×
Aktivieren Sie Javascript in Ihrem Browser, um unsere Webseite optimal zu nutzen.
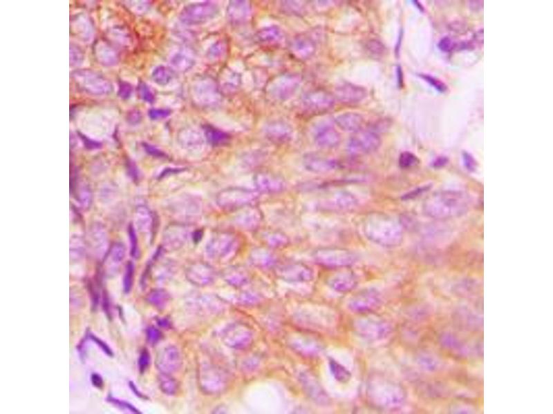
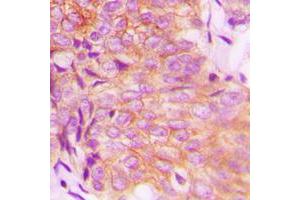
EPS8-Like 3 Antikörper (Center)
Der Kaninchen Polyklonal anti-EPS8-Like 3 Antikörper (ABIN7298374) detektiert spezifisch EPS8-Like 3 in IHC, WB und IF.
Dieser Antikörper reagiert spezifisch mit Proben aus Human.
Produktnummer ABIN7298374
330,77 €
Zzgl. Versandkosten 20,00 € und MwSt
30 μL ABIN7298375
50 μL ABIN7682050
100 μL ABIN7298374
200 μL ABIN2706119
30 μL ABIN7298375
50 μL ABIN7682050
100 μL ABIN7298374
200 μL ABIN2706119
Lieferung in 17 bis 20 Werktagen
Kurzübersicht für EPS8-Like 3 Antikörper (Center) (ABIN7298374)
Target
Alle EPS8-Like 3 (EPS8L3) Antikörper anzeigen
EPS8-Like 3 (EPS8L3)
Reaktivität
Alle Reaktivitäten für EPS8-Like 3 Antikörper
Human
Wirt
Alle Wirte für EPS8-Like 3 Antikörper
Kaninchen
Klonalität
Alle Klonalitäten für EPS8-Like 3 Antikörper
Polyklonal
Konjugat
Alle Konjugate für EPS8-Like 3 Antikörper
Dieser EPS8-Like 3 Antikörper ist unkonjugiert
Applikation
Alle Applikationen für EPS8-Like 3 Antikörper
Immunohistochemistry (IHC), Western Blotting (WB), Immunofluorescence (IF)
Produktdetails anti-EPS8-Like 3 Antikörper
(ausblenden)
Bindungsspezifität
Alle Epitope für EPS8-Like 3 Antikörper
Center
Verwendungszweck
Rabbit polyclonal antibody to EPS8L3
Spezifität
Recognizes endogenous levels of EPS8L3 protein.
Produktmerkmale
Rabbit polyclonal antibody to EPS8L3
Aufreinigung
The antibody was purified by immunogen affinity chromatography.
Immunogen
KLH-conjugated synthetic peptide encompassing a sequence within the center region of human EPS8L3. The exact sequence is proprietary.
Alternativen
(anzeigen)
Anwendungsinformationen
(ausblenden)
Applikationshinweise
WB (1/500 - 1/1000), IH (1/100 - 1/200), IF/IC (1/100 - 1/500)
Beschränkungen
Nur für Forschungszwecke einsetzbar
Handhabung
(ausblenden)
Format
Liquid
Buffer
Liquid in 0.42 % Potassium phosphate, 0.87 % Sodium chloride, pH 7.3, 30 % glycerol, and 0.01 % sodium azide.
Konservierungsmittel
Sodium azide
Vorsichtsmaßnahmen
This product contains Sodium azide: a POISONOUS AND HAZARDOUS SUBSTANCE which should be handled by trained staff only.
Lagerung
-20 °C
Informationen zur Lagerung
Shipped at 4°C. Upon delivery aliquot and store at -20°C for one year. Avoid freeze/thaw cycles.
Haltbarkeit
12 months
Details zu EPS8-Like 3
(ausblenden)
Target
EPS8-Like 3 (EPS8L3)
Andere Bezeichnung
EPS8L3
Hintergrund
EPS8R3, Epidermal growth factor receptor kinase substrate 8-like protein 3, EPS8-like protein 3, Epidermal growth factor receptor pathway substrate 8-related protein 3, EPS8-related protein 3
Gen-ID
79574
UniProt
Q8TE67
Zuletzt angesehen
(ausblenden)
Sie sind hier:
Startseite
anti-EPS8-Like 3 Antikörper (Center) (ABIN7298374)
Chat with us , powered by LiveChat