Telefon:
+49 (0)241 95 163 153
Fax:
+49 (0)241 95 163 155
E-Mail:
orders@antikoerper-online.de

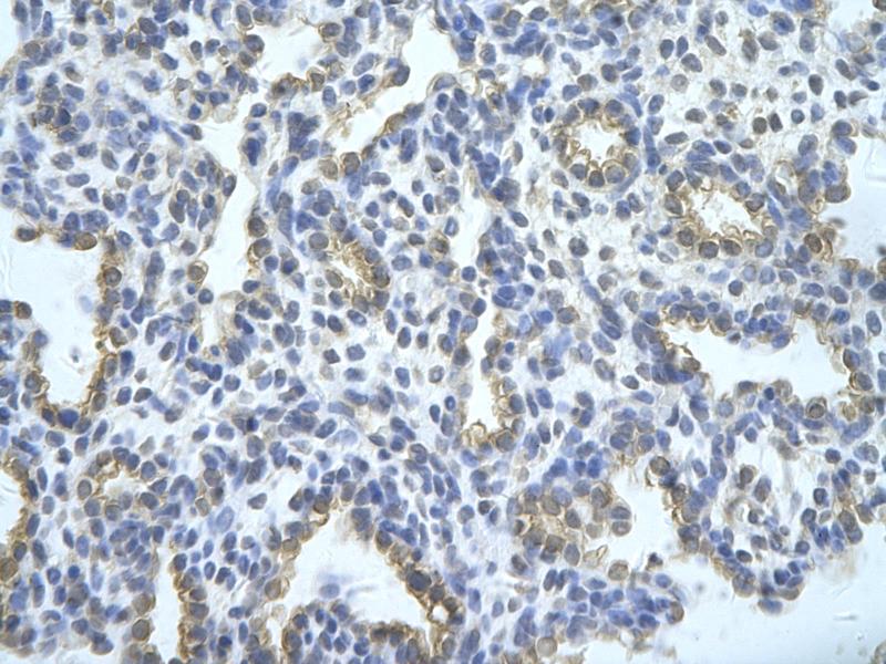
TRA2B Antikörper (Middle Region)

Dieser Kaninchen Polyklonal Antikörper detektiert spezifisch TRA2B in WB und IHC. Es zeigt Reaktivität gegenüber Proben von Human, Maus, Hund, Ratte, Rind (Kuh), Pferd, Kaninchen, Meerschweinchen und Zebrafisch (Danio rerio).
Produktnummer ABIN2778899
470,22 €
Zzgl. Versandkosten 20,00 € und MwSt
Lieferung nach: Deutschland
Lieferung in 6 bis 9 Werktagen

Kurzübersicht für TRA2B Antikörper (Middle Region) (ABIN2778899)

Target

Alle TRA2B Antikörper anzeigen
TRA2B (Transformer 2 beta Homolog (TRA2B))

Reaktivität

  • 24
  • 7
  • 5
  • 5
  • 3
  • 3
  • 3
  • 3
  • 2
  • 2
  • 2
  • 1
  • 1
  • 1
Human, Maus, Hund, Ratte, Rind (Kuh), Pferd, Kaninchen, Meerschweinchen, Zebrafisch (Danio rerio)

Wirt

  • 22
  • 2
Kaninchen

Klonalität

  • 23
  • 1
Polyklonal

Konjugat

  • 19
  • 1
  • 1
  • 1
  • 1
  • 1
Dieser TRA2B Antikörper ist unkonjugiert

Applikation

  • 24
  • 16
  • 10
  • 4
  • 3
  • 2
  • 1
  • 1
Western Blotting (WB), Immunohistochemistry (IHC)
  • Bindungsspezifität

    • 8
    • 3
    • 2
    • 2
    • 2
    • 1
    • 1
    • 1
    • 1
    • 1
    • 1
    Middle Region

    Sequenz

    GVFGLSLYTT ERDLREVFSK YGPIADVSIV YDQQSRRSRG FAFVYFENVD

    Homologie

    Cow: 100%, Dog: 100%, Guinea Pig: 100%, Horse: 100%, Human: 100%, Mouse: 100%, Rabbit: 100%, Rat: 100%, Zebrafish: 92%

    Produktmerkmale

    This is a rabbit polyclonal antibody against SFRS10. It was validated on Western Blot and immunohistochemistry.

    Aufreinigung

    Protein A purified

    Immunogen

    The immunogen is a synthetic peptide directed towards the middle region of human SFRS10
  • Applikationshinweise

    Optimal working dilutions should be determined experimentally by the investigator.

    Kommentare

    Antigen size: 288 AA

    Beschränkungen

    Nur für Forschungszwecke einsetzbar
  • Format

    Liquid

    Konzentration

    Lot specific

    Buffer

    Liquid. Purified antibody supplied in 1x PBS buffer with 0.09 % (w/v) sodium azide and 2 % sucrose.

    Konservierungsmittel

    Sodium azide

    Vorsichtsmaßnahmen

    This product contains Sodium azide: a POISONOUS AND HAZARDOUS SUBSTANCE which should be handled by trained staff only.

    Handhabung

    Avoid repeated freeze-thaw cycles.

    Lagerung

    -20 °C

    Informationen zur Lagerung

    For short term use, store at 2-8°C up to 1 week. For long term storage, store at -20°C in small aliquots to prevent freeze-thaw cycles.
  • Target

    TRA2B (Transformer 2 beta Homolog (TRA2B))

    Andere Bezeichnung

    SFRS10

    Hintergrund

    SFRS10 contains 1 RRM (RNA recognition motif) domain and belongs to the splicing factor SR family. It is a sequence-specific RNA-binding protein which participates in the control of pre-mRNA splicing.
    Alias Symbols: SFRS10, SRFS10, TRAN2B, TRA2-BETA, Htra2-beta
    Protein Interaction Partner: SUMO3, SUMO2, EED, CLK3, SRPK2, SRPK1, YWHAE, HNRNPA1, CDK6, YTHDC1, RBMX, RNPS1, SRSF10, NXF1, UBC, SRSF6, SRSF4, SRSF3, SRSF2, MAGOH, EIF4A3, BARD1, PAXIP1, PPP4R2, SF3B1, FAF2, PSIP1, GCN1L1, EIF4H, SRSF7, SRSF5, SRSF1, S100A9, RBMS2, RAN, PRKDC, NHP2L
    Protein Size: 288

    Molekulargewicht

    32 kDa

    Gen-ID

    6434

    NCBI Accession

    NM_004593, NP_004584

    UniProt

    P62995
Sie sind hier:
Chat with us!