Telefon:
+49 (0)241 95 163 153
Fax:
+49 (0)241 95 163 155
E-Mail:
orders@antikoerper-online.de

RAE1 Antikörper (C-Term)

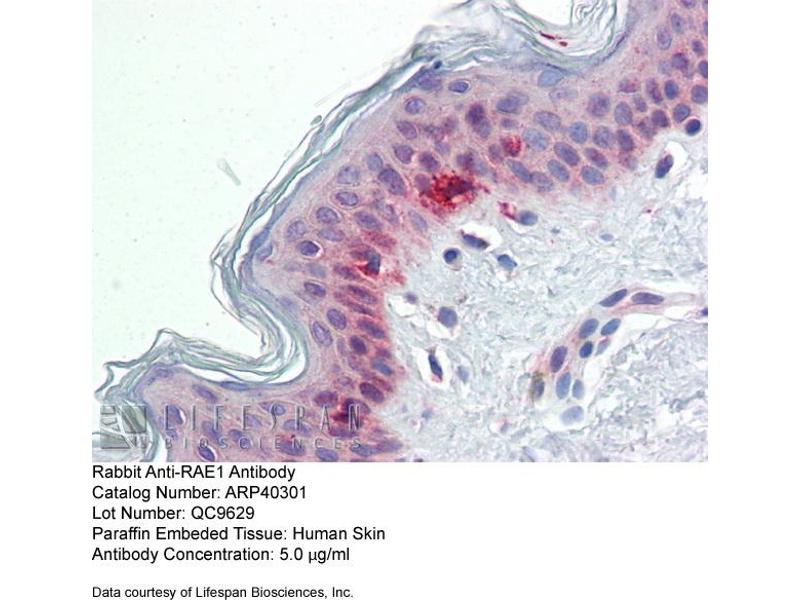
Dieser Kaninchen Polyklonal Antikörper detektiert spezifisch RAE1 in WB und IHC. Es zeigt Reaktivität gegenüber Proben von Human, Maus, Ratte, Hund, Zebrafisch (Danio rerio), Rind (Kuh), Pferd, Kaninchen und Meerschweinchen.
Produktnummer ABIN2778733
534,11 €
Zzgl. Versandkosten 20,00 € und MwSt
Lieferung nach: Deutschland
Lieferung in 6 bis 9 Werktagen

Kurzübersicht für RAE1 Antikörper (C-Term) (ABIN2778733)

Target

Alle RAE1 Antikörper anzeigen
RAE1 (RAE1 RNA Export 1 Homolog (S. Pombe) (RAE1))

Reaktivität

  • 41
  • 19
  • 18
  • 6
  • 4
  • 3
  • 3
  • 3
  • 2
  • 2
  • 2
  • 2
  • 2
  • 2
  • 2
Human, Maus, Ratte, Hund, Zebrafisch (Danio rerio), Rind (Kuh), Pferd, Kaninchen, Meerschweinchen

Wirt

  • 40
  • 1
Kaninchen

Klonalität

  • 41
Polyklonal

Konjugat

  • 20
  • 2
  • 1
  • 1
  • 1
  • 1
  • 1
  • 1
  • 1
  • 1
  • 1
  • 1
  • 1
  • 1
  • 1
  • 1
  • 1
  • 1
  • 1
  • 1
  • 1
Dieser RAE1 Antikörper ist unkonjugiert

Applikation

  • 19
  • 13
  • 13
  • 13
  • 11
  • 5
  • 4
  • 3
  • 2
  • 1
Western Blotting (WB), Immunohistochemistry (IHC)
  • Bindungsspezifität

    • 15
    • 5
    • 2
    • 2
    • 1
    • 1
    • 1
    C-Term

    Sequenz

    EQLDQPISAC CFNHNGNIFA YASSYDWSKG HEFYNPQKKN YIFLRNAAEE

    Homologie

    Cow: 100%, Dog: 100%, Guinea Pig: 100%, Horse: 100%, Human: 100%, Mouse: 100%, Rabbit: 100%, Rat: 100%, Zebrafish: 93%

    Produktmerkmale

    This is a rabbit polyclonal antibody against RAE1. It was validated on Western Blot and immunohistochemistry.

    Aufreinigung

    Affinity Purified

    Immunogen

    The immunogen is a synthetic peptide directed towards the C terminal region of human RAE1
  • Applikationshinweise

    Optimal working dilutions should be determined experimentally by the investigator.

    Kommentare

    Antigen size: 368 AA

    Beschränkungen

    Nur für Forschungszwecke einsetzbar
  • Format

    Liquid

    Konzentration

    Lot specific

    Buffer

    Liquid. Purified antibody supplied in 1x PBS buffer with 0.09 % (w/v) sodium azide and 2 % sucrose.

    Konservierungsmittel

    Sodium azide

    Vorsichtsmaßnahmen

    This product contains Sodium azide: a POISONOUS AND HAZARDOUS SUBSTANCE which should be handled by trained staff only.

    Handhabung

    Avoid repeated freeze-thaw cycles.

    Lagerung

    -20 °C

    Informationen zur Lagerung

    For short term use, store at 2-8°C up to 1 week. For long term storage, store at -20°C in small aliquots to prevent freeze-thaw cycles.
  • Target

    RAE1 (RAE1 RNA Export 1 Homolog (S. Pombe) (RAE1))

    Andere Bezeichnung

    RAE1

    Hintergrund

    RAE1 is a homolog of yeast Rae1. It contains four WD40 motifs, and has been shown to localize to distinct foci in the nucleoplasm, to the nuclear rim, and to meshwork-like structures throughout the cytoplasm. This gene is thought to be involved in nucleocytoplasmic transport, and in directly or indirectly attaching cytoplasmic mRNPs to the cytoskeleton.Mutations in the Schizosaccharomyces pombe Rae1 and Saccharomyces cerevisiae Gle2 genes have been shown to result in accumulation of poly(A)-containing mRNA in the nucleus, suggesting that the encoded proteins are involved in RNA export. The protein encoded by this gene is a homolog of yeast Rae1. It contains four WD40 motifs, and has been shown to localize to distinct foci in the nucleoplasm, to the nuclear rim, and to meshwork-like structures throughout the cytoplasm. This gene is thought to be involved in nucleocytoplasmic transport, and in directly or indirectly attaching cytoplasmic mRNPs to the cytoskeleton. Alternatively spliced transcript variants encoding the same protein have been found for this gene.
    Alias Symbols: MIG14, MRNP41, Mnrp41, dJ481F12.3, dJ800J21.1
    Protein Interaction Partner: TP53, CDC37, DGCR8, YAP1, STK3, EEF2K, SOX2, HNRNPUL1, YWHAQ, UBC, FN1, ZC3HAV1, UBD, DDX39B, NUP98, MAP2, NUMA1, RNA28S5, RNA18S5, LSM14A, IGF2BP3, NXF1, TACC3, DYNLL1, KHSRP, KPNB1, ILF3, COPS6, CUL1, CUL3, Nup214, Nup188, KAT2A, PTTG1, POLR3H, FAM122B,
    Protein Size: 368

    Molekulargewicht

    40 kDa

    Gen-ID

    8480

    NCBI Accession

    NM_001015885, NP_001015885

    UniProt

    P78406

    Pathways

    SARS-CoV-2 Protein Interaktom
Sie sind hier:
Chat with us!