Telefon:
+49 (0)241 95 163 153
Fax:
+49 (0)241 95 163 155
E-Mail:
orders@antikoerper-online.de

TCF21 Antikörper (N-Term)

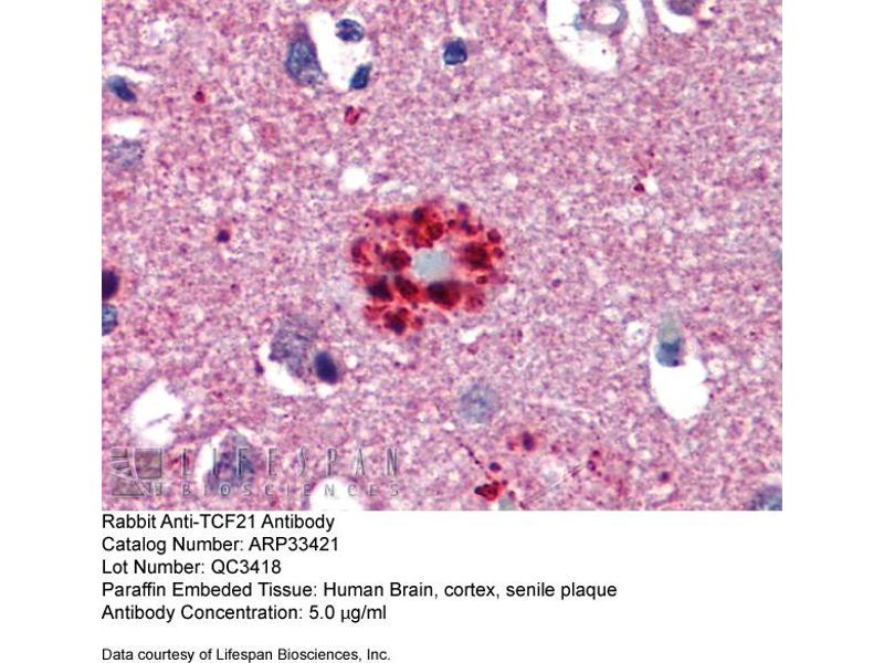
Der Kaninchen Polyklonal anti-TCF21 Antikörper (ABIN2777930) detektiert spezifisch TCF21 in WB und IHC. Dieser Antikörper reagiert spezifisch mit Proben aus Human, Maus, Ratte, Hund, Rind (Kuh), Meerschweinchen, Kaninchen und Pferd.
Produktnummer ABIN2777930
534,11 €
Zzgl. Versandkosten 20,00 € und MwSt
Lieferung nach: Deutschland
Lieferung in 6 bis 9 Werktagen

Kurzübersicht für TCF21 Antikörper (N-Term) (ABIN2777930)

Target

Alle TCF21 Antikörper anzeigen
TCF21 (Transcription Factor 21 (TCF21))

Reaktivität

  • 42
  • 20
  • 20
  • 4
  • 3
  • 3
  • 3
  • 3
  • 2
  • 2
  • 2
  • 1
  • 1
Human, Maus, Ratte, Hund, Rind (Kuh), Meerschweinchen, Kaninchen, Pferd

Wirt

  • 45
Kaninchen

Klonalität

  • 33
  • 12
Polyklonal

Konjugat

  • 19
  • 2
  • 2
  • 1
  • 1
  • 1
  • 1
  • 1
  • 1
  • 1
  • 1
  • 1
  • 1
  • 1
  • 1
  • 1
  • 1
  • 1
  • 1
  • 1
  • 1
  • 1
  • 1
  • 1
  • 1
Dieser TCF21 Antikörper ist unkonjugiert

Applikation

  • 45
  • 19
  • 11
  • 10
  • 4
  • 3
  • 2
  • 1
  • 1
  • 1
Western Blotting (WB), Immunohistochemistry (IHC)
  • Bindungsspezifität

    • 15
    • 6
    • 5
    • 2
    • 2
    • 1
    • 1
    • 1
    • 1
    N-Term

    Sequenz

    SNCENGSPQK GRGGLGKRRK APTKKSPLSG VSQEGKQVQR NAANARERAR

    Homologie

    Cow: 100%, Dog: 100%, Guinea Pig: 100%, Horse: 100%, Human: 100%, Mouse: 100%, Rabbit: 100%, Rat: 100%

    Produktmerkmale

    This is a rabbit polyclonal antibody against TCF21. It was validated on Western Blot using a cell lysate as a positive control.

    Aufreinigung

    Affinity Purified

    Immunogen

    The immunogen is a synthetic peptide directed towards the N terminal region of human TCF21
  • Applikationshinweise

    Optimal working dilutions should be determined experimentally by the investigator.

    Kommentare

    Antigen size: 179 AA

    Beschränkungen

    Nur für Forschungszwecke einsetzbar
  • Format

    Liquid

    Konzentration

    Lot specific

    Buffer

    Liquid. Purified antibody supplied in 1x PBS buffer with 0.09 % (w/v) sodium azide and 2 % sucrose.

    Konservierungsmittel

    Sodium azide

    Vorsichtsmaßnahmen

    This product contains Sodium azide: a POISONOUS AND HAZARDOUS SUBSTANCE which should be handled by trained staff only.

    Handhabung

    Avoid repeated freeze-thaw cycles.

    Lagerung

    -20 °C

    Informationen zur Lagerung

    For short term use, store at 2-8°C up to 1 week. For long term storage, store at -20°C in small aliquots to prevent freeze-thaw cycles.
  • Target

    TCF21 (Transcription Factor 21 (TCF21))

    Andere Bezeichnung

    TCF21

    Hintergrund

    The TCF21 gene encodes a transcription factor of the basic helix-loop-helix family. The TCF21 product is mesoderm specific, and expressed in embryonic epicardium, mesenchyme-derived tissues of lung, gut, gonad, and both mesenchymal and glomerular epithelial cells in the kidney.
    Alias Symbols: POD1, bHLHa23
    Protein Interaction Partner: TCF12, TCF3, TCF4, KLF15, LMO4, GTF3C5, HOXB6, APEX1, APLP1,
    Protein Size: 179

    Molekulargewicht

    20 kDa

    Gen-ID

    6943

    NCBI Accession

    NM_003206, NP_003197

    UniProt

    O43680

    Pathways

    Intracellular Steroid Hormone Receptor Signaling Pathway, Regulation of Intracellular Steroid Hormone Receptor Signaling
Sie sind hier:
Chat with us!