Telefon:
+49 (0)241 95 163 153
Fax:
+49 (0)241 95 163 155
E-Mail:
orders@antikoerper-online.de

EIF4H Antikörper (Middle Region)

Der Kaninchen Polyklonal anti-EIF4H Antikörper (ABIN2776554) detektiert spezifisch EIF4H in WB und IHC. Dieser Antikörper reagiert spezifisch mit Proben aus Human, Maus, Ratte, Hund, Pferd und Schwein.
Produktnummer ABIN2776554
470,22 €
Zzgl. Versandkosten 20,00 € und MwSt
Lieferung nach: Deutschland
Lieferung in 6 bis 9 Werktagen

Kurzübersicht für EIF4H Antikörper (Middle Region) (ABIN2776554)

Target

Alle EIF4H Antikörper anzeigen
EIF4H (Eukaryotic Translation Initiation Factor 4H (EIF4H))

Reaktivität

  • 44
  • 9
  • 9
  • 4
  • 3
  • 1
  • 1
  • 1
  • 1
Human, Maus, Ratte, Hund, Pferd, Schwein

Wirt

  • 43
  • 1
Kaninchen

Klonalität

  • 43
  • 1
Polyklonal

Konjugat

  • 25
  • 2
  • 2
  • 2
  • 1
  • 1
  • 1
  • 1
  • 1
  • 1
  • 1
  • 1
  • 1
  • 1
  • 1
  • 1
  • 1
Dieser EIF4H Antikörper ist unkonjugiert

Applikation

  • 27
  • 17
  • 15
  • 13
  • 13
  • 7
  • 5
  • 5
  • 3
  • 2
  • 1
  • 1
  • 1
Western Blotting (WB), Immunohistochemistry (IHC)
  • Bindungsspezifität

    • 15
    • 7
    • 3
    • 3
    • 2
    • 2
    • 2
    • 1
    • 1
    • 1
    • 1
    • 1
    • 1
    • 1
    Middle Region

    Sequenz

    DSRDDFNSGF RDDFLGGRGG SRPGDRRTGP PMGSRFRDGP PLRGSNMDFR

    Homologie

    Dog: 100%, Horse: 86%, Human: 100%, Mouse: 93%, Pig: 100%, Rat: 93%

    Produktmerkmale

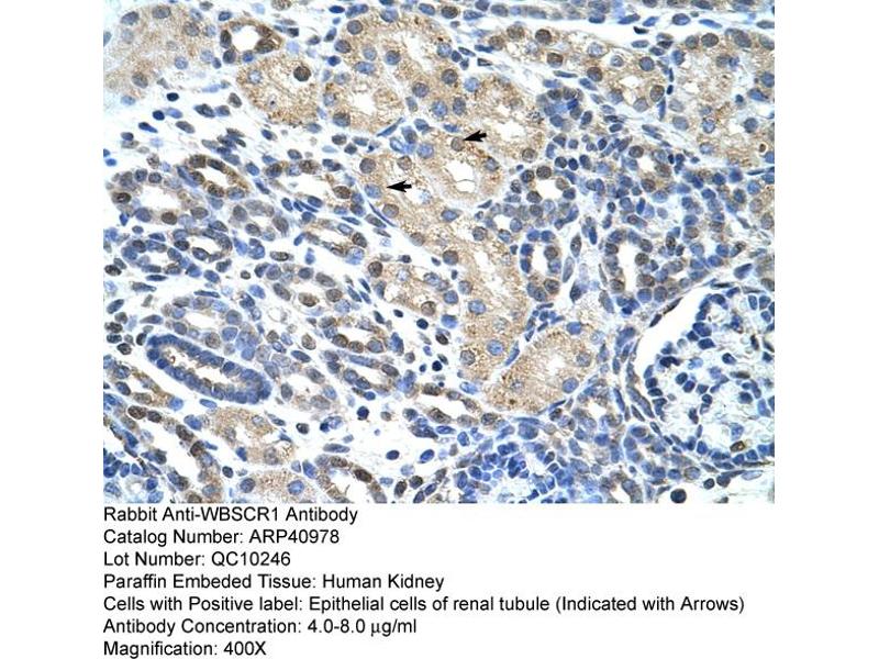
    This is a rabbit polyclonal antibody against WBSCR1. It was validated on Western Blot and immunohistochemistry.

    Aufreinigung

    Protein A purified

    Immunogen

    The immunogen is a synthetic peptide directed towards the middle region of human WBSCR1
  • Applikationshinweise

    Optimal working dilutions should be determined experimentally by the investigator.

    Kommentare

    Antigen size: 248 AA

    Beschränkungen

    Nur für Forschungszwecke einsetzbar
  • Format

    Liquid

    Konzentration

    Lot specific

    Buffer

    Liquid. Purified antibody supplied in 1x PBS buffer with 0.09 % (w/v) sodium azide and 2 % sucrose.

    Konservierungsmittel

    Sodium azide

    Vorsichtsmaßnahmen

    This product contains Sodium azide: a POISONOUS AND HAZARDOUS SUBSTANCE which should be handled by trained staff only.

    Handhabung

    Avoid repeated freeze-thaw cycles.

    Lagerung

    -20 °C

    Informationen zur Lagerung

    For short term use, store at 2-8°C up to 1 week. For long term storage, store at -20°C in small aliquots to prevent freeze-thaw cycles.
  • Target

    EIF4H (Eukaryotic Translation Initiation Factor 4H (EIF4H))

    Andere Bezeichnung

    WBSCR1

    Hintergrund

    WBSCR1 is one of the translation initiation factors, which functions to stimulate the initiation of protein synthesis at the level of mRNA utilization.This gene encodes one of the translation initiation factors, which functions to stimulate the initiation of protein synthesis at the level of mRNA utilization. This gene is deleted in Williams syndrome, a multisystem developmental disorder caused by the deletion of contiguous genes at 7q11.23. Alternative splicing of this gene generates 2 transcript variants.
    Alias Symbols: WSCR1, WBSCR1, eIF-4H
    Protein Interaction Partner: LNX1, C11orf68, UBC, GINS2, MAT2B, AHSA1, NDRG1, RPS6KA1, PGD, GLA, G6PD, EIF5, EEF2, CASP7, FN1, MRPL44, MRPL9, PUF60, NUDT21, HNRNPA0, SYNCRIP, HNRNPDL, EIF3A, TRA2B, SRSF3, RBMS2, ICT1, EIF4G2, EIF4E, EIF4A1, DGKQ, AI837181,
    Protein Size: 248

    Molekulargewicht

    27 kDa

    Gen-ID

    7458

    NCBI Accession

    NM_022170, NP_071496

    UniProt

    Q15056

    Pathways

    SARS-CoV-2 Protein Interaktom
Sie sind hier:
Chat with us!