KCNV1 Antikörper (AA 251-350)
Kurzübersicht für KCNV1 Antikörper (AA 251-350) (ABIN2690196)
Target
Alle KCNV1 Antikörper anzeigenReaktivität
Wirt
Klonalität
Konjugat
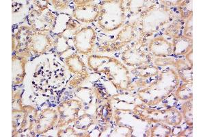
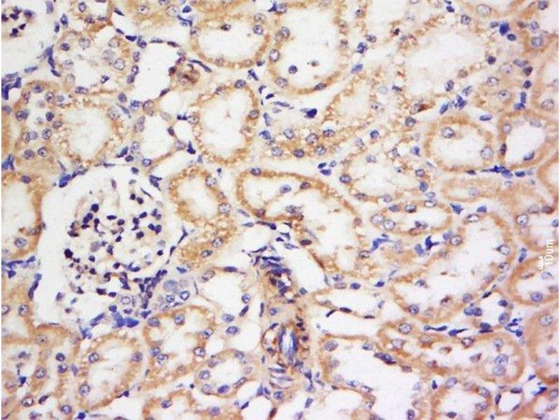
Applikation
-
-
Bindungsspezifität
- AA 251-350
-
Kreuzreaktivität
- Ratte
-
Homologie
- Human,Mouse,Dog,Cow,Sheep,Pig,Horse,Rabbit
-
Aufreinigung
- Purified by Protein A.
-
Immunogen
- KLH conjugated synthetic peptide derived from human TSHR
-
Isotyp
- IgG
-
-
-
-
Applikationshinweise
-
WB 1:300-5000
ELISA 1:500-1000
IHC-P 1:200-400
IHC-F 1:100-500
IF(IHC-P) 1:50-200
IF(IHC-F) 1:50-200
IF(ICC) 1:50-200
ICC 1:100-500 -
Beschränkungen
- Nur für Forschungszwecke einsetzbar
-
-
-
Format
- Liquid
-
Konzentration
- 1 μg/μL
-
Buffer
- 0.01M TBS( pH 7.4) with 1 % BSA, 0.02 % Proclin300 and 50 % Glycerol.
-
Konservierungsmittel
- ProClin
-
Vorsichtsmaßnahmen
- This product contains ProClin: a POISONOUS AND HAZARDOUS SUBSTANCE, which should be handled by trained staff only.
-
Lagerung
- 4 °C,-20 °C
-
Informationen zur Lagerung
- Shipped at 4°C. Store at -20°C for one year. Avoid repeated freeze/thaw cycles.
-
Haltbarkeit
- 12 months
-
-
- KCNV1 (Potassium Channel, Subfamily V, Member 1 (KCNV1))
-
Andere Bezeichnung
- KCNV1
-
Hintergrund
-
Synonyms: HNKA, KCNB3, KV2.3, KV8.1, Potassium voltage-gated channel subfamily V member 1, Neuronal potassium channel alpha subunit HNKA, Voltage-gated potassium channel subunit Kv8.1, KCNV1
Background: Potassium channel subunit that does not form functional channels by itself. Modulates KCNB1 and KCNB2 channel activity by shifting the threshold for inactivation to more negative values and by slowing the rate of inactivation. Can down-regulate the channel activity of KCNB1, KCNB2, KCNC4 and KCND1, possibly by trapping them in intracellular membranes.
-
Gen-ID
- 27012
-
UniProt
- Q6PIU1
Target
-