Telefon:
+49 (0)241 95 163 153
Fax:
+49 (0)241 95 163 155
E-Mail:
orders@antikoerper-online.de

ZNF318 Antikörper (N-Term)

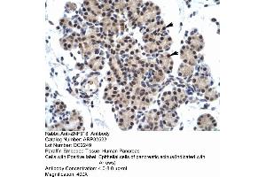
Der Kaninchen Polyklonal anti-ZNF318 Antikörper (ABIN2779696) detektiert spezifisch ZNF318 in WB und IHC. Dieser Antikörper reagiert spezifisch mit Proben aus Human, Maus, Ratte, Hund, Rind (Kuh), Meerschweinchen, Pferd und Kaninchen.
Produktnummer ABIN2779696
534,11 €
Zzgl. Versandkosten 20,00 € und MwSt
Lieferung nach: Deutschland
Lieferung in 6 bis 9 Werktagen

Kurzübersicht für ZNF318 Antikörper (N-Term) (ABIN2779696)

Target

Alle ZNF318 (Znf318) Antikörper anzeigen
ZNF318 (Znf318) (Zinc Finger Protein 318 (Znf318))

Reaktivität

  • 22
  • 17
  • 16
  • 2
  • 1
  • 1
  • 1
  • 1
  • 1
  • 1
  • 1
  • 1
Human, Maus, Ratte, Hund, Rind (Kuh), Meerschweinchen, Pferd, Kaninchen

Wirt

  • 22
Kaninchen

Klonalität

  • 22
Polyklonal

Konjugat

  • 8
  • 1
  • 1
  • 1
  • 1
  • 1
  • 1
  • 1
  • 1
  • 1
  • 1
  • 1
  • 1
  • 1
  • 1
Dieser ZNF318 Antikörper ist unkonjugiert

Applikation

  • 20
  • 14
  • 13
  • 5
  • 4
  • 4
  • 3
  • 3
  • 1
  • 1
  • 1
  • 1
Western Blotting (WB), Immunohistochemistry (IHC)
  • Bindungsspezifität

    • 15
    • 3
    • 1
    • 1
    • 1
    • 1
    N-Term

    Sequenz

    SVFTRSSQCS RGLERYISQE EGPLSPFLGQ LDEDYRTKET FLHRSDYSPH

    Homologie

    Cow: 100%, Dog: 100%, Guinea Pig: 100%, Horse: 100%, Human: 100%, Mouse: 100%, Rabbit: 85%, Rat: 100%

    Produktmerkmale

    This is a rabbit polyclonal antibody against ZNF318. It was validated on Western Blot and immunohistochemistry.

    Aufreinigung

    Affinity Purified

    Immunogen

    The immunogen is a synthetic peptide directed towards the N terminal region of human ZNF318
  • Applikationshinweise

    Optimal working dilutions should be determined experimentally by the investigator.

    Kommentare

    Antigen size: 2099 AA

    Beschränkungen

    Nur für Forschungszwecke einsetzbar
  • Format

    Liquid

    Konzentration

    Lot specific

    Buffer

    Liquid. Purified antibody supplied in 1x PBS buffer with 0.09 % (w/v) sodium azide and 2 % sucrose.

    Konservierungsmittel

    Sodium azide

    Vorsichtsmaßnahmen

    This product contains Sodium azide: a POISONOUS AND HAZARDOUS SUBSTANCE which should be handled by trained staff only.

    Handhabung

    Avoid repeated freeze-thaw cycles.

    Lagerung

    -20 °C

    Informationen zur Lagerung

    For short term use, store at 2-8°C up to 1 week. For long term storage, store at -20°C in small aliquots to prevent freeze-thaw cycles.
  • Target

    ZNF318 (Znf318) (Zinc Finger Protein 318 (Znf318))

    Andere Bezeichnung

    ZNF318

    Hintergrund

    ZNF318 encodes a nuclear protein with a zinc finger motif of the Cys2-His2 type that is a novel corepressor of androgen receptor (AR).
    Alias Symbols: TZF, ZFP318, HRIHFB2436
    Protein Interaction Partner: MDM2, MMS19, PPP1CC, ISG15, SIRT7, SUMO2, UBC, HDAC2, AR,
    Protein Size: 2099

    Molekulargewicht

    232 kDa

    Gen-ID

    24149

    NCBI Accession

    NM_014345, NP_055160

    UniProt

    Q5VUA4

    Pathways

    SARS-CoV-2 Protein Interaktom
Sie sind hier:
Chat with us!