
  • Format

    Liquid

    Konzentration

    Lot specific

    Buffer

    Liquid. Purified antibody supplied in 1x PBS buffer with 0.09 % (w/v) sodium azide and 2 % sucrose.

    Konservierungsmittel

    Sodium azide

    Vorsichtsmaßnahmen

    This product contains Sodium azide: a POISONOUS AND HAZARDOUS SUBSTANCE which should be handled by trained staff only.

    Handhabung

    Avoid repeated freeze-thaw cycles.

    Lagerung

    -20 °C

    Informationen zur Lagerung

    For short term use, store at 2-8°C up to 1 week. For long term storage, store at -20°C in small aliquots to prevent freeze-thaw cycles.
  • Target

    AKAP8L (A Kinase (PRKA) Anchor Protein 8-Like (AKAP8L))

    Andere Bezeichnung

    AKAP8L

    Hintergrund

    AKAP8L could play a role in constitutive transport element (CTE)-mediated gene expression. It does not seem to be implicated in the binding of regulatory subunit II of PKA. It may be involved in nuclear envelope breakdown and chromatin condensation. It may regulate the initiation phase of DNA replication when associated with TMPO-beta.
    Alias Symbols: HA95, HAP95, NAKAP, NAKAP95
    Protein Interaction Partner: SUMO2, IRS4, UBC, RNF31, SUZ12, RNF2, BMI1, ANKRD28, HDAC11, ILK, vif, EPAS1, BARD1, CAND1, CUL1, CUL2, CUL3, EBNA-LP, Mis12, MYC, PRPF40A, AKAP8L, DHX9, CDC6, PRKACA, LBR, EMD, TMPO, RNF43, MAGED1, RELA,
    Protein Size: 646

    Molekulargewicht

    72 kDa

    Gen-ID

    26993

    NCBI Accession

    NM_014371, NP_055186

    UniProt

    Q9ULX6

    Pathways

    SARS-CoV-2 Protein Interaktom
Sie sind hier:
Chat with us!