Telefon:
+49 (0)241 95 163 153
Fax:
+49 (0)241 95 163 155
E-Mail:
orders@antikoerper-online.de

DGKA Antikörper (Center)

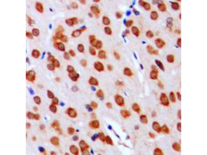
Der Kaninchen Polyklonal anti-DGKA Antikörper wird verwendet zum Nachweis von DGKA in Proben von Human und Affe. Er wurde validiert für WB, IHC und IF.
Produktnummer ABIN7295476
330,77 €
Zzgl. Versandkosten 20,00 € und MwSt
Lieferung nach: Deutschland
Lieferung in 17 bis 20 Werktagen

Kurzübersicht für DGKA Antikörper (Center) (ABIN7295476)

Target

Alle DGKA Antikörper anzeigen
DGKA (Diacylglycerol Kinase, alpha 80kDa (DGKA))

Reaktivität

  • 74
  • 22
  • 5
  • 4
  • 2
  • 2
  • 2
  • 2
  • 1
  • 1
  • 1
Human, Affe

Wirt

  • 61
  • 15
  • 1
Kaninchen

Klonalität

  • 51
  • 26
Polyklonal

Konjugat

  • 43
  • 3
  • 2
  • 2
  • 2
  • 2
  • 2
  • 2
  • 2
  • 2
  • 1
  • 1
  • 1
  • 1
  • 1
  • 1
  • 1
  • 1
  • 1
  • 1
  • 1
  • 1
  • 1
  • 1
  • 1
Dieser DGKA Antikörper ist unkonjugiert

Applikation

  • 69
  • 29
  • 16
  • 13
  • 13
  • 10
  • 10
  • 7
  • 4
  • 4
  • 3
  • 1
  • 1
Western Blotting (WB), Immunohistochemistry (IHC), Immunofluorescence (IF)
  • Bindungsspezifität

    • 15
    • 10
    • 8
    • 5
    • 3
    • 2
    • 1
    • 1
    • 1
    • 1
    • 1
    • 1
    • 1
    • 1
    • 1
    Center

    Verwendungszweck

    Rabbit polyclonal antibody to DGK alpha

    Spezifität

    Recognizes endogenous levels of DGK alpha protein.

    Produktmerkmale

    Rabbit polyclonal antibody to DGK alpha

    Aufreinigung

    The antibody was purified by immunogen affinity chromatography.

    Immunogen

    KLH-conjugated synthetic peptide encompassing a sequence within the center region of human DGK alpha. The exact sequence is proprietary.
  • Applikationshinweise

    WB (1/500 - 1/1000), IH (1/100 - 1/200), IF/IC (1/100 - 1/500)

    Beschränkungen

    Nur für Forschungszwecke einsetzbar
  • Format

    Liquid

    Buffer

    Liquid in 0.42 % Potassium phosphate, 0.87 % Sodium chloride, pH 7.3, 30 % glycerol, and 0.01 % sodium azide.

    Konservierungsmittel

    Sodium azide

    Vorsichtsmaßnahmen

    This product contains Sodium azide: a POISONOUS AND HAZARDOUS SUBSTANCE which should be handled by trained staff only.

    Lagerung

    -20 °C

    Informationen zur Lagerung

    Shipped at 4°C. Upon delivery aliquot and store at -20°C for one year. Avoid freeze/thaw cycles.

    Haltbarkeit

    12 months
  • Target

    DGKA (Diacylglycerol Kinase, alpha 80kDa (DGKA))

    Andere Bezeichnung

    DGK alpha

    Hintergrund

    DAGK, DAGK1, Diacylglycerol kinase alpha, DAG kinase alpha, 80 kDa diacylglycerol kinase, Diglyceride kinase alpha, DGK-alpha

    Gen-ID

    1606

    UniProt

    P23743
Sie sind hier:
Chat with us!