×
Aktivieren Sie Javascript in Ihrem Browser, um unsere Webseite optimal zu nutzen.
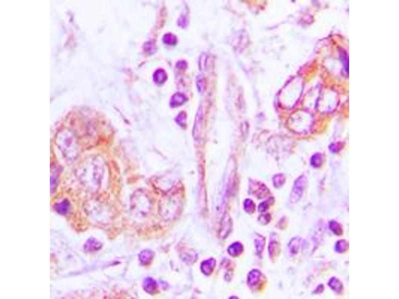
OTUB2 Antikörper (Center)
Der Kaninchen Polyklonal anti-OTUB2 Antikörper (ABIN7298360) detektiert spezifisch OTUB2 in WB und IHC.
Dieser Antikörper reagiert spezifisch mit Proben aus Human, Maus, Ratte und Rind (Kuh).
Produktnummer ABIN7298360
330,77 €
Zzgl. Versandkosten 20,00 € und MwSt
30 μL ABIN7298361
50 μL ABIN7682043
100 μL ABIN7298360
200 μL ABIN2706740
30 μL ABIN7298361
50 μL ABIN7682043
100 μL ABIN7298360
200 μL ABIN2706740
Lieferung in 17 bis 20 Werktagen
Kurzübersicht für OTUB2 Antikörper (Center) (ABIN7298360)
Target
Alle OTUB2 Antikörper anzeigen
OTUB2
(OTU Domain, Ubiquitin Aldehyde Binding 2 (OTUB2))
Reaktivität
Alle Reaktivitäten für OTUB2 Antikörper
Human, Maus, Ratte, Rind (Kuh)
Wirt
Alle Wirte für OTUB2 Antikörper
Kaninchen
Klonalität
Alle Klonalitäten für OTUB2 Antikörper
Polyklonal
Konjugat
Alle Konjugate für OTUB2 Antikörper
Dieser OTUB2 Antikörper ist unkonjugiert
Applikation
Alle Applikationen für OTUB2 Antikörper
Western Blotting (WB), Immunohistochemistry (IHC)
Produktdetails anti-OTUB2 Antikörper
(ausblenden)
Bindungsspezifität
Alle Epitope für OTUB2 Antikörper
Center
Verwendungszweck
Rabbit polyclonal antibody to OTUB2
Spezifität
Recognizes endogenous levels of OTUB2 protein.
Produktmerkmale
Rabbit polyclonal antibody to OTUB2
Aufreinigung
The antibody was purified by immunogen affinity chromatography.
Immunogen
KLH-conjugated synthetic peptide encompassing a sequence within the center region of human OTUB2. The exact sequence is proprietary.
Alternativen
(anzeigen)
Anwendungsinformationen
(ausblenden)
Applikationshinweise
WB (1/500 - 1/1000), IH (1/50 - 1/100)
Beschränkungen
Nur für Forschungszwecke einsetzbar
Handhabung
(ausblenden)
Format
Liquid
Buffer
Liquid in 0.42 % Potassium phosphate, 0.87 % Sodium chloride, pH 7.3, 30 % glycerol, and 0.01 % sodium azide.
Konservierungsmittel
Sodium azide
Vorsichtsmaßnahmen
This product contains Sodium azide: a POISONOUS AND HAZARDOUS SUBSTANCE which should be handled by trained staff only.
Lagerung
-20 °C
Informationen zur Lagerung
Shipped at 4°C. Upon delivery aliquot and store at -20°C for one year. Avoid freeze/thaw cycles.
Haltbarkeit
12 months
Details zu OTUB2
(ausblenden)
Target
OTUB2
(OTU Domain, Ubiquitin Aldehyde Binding 2 (OTUB2))
Andere Bezeichnung
OTUB2
Hintergrund
C14orf137, OTB2, OTU2, Ubiquitin thioesterase OTUB2, Deubiquitinating enzyme OTUB2, OTU domain-containing ubiquitin aldehyde-binding protein 2, Otubain-2, Ubiquitin-specific-processing protease OTUB2
Gen-ID
78990, 68149
UniProt
Q96DC9
Zuletzt angesehen
(ausblenden)
Sie sind hier:
Startseite
anti-OTUB2 Antikörper (Center) (ABIN7298360)
Chat with us , powered by LiveChat