×
Aktivieren Sie Javascript in Ihrem Browser, um unsere Webseite optimal zu nutzen.
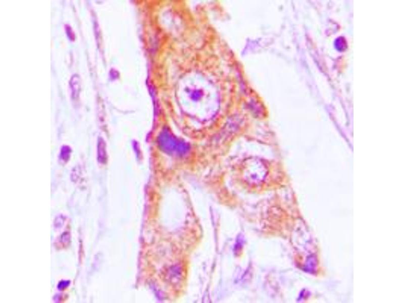
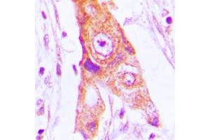
MRPL46 Antikörper (Center)
Der Kaninchen Polyklonal anti-MRPL46 Antikörper wird verwendet zum Nachweis von MRPL46 in Proben von Human, Maus, Ratte und Affe. Er wurde validiert für WB und IHC.
Produktnummer ABIN7298048
330,77 €
Zzgl. Versandkosten 20,00 € und MwSt
30 μL ABIN7298049
50 μL ABIN7681889
100 μL ABIN7298048
200 μL ABIN2706601
30 μL ABIN7298049
50 μL ABIN7681889
100 μL ABIN7298048
200 μL ABIN2706601
Lieferung in 17 bis 20 Werktagen
Kurzübersicht für MRPL46 Antikörper (Center) (ABIN7298048)
Target
Alle MRPL46 Antikörper anzeigen
MRPL46
(Mitochondrial Ribosomal Protein L46 (MRPL46))
Reaktivität
Alle Reaktivitäten für MRPL46 Antikörper
Human, Maus, Ratte, Affe
Wirt
Alle Wirte für MRPL46 Antikörper
Kaninchen
Klonalität
Alle Klonalitäten für MRPL46 Antikörper
Polyklonal
Konjugat
Alle Konjugate für MRPL46 Antikörper
Dieser MRPL46 Antikörper ist unkonjugiert
Applikation
Alle Applikationen für MRPL46 Antikörper
Western Blotting (WB), Immunohistochemistry (IHC)
Produktdetails anti-MRPL46 Antikörper
(ausblenden)
Bindungsspezifität
Alle Epitope für MRPL46 Antikörper
Center
Verwendungszweck
Rabbit polyclonal antibody to MRPL46
Spezifität
Recognizes endogenous levels of MRPL46 protein.
Produktmerkmale
Rabbit polyclonal antibody to MRPL46
Aufreinigung
The antibody was purified by immunogen affinity chromatography.
Immunogen
KLH-conjugated synthetic peptide encompassing a sequence within the center region of human MRPL46. The exact sequence is proprietary.
Alternativen
(anzeigen)
Anwendungsinformationen
(ausblenden)
Applikationshinweise
WB (1/500 - 1/1000), IH (1/100 - 1/200)
Beschränkungen
Nur für Forschungszwecke einsetzbar
Handhabung
(ausblenden)
Format
Liquid
Buffer
Liquid in 0.42 % Potassium phosphate, 0.87 % Sodium chloride, pH 7.3, 30 % glycerol, and 0.01 % sodium azide.
Konservierungsmittel
Sodium azide
Vorsichtsmaßnahmen
This product contains Sodium azide: a POISONOUS AND HAZARDOUS SUBSTANCE which should be handled by trained staff only.
Lagerung
-20 °C
Informationen zur Lagerung
Shipped at 4°C. Upon delivery aliquot and store at -20°C for one year. Avoid freeze/thaw cycles.
Haltbarkeit
12 months
Details zu MRPL46
(ausblenden)
Target
MRPL46
(Mitochondrial Ribosomal Protein L46 (MRPL46))
Andere Bezeichnung
MRPL46
Hintergrund
C15orf4, LIECG2, 39S ribosomal protein L46, mitochondrial, L46mt, MRP-L46, P2ECSL
Gen-ID
26589
UniProt
Q9H2W6
Zuletzt angesehen
(ausblenden)
Sie sind hier:
Startseite
anti-MRPL46 Antikörper (Center) (ABIN7298048)
Chat with us , powered by LiveChat