×
Aktivieren Sie Javascript in Ihrem Browser, um unsere Webseite optimal zu nutzen.
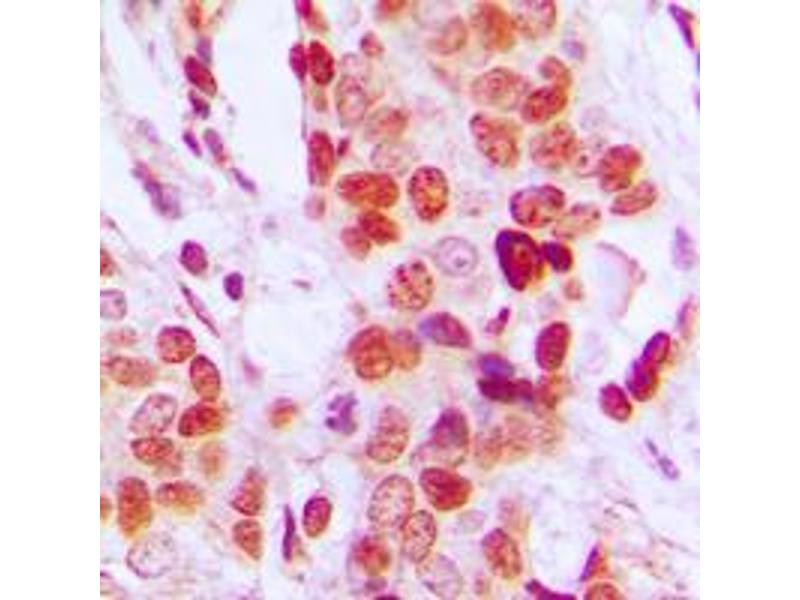
DDX52 Antikörper (C-Term)
Der Kaninchen Polyklonal anti-DDX52 Antikörper wird verwendet zum Nachweis von DDX52 in Proben von Human, Ratte und Maus. Er wurde validiert für WB und IHC.
Produktnummer ABIN7301592
330,77 €
Zzgl. Versandkosten 20,00 € und MwSt
30 μL ABIN7301593
50 μL ABIN7684079
100 μL ABIN7301592
200 μL ABIN2704717
30 μL ABIN7301593
50 μL ABIN7684079
100 μL ABIN7301592
200 μL ABIN2704717
Lieferung in 17 bis 20 Werktagen
Kurzübersicht für DDX52 Antikörper (C-Term) (ABIN7301592)
Target
Alle DDX52 Antikörper anzeigen
DDX52
(DEAD (Asp-Glu-Ala-Asp) Box Polypeptide 52 (DDX52))
Reaktivität
Alle Reaktivitäten für DDX52 Antikörper
Human, Ratte, Maus
Wirt
Alle Wirte für DDX52 Antikörper
Kaninchen
Klonalität
Alle Klonalitäten für DDX52 Antikörper
Polyklonal
Konjugat
Alle Konjugate für DDX52 Antikörper
Dieser DDX52 Antikörper ist unkonjugiert
Applikation
Alle Applikationen für DDX52 Antikörper
Western Blotting (WB), Immunohistochemistry (IHC)
Produktdetails anti-DDX52 Antikörper
(ausblenden)
Bindungsspezifität
Alle Epitope für DDX52 Antikörper
C-Term
Verwendungszweck
Rabbit polyclonal antibody to DDX52
Spezifität
Recognizes endogenous levels of DDX52 protein.
Produktmerkmale
Rabbit polyclonal antibody to DDX52
Aufreinigung
The antibody was purified by immunogen affinity chromatography.
Immunogen
KLH-conjugated synthetic peptide encompassing a sequence within the C-term region of human DDX52. The exact sequence is proprietary.
Alternativen
(anzeigen)
Anwendungsinformationen
(ausblenden)
Applikationshinweise
WB (1/500 - 1/1000), IH (1/100 - 1/200)
Beschränkungen
Nur für Forschungszwecke einsetzbar
Handhabung
(ausblenden)
Format
Liquid
Buffer
Liquid in 0.42 % Potassium phosphate, 0.87 % Sodium chloride, pH 7.3, 30 % glycerol, and 0.01 % sodium azide.
Konservierungsmittel
Sodium azide
Vorsichtsmaßnahmen
This product contains Sodium azide: a POISONOUS AND HAZARDOUS SUBSTANCE which should be handled by trained staff only.
Lagerung
-20 °C
Informationen zur Lagerung
Shipped at 4°C. Upon delivery aliquot and store at -20°C for one year. Avoid freeze/thaw cycles.
Haltbarkeit
12 months
Details zu DDX52
(ausblenden)
Target
DDX52
(DEAD (Asp-Glu-Ala-Asp) Box Polypeptide 52 (DDX52))
Andere Bezeichnung
DDX52
Hintergrund
ROK1, Probable ATP-dependent RNA helicase DDX52, ATP-dependent RNA helicase ROK1-like, DEAD box protein 52
Gen-ID
11056
UniProt
Q9Y2R4
Zuletzt angesehen
(ausblenden)
Sie sind hier:
Startseite
anti-DDX52 Antikörper (C-Term) (ABIN7301592)
Chat with us , powered by LiveChat