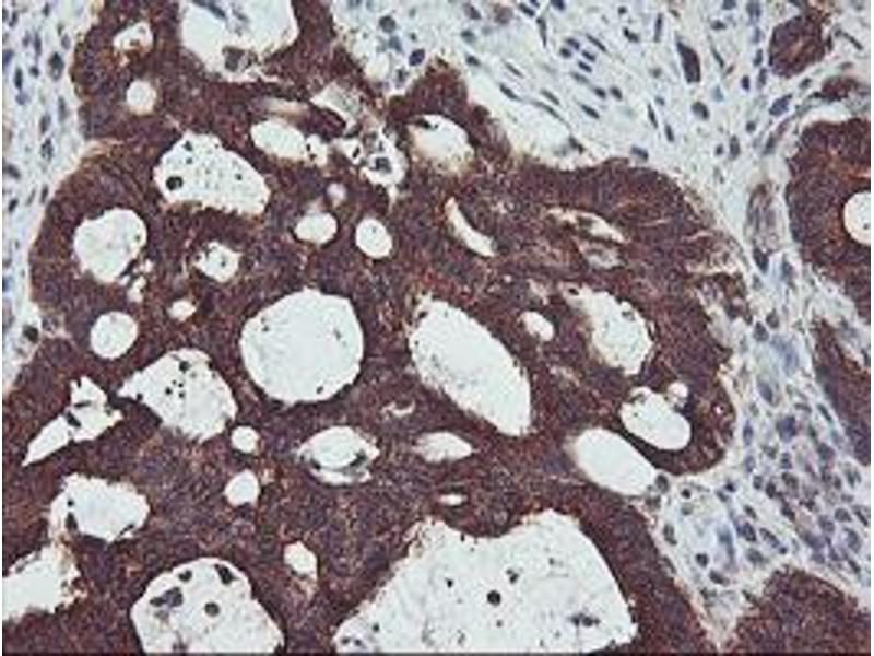
PDRG1 Antikörper
Kurzübersicht für PDRG1 Antikörper (ABIN2728603)
Target
Alle PDRG1 Antikörper anzeigenReaktivität
Wirt
Klonalität
Konjugat
Applikation
Klon
-
-
Produktmerkmale
- Homo sapiens p53 and DNA-damage regulated 1 (PDRG1)
-
Aufreinigung
- Purified from mouse ascites fluids by affinity chromatography
-
Immunogen
- Full length human recombinant protein of human PDRG1(NP_110442) produced in HEK293T cell.
-
Isotyp
- IgG1
-
-
-
-
Applikationshinweise
- WB 1:500, IHC 1:150, FLOW 1:100,
-
Kommentare
-
The concentration of the product may vary between diferrent lots.
-
Beschränkungen
- Nur für Forschungszwecke einsetzbar
-
-
-
Format
- Liquid
-
Konzentration
- 0.5-1.0 mg/mL
-
Buffer
- PBS (PH 7.3) containing 1 % BSA, 50 % glycerol and 0.02 % sodium azide.
-
Konservierungsmittel
- Sodium azide
-
Vorsichtsmaßnahmen
- This product contains sodium azide: a POISONOUS AND HAZARDOUS SUBSTANCE which should be handled by trained staff only.
-
Lagerung
- -20 °C
-
-
- PDRG1 (P53 and DNA-Damage Regulated 1 (PDRG1))
-
Andere Bezeichnung
- PDRG1
-
Molekulargewicht
- 15.3 kDa
-
Gen-ID
- 81572
-
NCBI Accession
- NM_030815
-
HGNC
- 81572
Target
-