×
Aktivieren Sie Javascript in Ihrem Browser, um unsere Webseite optimal zu nutzen.
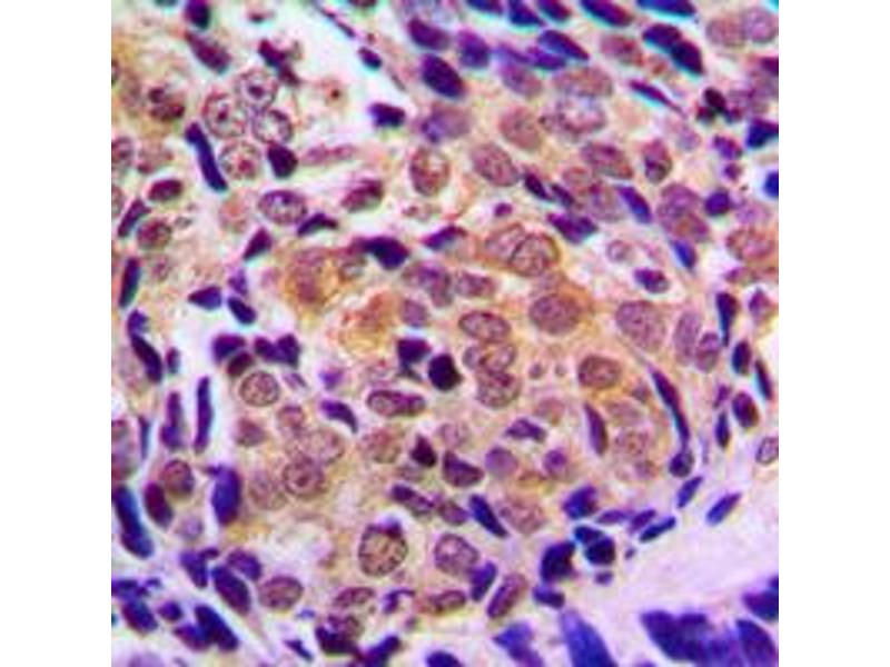
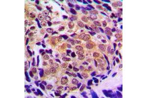
HDAC5/9 Antikörper (Center)
Der Kaninchen Polyklonal anti-HDAC5/9 Antikörper (ABIN7300794) detektiert spezifisch HDAC5/9 in IHC und WB.
Dieser Antikörper reagiert spezifisch mit Proben aus Human, Maus, Huhn, Rind (Kuh), Hund, Schwein und Ratte.
Produktnummer ABIN7300794
330,77 €
Zzgl. Versandkosten 20,00 € und MwSt
30 μL ABIN7300795
50 μL ABIN7683296
100 μL ABIN7300794
200 μL ABIN2706308
30 μL ABIN7300795
50 μL ABIN7683296
100 μL ABIN7300794
200 μL ABIN2706308
Lieferung in 17 bis 20 Werktagen
Kurzübersicht für HDAC5/9 Antikörper (Center) (ABIN7300794)
Target
HDAC5/9
(Histone Deacetylase 5/9)
Reaktivität
Human, Maus, Huhn, Rind (Kuh), Hund, Schwein, Ratte
Wirt
Alle Wirte für HDAC5/9 Antikörper
Kaninchen
Klonalität
Alle Klonalitäten für HDAC5/9 Antikörper
Polyklonal
Konjugat
Alle Konjugate für HDAC5/9 Antikörper
Dieser HDAC5/9 Antikörper ist unkonjugiert
Applikation
Immunohistochemistry (IHC), Western Blotting (WB)
Produktdetails anti-HDAC5/9 Antikörper
(ausblenden)
Bindungsspezifität
Alle Epitope für HDAC5/9 Antikörper
Center
Verwendungszweck
Rabbit polyclonal antibody to Histone Deacetylase 5/9
Spezifität
Recognizes endogenous levels of Histone Deacetylase 5/9 protein.
Produktmerkmale
Rabbit polyclonal antibody to Histone Deacetylase 5/9
Aufreinigung
The antibody was purified by immunogen affinity chromatography.
Immunogen
KLH-conjugated synthetic peptide encompassing a sequence within the center region of human Histone Deacetylase 5/9. The exact sequence is proprietary.
Alternativen
(anzeigen)
Anwendungsinformationen
(ausblenden)
Applikationshinweise
WB (1/500 - 1/1000), IH (1/100 - 1/200)
Beschränkungen
Nur für Forschungszwecke einsetzbar
Handhabung
(ausblenden)
Format
Liquid
Buffer
Liquid in 0.42 % Potassium phosphate, 0.87 % Sodium chloride, pH 7.3, 30 % glycerol, and 0.01 % sodium azide.
Konservierungsmittel
Sodium azide
Vorsichtsmaßnahmen
This product contains Sodium azide: a POISONOUS AND HAZARDOUS SUBSTANCE which should be handled by trained staff only.
Lagerung
-20 °C
Informationen zur Lagerung
Shipped at 4°C. Upon delivery aliquot and store at -20°C for one year. Avoid freeze/thaw cycles.
Haltbarkeit
12 months
Details zu HDAC5/9
(ausblenden)
Target
HDAC5/9
(Histone Deacetylase 5/9)
Hintergrund
HDAC5, KIAA0600, Histone deacetylase 5, HD5, Antigen NY-CO-9, HDAC9, HDAC7, HDAC7B, HDRP, KIAA0744, MITR, Histone deacetylase 9, HD9, Histone deacetylase 7B, HD7, HD7b, Histone deacetylase-related protein, MEF2-interacting transcription repressor MITR
Gen-ID
10014, 79221
UniProt
Q9UQL6
Zuletzt angesehen
(ausblenden)
Sie sind hier:
Startseite
anti-HDAC5/9 Antikörper (Center) (ABIN7300794)
Chat with us , powered by LiveChat