Telefon:
+49 (0)241 95 163 153
Fax:
+49 (0)241 95 163 155
E-Mail:
orders@antikoerper-online.de

NPAS1 Antikörper (C-Term)

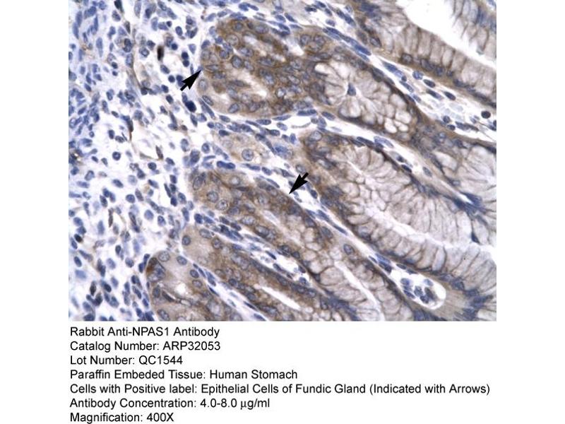
Der Kaninchen Polyklonal anti-NPAS1 Antikörper wird verwendet zum Nachweis von NPAS1 in Proben von Human, Maus, Ratte, Kaninchen, Hund und Schwein. Er wurde validiert für WB und IHC.
Produktnummer ABIN2779441
534,11 €
Zzgl. Versandkosten 20,00 € und MwSt
Lieferung nach: Deutschland
Lieferung in 6 bis 9 Werktagen

Kurzübersicht für NPAS1 Antikörper (C-Term) (ABIN2779441)

Target

Alle NPAS1 Antikörper anzeigen
NPAS1 (Neuronal PAS Domain Protein 1 (NPAS1))

Reaktivität

Human, Maus, Ratte, Kaninchen, Hund, Schwein

Wirt

  • 18
Kaninchen

Klonalität

  • 18
Polyklonal

Konjugat

  • 11
  • 1
  • 1
  • 1
  • 1
  • 1
  • 1
  • 1
Dieser NPAS1 Antikörper ist unkonjugiert

Applikation

  • 10
  • 3
  • 3
  • 2
  • 2
  • 1
  • 1
Western Blotting (WB), Immunohistochemistry (IHC)
  • Bindungsspezifität

    • 3
    • 1
    • 1
    • 1
    • 1
    • 1
    • 1
    C-Term

    Sequenz

    TIRYGPAELG LVYPHLQRLG PGPALPEAFY PPLGLPYPGP AGTRLPRKGD

    Homologie

    Dog: 85%, Human: 100%, Mouse: 92%, Pig: 92%, Rabbit: 100%, Rat: 92%

    Produktmerkmale

    This is a rabbit polyclonal antibody against NPAS1. It was validated on Western Blot and immunohistochemistry.

    Aufreinigung

    Affinity Purified

    Immunogen

    The immunogen is a synthetic peptide directed towards the C terminal region of human NPAS1
  • Applikationshinweise

    Optimal working dilutions should be determined experimentally by the investigator.

    Kommentare

    Antigen size: 590 AA

    Beschränkungen

    Nur für Forschungszwecke einsetzbar
  • Format

    Liquid

    Konzentration

    Lot specific

    Buffer

    Liquid. Purified antibody supplied in 1x PBS buffer with 0.09 % (w/v) sodium azide and 2 % sucrose.

    Konservierungsmittel

    Sodium azide

    Vorsichtsmaßnahmen

    This product contains Sodium azide: a POISONOUS AND HAZARDOUS SUBSTANCE which should be handled by trained staff only.

    Handhabung

    Avoid repeated freeze-thaw cycles.

    Lagerung

    -20 °C

    Informationen zur Lagerung

    For short term use, store at 2-8°C up to 1 week. For long term storage, store at -20°C in small aliquots to prevent freeze-thaw cycles.
  • Target

    NPAS1 (Neuronal PAS Domain Protein 1 (NPAS1))

    Andere Bezeichnung

    NPAS1

    Hintergrund

    NPAS1 is a member of the basic helix-loop-helix (bHLH)-PAS family of transcription factors. Studies of a related mouse gene suggest that it functions in neurons. The exact function of this gene is unclear, but it may play protective or modulatory roles during late embryogenesis and postnatal development.
    Alias Symbols: MOP5, PASD5, bHLHe11
    Protein Interaction Partner: ARNT,
    Protein Size: 590

    Molekulargewicht

    63 kDa

    Gen-ID

    4861

    NCBI Accession

    NM_002517, NP_002508

    UniProt

    Q99742
Sie sind hier:
Chat with us!