×
Aktivieren Sie Javascript in Ihrem Browser, um unsere Webseite optimal zu nutzen.
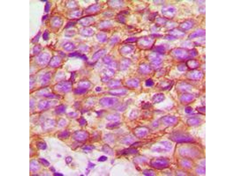
TMPRSS3 Antikörper (C-Term)
Der Kaninchen Polyklonal anti-TMPRSS3 Antikörper wird verwendet zum Nachweis von TMPRSS3 in Proben von Human, Maus und Ratte. Er wurde validiert für WB, IHC und IF.
Produktnummer ABIN7301374
330,77 €
Zzgl. Versandkosten 20,00 € und MwSt
30 μL ABIN7301375
50 μL ABIN7683862
100 μL ABIN7301374
200 μL ABIN2704744
30 μL ABIN7301375
50 μL ABIN7683862
100 μL ABIN7301374
200 μL ABIN2704744
Lieferung in 17 bis 20 Werktagen
Kurzübersicht für TMPRSS3 Antikörper (C-Term) (ABIN7301374)
Target
Alle TMPRSS3 Antikörper anzeigen
TMPRSS3
(Transmembrane Protease, Serine 3 (TMPRSS3))
Reaktivität
Alle Reaktivitäten für TMPRSS3 Antikörper
Human, Maus, Ratte
Wirt
Alle Wirte für TMPRSS3 Antikörper
Kaninchen
Klonalität
Alle Klonalitäten für TMPRSS3 Antikörper
Polyklonal
Konjugat
Alle Konjugate für TMPRSS3 Antikörper
Dieser TMPRSS3 Antikörper ist unkonjugiert
Applikation
Alle Applikationen für TMPRSS3 Antikörper
Western Blotting (WB), Immunohistochemistry (IHC), Immunofluorescence (IF)
Produktdetails anti-TMPRSS3 Antikörper
(ausblenden)
Bindungsspezifität
Alle Epitope für TMPRSS3 Antikörper
C-Term
Verwendungszweck
Rabbit polyclonal antibody to ECHOS1
Spezifität
Recognizes endogenous levels of ECHOS1 protein.
Produktmerkmale
Rabbit polyclonal antibody to ECHOS1
Aufreinigung
The antibody was purified by immunogen affinity chromatography.
Immunogen
KLH-conjugated synthetic peptide encompassing a sequence within the C-term region of human ECHOS1. The exact sequence is proprietary.
Alternativen
(anzeigen)
Anwendungsinformationen
(ausblenden)
Applikationshinweise
WB (1/500 - 1/1000), IH (1/100 - 1/200), IF/IC (1/100 - 1/500)
Beschränkungen
Nur für Forschungszwecke einsetzbar
Handhabung
(ausblenden)
Format
Liquid
Buffer
Liquid in 0.42 % Potassium phosphate, 0.87 % Sodium chloride, pH 7.3, 30 % glycerol, and 0.01 % sodium azide.
Konservierungsmittel
Sodium azide
Vorsichtsmaßnahmen
This product contains Sodium azide: a POISONOUS AND HAZARDOUS SUBSTANCE which should be handled by trained staff only.
Lagerung
-20 °C
Informationen zur Lagerung
Shipped at 4°C. Upon delivery aliquot and store at -20°C for one year. Avoid freeze/thaw cycles.
Haltbarkeit
12 months
Details zu TMPRSS3
(ausblenden)
Target
TMPRSS3
(Transmembrane Protease, Serine 3 (TMPRSS3))
Andere Bezeichnung
ECHOS1
Hintergrund
ECHOS1, TADG12, Transmembrane protease serine 3, Serine protease TADG-12, Tumor-associated differentially-expressed gene 12 protein
Gen-ID
64699, 140765
UniProt
P57727
Pathways
Sensory Perception of Sound
Zuletzt angesehen
(ausblenden)
Sie sind hier:
Startseite
anti-TMPRSS3 Antikörper (C-Term) (ABIN7301374)
Chat with us , powered by LiveChat