×
Aktivieren Sie Javascript in Ihrem Browser, um unsere Webseite optimal zu nutzen.
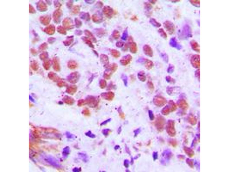
RFX3 Antikörper (C-Term)
Der Kaninchen Polyklonal anti-RFX3 Antikörper wird verwendet zum Nachweis von RFX3 in Proben von Human, Maus, Ratte und Affe. Er wurde validiert für WB und IHC.
Produktnummer ABIN7296832
330,77 €
Zzgl. Versandkosten 20,00 € und MwSt
30 μL ABIN7296833
50 μL ABIN7681298
100 μL ABIN7296832
200 μL ABIN2705185
30 μL ABIN7296833
50 μL ABIN7681298
100 μL ABIN7296832
200 μL ABIN2705185
Lieferung in 17 bis 20 Werktagen
Kurzübersicht für RFX3 Antikörper (C-Term) (ABIN7296832)
Target
Alle RFX3 Antikörper anzeigen
RFX3
(Regulatory Factor X 3 (RFX3))
Reaktivität
Alle Reaktivitäten für RFX3 Antikörper
Human, Maus, Ratte, Affe
Wirt
Alle Wirte für RFX3 Antikörper
Kaninchen
Klonalität
Alle Klonalitäten für RFX3 Antikörper
Polyklonal
Konjugat
Alle Konjugate für RFX3 Antikörper
Dieser RFX3 Antikörper ist unkonjugiert
Applikation
Alle Applikationen für RFX3 Antikörper
Western Blotting (WB), Immunohistochemistry (IHC)
Produktdetails anti-RFX3 Antikörper
(ausblenden)
Bindungsspezifität
Alle Epitope für RFX3 Antikörper
C-Term
Verwendungszweck
Rabbit polyclonal antibody to RFX3
Spezifität
Recognizes endogenous levels of RFX3 protein.
Produktmerkmale
Rabbit polyclonal antibody to RFX3
Aufreinigung
The antibody was purified by immunogen affinity chromatography.
Immunogen
KLH-conjugated synthetic peptide encompassing a sequence within the C-term region of human RFX3. The exact sequence is proprietary.
Alternativen
(anzeigen)
Anwendungsinformationen
(ausblenden)
Applikationshinweise
WB (1/500 - 1/1000), IH (1/100 - 1/200)
Beschränkungen
Nur für Forschungszwecke einsetzbar
Handhabung
(ausblenden)
Format
Liquid
Buffer
Liquid in 0.42 % Potassium phosphate, 0.87 % Sodium chloride, pH 7.3, 30 % glycerol, and 0.01 % sodium azide.
Konservierungsmittel
Sodium azide
Vorsichtsmaßnahmen
This product contains Sodium azide: a POISONOUS AND HAZARDOUS SUBSTANCE which should be handled by trained staff only.
Lagerung
-20 °C
Informationen zur Lagerung
Shipped at 4°C. Upon delivery aliquot and store at -20°C for one year. Avoid freeze/thaw cycles.
Haltbarkeit
12 months
Details zu RFX3
(ausblenden)
Target
RFX3
(Regulatory Factor X 3 (RFX3))
Andere Bezeichnung
RFX3
Hintergrund
Transcription factor RFX3, Regulatory factor X 3
Gen-ID
5991, 19726
UniProt
P48380
Zuletzt angesehen
(ausblenden)
Sie sind hier:
Startseite
anti-RFX3 Antikörper (C-Term) (ABIN7296832)
Chat with us , powered by LiveChat