Telefon:
+49 (0)241 95 163 153
Fax:
+49 (0)241 95 163 155
E-Mail:
orders@antikoerper-online.de

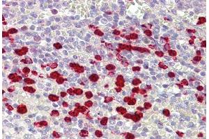
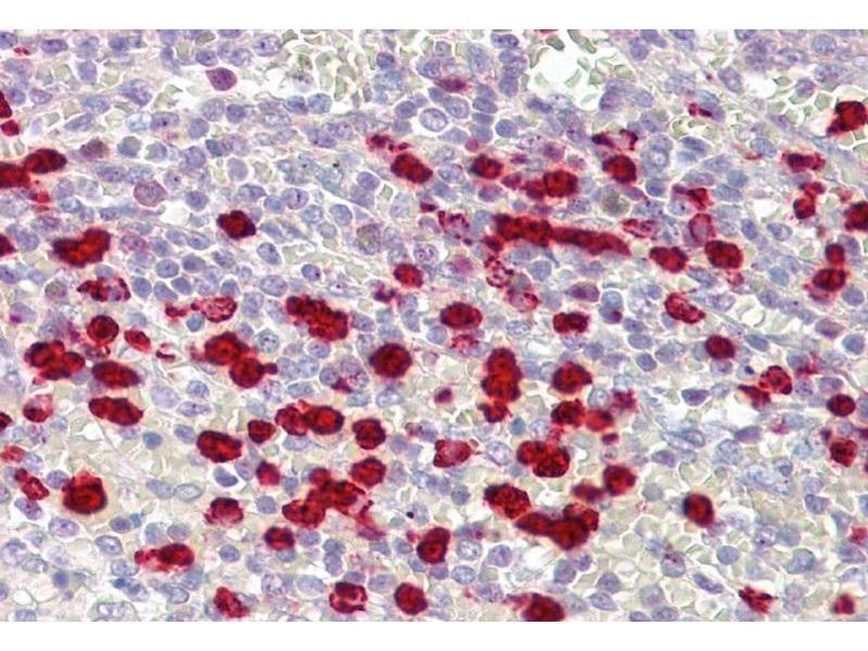
ZNF746 Antikörper (Middle Region)

Dieser Kaninchen Polyklonal Antikörper detektiert spezifisch ZNF746 in IHC und WB. Es zeigt Reaktivität gegenüber Proben von Human, Maus, Ratte, Rind (Kuh), Kaninchen, Meerschweinchen und Schwein.Es wurde in 1 Publikation zitiert.
Produktnummer ABIN2779497
534,11 €
Zzgl. Versandkosten 20,00 € und MwSt
Lieferung nach: Deutschland
Lieferung in 6 bis 9 Werktagen

Kurzübersicht für ZNF746 Antikörper (Middle Region) (ABIN2779497)

Target

Alle ZNF746 Antikörper anzeigen
ZNF746 (Zinc Finger Protein 746 (ZNF746))

Reaktivität

  • 13
  • 6
  • 5
  • 2
  • 2
  • 1
  • 1
  • 1
  • 1
  • 1
  • 1
Human, Maus, Ratte, Rind (Kuh), Kaninchen, Meerschweinchen, Schwein

Wirt

  • 8
  • 6
Kaninchen

Klonalität

  • 8
  • 6
Polyklonal

Konjugat

  • 10
  • 1
  • 1
  • 1
  • 1
Dieser ZNF746 Antikörper ist unkonjugiert

Applikation

  • 11
  • 9
  • 6
  • 4
  • 1
  • 1
Immunohistochemistry (IHC), Western Blotting (WB)
  • Bindungsspezifität

    • 7
    • 6
    • 1
    • 1
    Middle Region

    Sequenz

    TGPEGLPYSS PDNGEAILDP SQAPRPFNEP CKYPGRTKGF GHKPGLKKHP

    Homologie

    Cow: 100%, Guinea Pig: 93%, Human: 100%, Mouse: 100%, Pig: 100%, Rabbit: 100%, Rat: 100%

    Produktmerkmale

    This is a rabbit polyclonal antibody against ZNF746. It was validated on Western Blot using a cell lysate as a positive control.

    Aufreinigung

    Affinity Purified

    Immunogen

    The immunogen is a synthetic peptide directed towards the middle region of human ZNF746
  • Applikationshinweise

    Optimal working dilutions should be determined experimentally by the investigator.

    Kommentare

    Antigen size: 644 AA

    Beschränkungen

    Nur für Forschungszwecke einsetzbar
  • Format

    Liquid

    Konzentration

    Lot specific

    Buffer

    Liquid. Purified antibody supplied in 1x PBS buffer with 0.09 % (w/v) sodium azide and 2 % sucrose.

    Konservierungsmittel

    Sodium azide

    Vorsichtsmaßnahmen

    This product contains Sodium azide: a POISONOUS AND HAZARDOUS SUBSTANCE which should be handled by trained staff only.

    Handhabung

    Avoid repeated freeze-thaw cycles.

    Lagerung

    -20 °C

    Informationen zur Lagerung

    For short term use, store at 2-8°C up to 1 week. For long term storage, store at -20°C in small aliquots to prevent freeze-thaw cycles.
  • Gerhard, Wagner, Feingold, Shenmen, Grouse, Schuler, Klein, Old, Rasooly, Good, Guyer, Peck, Derge, Lipman, Collins, Jang, Sherry, Feolo, Misquitta, Lee, Rotmistrovsky, Greenhut, Schaefer, Buetow et al.: "The status, quality, and expansion of the NIH full-length cDNA project: the Mammalian Gene Collection (MGC). ..." in: Genome research, Vol. 14, Issue 10B, pp. 2121-7, (2004) (PubMed).

  • Target

    ZNF746 (Zinc Finger Protein 746 (ZNF746))

    Andere Bezeichnung

    ZNF746

    Hintergrund

    ZNF746 may be involved in transcriptional regulation.
    Alias Symbols: FLJ31413, PARIS
    Protein Interaction Partner: ELAVL1, SUMO2, FAM118B, DIABLO, DUSP23, ZAK, RPS6KA6, PRKRA, MAP3K7, ILK, HMOX2, GSK3B, FES, EPHA8, PARK2,
    Protein Size: 644

    Molekulargewicht

    69 kDa

    Gen-ID

    155061

    NCBI Accession

    NM_152557, NP_689770

    UniProt

    Q6NUN9
Sie sind hier:
Chat with us!