Telefon:
+49 (0)241 95 163 153
Fax:
+49 (0)241 95 163 155
E-Mail:
orders@antikoerper-online.de

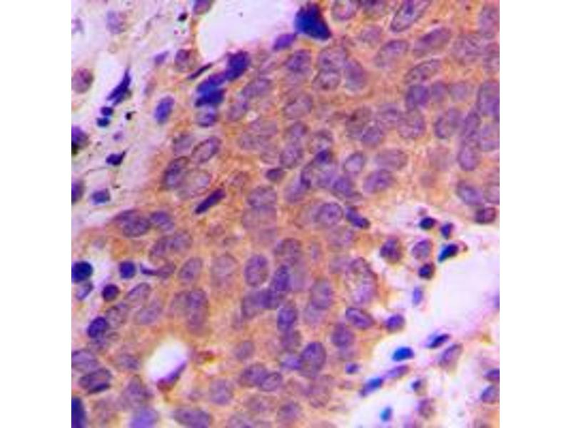
USP19 Antikörper (Center)

Dieser Kaninchen Polyklonal Antikörper detektiert spezifisch USP19 in WB. Es zeigt Reaktivität gegenüber Proben von Human und Maus.
Produktnummer ABIN7297844
330,77 €
Zzgl. Versandkosten 20,00 € und MwSt
Lieferung nach: Deutschland
Lieferung in 17 bis 20 Werktagen

Kurzübersicht für USP19 Antikörper (Center) (ABIN7297844)

Target

Alle USP19 Antikörper anzeigen
USP19 (Ubiquitin Specific Peptidase 19 (USP19))

Reaktivität

  • 35
  • 15
  • 8
  • 1
  • 1
Human, Maus

Wirt

  • 32
  • 2
  • 1
Kaninchen

Klonalität

  • 35
Polyklonal

Konjugat

  • 23
  • 2
  • 1
  • 1
  • 1
  • 1
  • 1
  • 1
  • 1
  • 1
  • 1
  • 1
Dieser USP19 Antikörper ist unkonjugiert

Applikation

  • 24
  • 13
  • 7
  • 3
  • 3
  • 3
  • 2
  • 1
Western Blotting (WB)
  • Bindungsspezifität

    • 7
    • 5
    • 3
    • 2
    • 2
    • 1
    • 1
    • 1
    • 1
    • 1
    • 1
    • 1
    • 1
    • 1
    Center

    Verwendungszweck

    Rabbit polyclonal antibody to USP19

    Spezifität

    Recognizes endogenous levels of USP19 protein.

    Produktmerkmale

    Rabbit polyclonal antibody to USP19

    Aufreinigung

    The antibody was purified by immunogen affinity chromatography.

    Immunogen

    KLH-conjugated synthetic peptide encompassing a sequence within the center region of human USP19. The exact sequence is proprietary.
  • Applikationshinweise

    WB (1/500 - 1/1000)

    Beschränkungen

    Nur für Forschungszwecke einsetzbar
  • Format

    Liquid

    Buffer

    Liquid in 0.42 % Potassium phosphate, 0.87 % Sodium chloride, pH 7.3, 30 % glycerol, and 0.01 % sodium azide.

    Konservierungsmittel

    Sodium azide

    Vorsichtsmaßnahmen

    This product contains Sodium azide: a POISONOUS AND HAZARDOUS SUBSTANCE which should be handled by trained staff only.

    Lagerung

    -20 °C

    Informationen zur Lagerung

    Shipped at 4°C. Upon delivery aliquot and store at -20°C for one year. Avoid freeze/thaw cycles.

    Haltbarkeit

    12 months
  • Target

    USP19 (Ubiquitin Specific Peptidase 19 (USP19))

    Andere Bezeichnung

    USP19

    Hintergrund

    KIAA0891, ZMYND9, Ubiquitin carboxyl-terminal hydrolase 19, Deubiquitinating enzyme 19, Ubiquitin thioesterase 19, Ubiquitin-specific-processing protease 19, Zinc finger MYND domain-containing protein 9

    Gen-ID

    10869

    UniProt

    O94966
Sie sind hier:
Chat with us!