Telefon:
+49 (0)241 95 163 153
Fax:
+49 (0)241 95 163 155
E-Mail:
orders@antikoerper-online.de

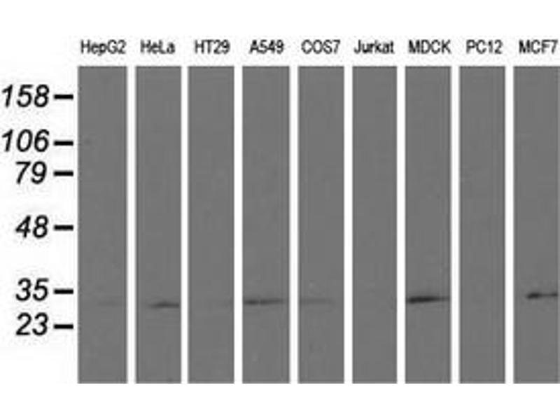
RASD2 Antikörper

Der Maus Monoklonal anti-RASD2 Antikörper wird verwendet zum Nachweis von RASD2 in Proben von Human und Hund. Er wurde validiert für WB, IHC und FACS.
Produktnummer ABIN2730526
627,08 €
Zzgl. Versandkosten 20,00 € und MwSt
0.1 mL
Lieferung nach: Deutschland
Lieferung in 6 bis 8 Werktagen

Kurzübersicht für RASD2 Antikörper (ABIN2730526)

Target

Alle RASD2 Antikörper anzeigen
RASD2 (RASD Family, Member 2 (RASD2))

Reaktivität

  • 49
  • 17
  • 12
  • 3
  • 1
  • 1
  • 1
  • 1
  • 1
Human, Hund

Wirt

  • 41
  • 8
Maus

Klonalität

  • 43
  • 6
Monoklonal

Konjugat

  • 22
  • 3
  • 3
  • 2
  • 1
  • 1
  • 1
  • 1
  • 1
  • 1
  • 1
  • 1
  • 1
  • 1
  • 1
  • 1
  • 1
  • 1
  • 1
  • 1
  • 1
  • 1
  • 1
Dieser RASD2 Antikörper ist unkonjugiert

Applikation

  • 43
  • 20
  • 13
  • 13
  • 9
  • 6
  • 5
  • 5
  • 4
  • 3
  • 3
  • 1
Western Blotting (WB), Immunohistochemistry (IHC), Flow Cytometry (FACS)

Klon

1G1
  • Aufreinigung

    Purified from mouse ascites fluids by affinity chromatography

    Immunogen

    Full length human recombinant protein of human RASD2 (NP_055125) produced in HEK293T cell.

    Isotyp

    IgG2a
  • Applikationshinweise

    WB 1:500~2000, FLOW 1:100, IHC: 1:150

    Kommentare

    The concentration of the product may vary between diferrent lots.

    Beschränkungen

    Nur für Forschungszwecke einsetzbar
  • Format

    Liquid

    Konzentration

    0.5-1.0 mg/mL

    Buffer

    PBS (PH 7.3) containing 1 % BSA, 50 % glycerol and 0.02 % sodium azide.

    Konservierungsmittel

    Sodium azide

    Vorsichtsmaßnahmen

    This product contains sodium azide: a POISONOUS AND HAZARDOUS SUBSTANCE which should be handled by trained staff only.
  • Target

    RASD2 (RASD Family, Member 2 (RASD2))

    Andere Bezeichnung

    RASD2

    Molekulargewicht

    30.2 kDa

    Gen-ID

    23551

    NCBI Accession

    NM_014310

    HGNC

    23551
Sie sind hier:
Chat with us!