Telefon:
+49 (0)241 95 163 153
Fax:
+49 (0)241 95 163 155
E-Mail:
orders@antikoerper-online.de

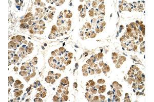
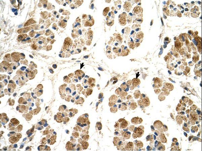
POR Antikörper (Middle Region)

Es gibt 1 Publikation für dieses Produkt. Der Kaninchen Polyklonal anti-POR Antikörper wird verwendet zum Nachweis von POR in Proben von Human, Ratte, Maus, Kaninchen, Rind (Kuh), Hund, Meerschweinchen, Pferd und Zebrafisch (Danio rerio). Er wurde validiert für WB und IHC.
Produktnummer ABIN2773843
534,11 €
Zzgl. Versandkosten 20,00 € und MwSt
Lieferung nach: Deutschland
Lieferung in 6 bis 9 Werktagen

Kurzübersicht für POR Antikörper (Middle Region) (ABIN2773843)

Target

Alle POR Antikörper anzeigen
POR (P450 (Cytochrome) Oxidoreductase (POR))

Reaktivität

  • 56
  • 35
  • 31
  • 3
  • 3
  • 3
  • 3
  • 3
  • 3
  • 3
  • 2
  • 2
  • 2
  • 2
  • 1
  • 1
  • 1
  • 1
  • 1
  • 1
  • 1
  • 1
  • 1
  • 1
  • 1
  • 1
Human, Ratte, Maus, Kaninchen, Rind (Kuh), Hund, Meerschweinchen, Pferd, Zebrafisch (Danio rerio)

Wirt

  • 53
  • 8
  • 2
  • 1
Kaninchen

Klonalität

  • 38
  • 26
Polyklonal

Konjugat

  • 38
  • 3
  • 3
  • 3
  • 3
  • 3
  • 3
  • 3
  • 2
  • 1
  • 1
  • 1
Dieser POR Antikörper ist unkonjugiert

Applikation

  • 47
  • 30
  • 19
  • 18
  • 16
  • 9
  • 7
  • 6
  • 2
  • 1
  • 1
  • 1
  • 1
Western Blotting (WB), Immunohistochemistry (IHC)
  • Bindungsspezifität

    • 5
    • 4
    • 4
    • 2
    • 2
    • 2
    • 1
    • 1
    • 1
    • 1
    • 1
    • 1
    • 1
    • 1
    • 1
    • 1
    Middle Region

    Sequenz

    VVHTDIDAAK VYMGEMGRLK SYENQKPPFD AKNPFLAAVT TNRKLNQGTE

    Homologie

    Cow: 100%, Dog: 100%, Guinea Pig: 100%, Horse: 93%, Human: 100%, Mouse: 100%, Rabbit: 100%, Rat: 100%, Zebrafish: 86%

    Produktmerkmale

    This is a rabbit polyclonal antibody against POR. It was validated on Western Blot using a cell lysate as a positive control.

    Aufreinigung

    Affinity Purified

    Immunogen

    The immunogen is a synthetic peptide directed towards the middle region of human POR
  • Applikationshinweise

    Optimal working dilutions should be determined experimentally by the investigator.

    Kommentare

    Antigen size: 680 AA

    Beschränkungen

    Nur für Forschungszwecke einsetzbar
  • Format

    Liquid

    Konzentration

    Lot specific

    Buffer

    Liquid. Purified antibody supplied in 1x PBS buffer with 0.09 % (w/v) sodium azide and 2 % sucrose.

    Konservierungsmittel

    Sodium azide

    Vorsichtsmaßnahmen

    This product contains Sodium azide: a POISONOUS AND HAZARDOUS SUBSTANCE which should be handled by trained staff only.

    Handhabung

    Avoid repeated freeze-thaw cycles.

    Lagerung

    -20 °C

    Informationen zur Lagerung

    For short term use, store at 2-8°C up to 1 week. For long term storage, store at -20°C in small aliquots to prevent freeze-thaw cycles.
  • Lee, Kim, Yoon, Lee: "Cytochrome P450 system expression and DNA adduct formation in the liver of Zacco platypus following waterborne benzo(a)pyrene exposure: implications for biomarker determination." in: Environmental toxicology, Vol. 29, Issue 9, pp. 1032-42, (2014) (PubMed).

  • Target

    POR (P450 (Cytochrome) Oxidoreductase (POR))

    Andere Bezeichnung

    POR

    Hintergrund

    POR is an endoplasmic reticulum membrane oxidoreductase with an FAD-binding domain and a flavodoxin-like domain. The protein binds two cofactors, FAD and FMN, which allow it to donate electrons directly from NADPH to all microsomal P450 enzymes. Mutations in this POR gene have been associated with various diseases, including apparent combined P450C17 and P450C21 deficiency, amenorrhea and disordered steroidogenesis, congenital adrenal hyperplasia and Antley-Bixler syndrome.This gene encodes an endoplasmic reticulum membrane oxidoreductase with an FAD-binding domain and a flavodoxin-like domain. The protein binds two cofactors, FAD and FMN, which allow it to donate electrons directly from NADPH to all microsomal P450 enzymes. Mutations in this gene have been associated with various diseases, including apparent combined P450C17 and P450C21 deficiency, amenorrhea and disordered steroidogenesis, congenital adrenal hyperplasia and Antley-Bixler syndrome. Publication Note: This RefSeq record includes a subset of the publications that are available for this gene. Please see the Entrez Gene record to access additional publications.
    Alias Symbols: CPR, CYPOR, DKFZp686G04235, FLJ26468, P450R
    Protein Interaction Partner: UBC, CYP2C9, PGRMC1, STAT1, INSIG1, CYP3A4, CYP2E1, CYP2D6, CYP2C19, CYP2A6, CYP1A2, UBD, SUMO2, RABEPK, FANCC, CYB5A, CYP17A1, XRCC6, HMOX1,
    Protein Size: 680

    Molekulargewicht

    77 kDa

    Gen-ID

    5447

    NCBI Accession

    NM_000941, NP_000932

    UniProt

    Q63HL4

    Pathways

    Regulation of Hormone Metabolic Process, Regulation of Hormone Biosynthetic Process, SARS-CoV-2 Protein Interaktom
Sie sind hier:
Chat with us!