×
Aktivieren Sie Javascript in Ihrem Browser, um unsere Webseite optimal zu nutzen.
TGFB2 Antikörper (C-Term)
Dieser Kaninchen Polyklonal Antikörper detektiert spezifisch TGFB2 in WB und IHC. Es zeigt Reaktivität gegenüber Proben von Human, Maus, Ratte, Rind (Kuh), Huhn und Schwein.
Produktnummer ABIN7297126
330,77 €
Zzgl. Versandkosten 20,00 € und MwSt
30 μL ABIN7297127
50 μL ABIN7681445
100 μL ABIN7297126
200 μL ABIN2705289
30 μL ABIN7297127
50 μL ABIN7681445
100 μL ABIN7297126
200 μL ABIN2705289
Lieferung in 17 bis 20 Werktagen
Kurzübersicht für TGFB2 Antikörper (C-Term) (ABIN7297126)
Target
Alle TGFB2 Antikörper anzeigen
TGFB2
(Transforming Growth Factor, beta 2 (TGFB2))
Reaktivität
Alle Reaktivitäten für TGFB2 Antikörper
Human, Maus, Ratte, Rind (Kuh), Huhn, Schwein
Wirt
Alle Wirte für TGFB2 Antikörper
Kaninchen
Klonalität
Alle Klonalitäten für TGFB2 Antikörper
Polyklonal
Konjugat
Alle Konjugate für TGFB2 Antikörper
Dieser TGFB2 Antikörper ist unkonjugiert
Applikation
Alle Applikationen für TGFB2 Antikörper
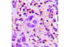
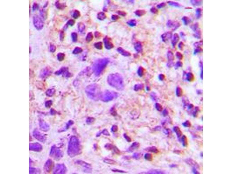
Western Blotting (WB), Immunohistochemistry (IHC)
Produktdetails anti-TGFB2 Antikörper
(ausblenden)
Bindungsspezifität
Alle Epitope für TGFB2 Antikörper
C-Term
Verwendungszweck
Rabbit polyclonal antibody to TGF beta 2
Spezifität
Recognizes endogenous levels of TGF beta 2 protein.
Produktmerkmale
Rabbit polyclonal antibody to TGF beta 2
Aufreinigung
The antibody was purified by immunogen affinity chromatography.
Immunogen
KLH-conjugated synthetic peptide encompassing a sequence within the C-term region of human TGF beta 2. The exact sequence is proprietary.
Alternativen
(anzeigen)
Anwendungsinformationen
(ausblenden)
Applikationshinweise
WB (1/500 - 1/1000), IH (1/100 - 1/200)
Beschränkungen
Nur für Forschungszwecke einsetzbar
Handhabung
(ausblenden)
Format
Liquid
Buffer
Liquid in 0.42 % Potassium phosphate, 0.87 % Sodium chloride, pH 7.3, 30 % glycerol, and 0.01 % sodium azide.
Konservierungsmittel
Sodium azide
Vorsichtsmaßnahmen
This product contains Sodium azide: a POISONOUS AND HAZARDOUS SUBSTANCE which should be handled by trained staff only.
Lagerung
-20 °C
Informationen zur Lagerung
Shipped at 4°C. Upon delivery aliquot and store at -20°C for one year. Avoid freeze/thaw cycles.
Haltbarkeit
12 months
Details zu TGFB2
(ausblenden)
Target
TGFB2
(Transforming Growth Factor, beta 2 (TGFB2))
Andere Bezeichnung
TGF beta 2
Hintergrund
Transforming growth factor beta-2, TGF-beta-2, BSC-1 cell growth inhibitor, Cetermin, Glioblastoma-derived T-cell suppressor factor, G-TSF, Polyergin
Gen-ID
7042, 21808, 81809
UniProt
P61812
Pathways
Cell-Cell Junction Organization , Production of Molecular Mediator of Immune Response , Protein targeting to Nucleus
Zuletzt angesehen
(ausblenden)
Sie sind hier:
Startseite
anti-TGFB2 Antikörper (C-Term) (ABIN7297126)
Chat with us , powered by LiveChat