×
Aktivieren Sie Javascript in Ihrem Browser, um unsere Webseite optimal zu nutzen.
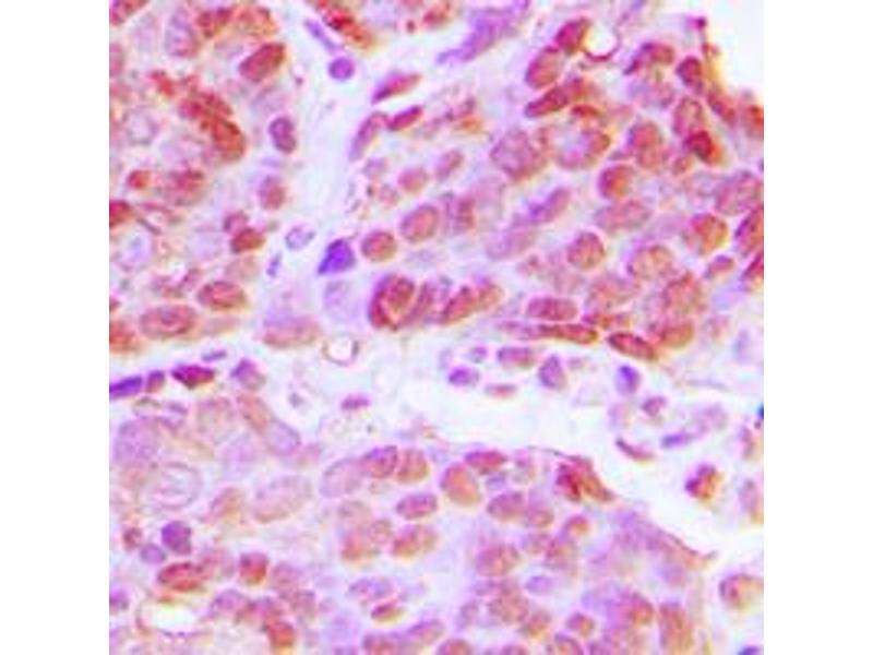
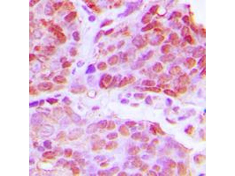
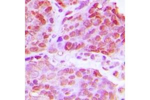
TTF1 Antikörper (N-Term)
Der Kaninchen Polyklonal anti-TTF1 Antikörper wird verwendet zum Nachweis von TTF1 in Proben von Human, Maus und Ratte. Er wurde validiert für WB und IHC.
Produktnummer ABIN7301418
330,77 €
Zzgl. Versandkosten 20,00 € und MwSt
30 μL ABIN7301419
50 μL ABIN7683904
100 μL ABIN7301418
200 μL ABIN2707771
30 μL ABIN7301419
50 μL ABIN7683904
100 μL ABIN7301418
200 μL ABIN2707771
Lieferung in 17 bis 20 Werktagen
Kurzübersicht für TTF1 Antikörper (N-Term) (ABIN7301418)
Target
Alle TTF1 Antikörper anzeigen
TTF1
(Transcription Termination Factor, RNA Polymerase I (TTF1))
Reaktivität
Alle Reaktivitäten für TTF1 Antikörper
Human, Maus, Ratte
Wirt
Alle Wirte für TTF1 Antikörper
Kaninchen
Klonalität
Alle Klonalitäten für TTF1 Antikörper
Polyklonal
Konjugat
Alle Konjugate für TTF1 Antikörper
Dieser TTF1 Antikörper ist unkonjugiert
Applikation
Alle Applikationen für TTF1 Antikörper
Western Blotting (WB), Immunohistochemistry (IHC)
Produktdetails anti-TTF1 Antikörper
(ausblenden)
Bindungsspezifität
Alle Epitope für TTF1 Antikörper
N-Term
Verwendungszweck
Rabbit polyclonal antibody to TTF1
Spezifität
Recognizes endogenous levels of TTF1 protein.
Produktmerkmale
Rabbit polyclonal antibody to TTF1
Aufreinigung
The antibody was purified by immunogen affinity chromatography.
Immunogen
KLH-conjugated synthetic peptide encompassing a sequence within the N-term region of human TTF1. The exact sequence is proprietary.
Alternativen
(anzeigen)
Anwendungsinformationen
(ausblenden)
Applikationshinweise
WB (1/500 - 1/1000), IH (1/100 - 1/200)
Beschränkungen
Nur für Forschungszwecke einsetzbar
Handhabung
(ausblenden)
Format
Liquid
Buffer
Liquid in 0.42 % Potassium phosphate, 0.87 % Sodium chloride, pH 7.3, 30 % glycerol, and 0.01 % sodium azide.
Konservierungsmittel
Sodium azide
Vorsichtsmaßnahmen
This product contains Sodium azide: a POISONOUS AND HAZARDOUS SUBSTANCE which should be handled by trained staff only.
Lagerung
-20 °C
Informationen zur Lagerung
Shipped at 4°C. Upon delivery aliquot and store at -20°C for one year. Avoid freeze/thaw cycles.
Haltbarkeit
12 months
Details zu TTF1
(ausblenden)
Target
TTF1
(Transcription Termination Factor, RNA Polymerase I (TTF1))
Andere Bezeichnung
TTF1
Hintergrund
Transcription termination factor 1, TTF-1, RNA polymerase I termination factor, Transcription termination factor I, TTF-I
Gen-ID
7270, 22130
UniProt
Q15361
Pathways
Thyroid Hormone Synthesis , Regulation of Systemic Arterial Blood Pressure by Hormones , Feeding Behaviour
Zuletzt angesehen
(ausblenden)
Sie sind hier:
Startseite
anti-TTF1 Antikörper (N-Term) (ABIN7301418)
Chat with us , powered by LiveChat