Telefon:
+49 (0)241 95 163 153
Fax:
+49 (0)241 95 163 155
E-Mail:
orders@antikoerper-online.de

IdU Antikörper

Der Maus Monoklonal anti-IdU Antikörper wird verwendet zum Nachweis von IdU in Proben von Chemical. Er wurde validiert für IHC und IF. Der Antikörper wurde zudem unabhängig validiert.
Produktnummer ABIN2669973
627,08 €
Zzgl. Versandkosten 20,00 € und MwSt
100 μL
Lieferung nach: Deutschland
Lieferung in 6 bis 8 Werktagen

Kurzübersicht für IdU Antikörper (ABIN2669973)

Target

IdU (Iododeoxyuridine (IdU))

Reaktivität

  • 6
  • 5
Chemical

Wirt

  • 8
  • 3
Maus

Klonalität

  • 11
Monoklonal

Konjugat

  • 11
Dieser IdU Antikörper ist unkonjugiert

Applikation

  • 7
  • 5
  • 4
  • 3
  • 3
  • 1
  • 1
  • 1
Immunohistochemistry (IHC), Immunofluorescence (IF)

Klon

OTI2B10
  • Aufreinigung

    Purified from mouse ascites fluids by affinity chromatography

    Immunogen

    Iododeoxyuridine coupled to keyhole limpet hemocyanin.

    Isotyp

    IgG2b
  • Applikationshinweise

    IHC 1:150, IF 1:150,

    Beschränkungen

    Nur für Forschungszwecke einsetzbar
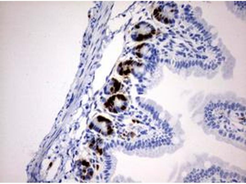
  • Validierung #103750 (Immunohistochemistry)
    'Independent Validation' Siegel
    by
    Prof. Merighi, Laboratory of Neurobiology, Department of Veterinary Sciences, University of Turin
    No.
    #103750
    Datum
    19.04.2019
    Antigen
    IdU
    Chargennummer
    W001
    Validierte Anwendung
    Immunohistochemistry
    Positivkontrolle

    Adult (24 months) mouse brain and intestine (duodenum)

    Negativkontrolle

    We incubated slices overnight with the blocking solution only and then processed them with the secondary antibody.

    Bewertung

    Passed. ABIN2669973 works in IHC-P with a microwave antigen retrieval pretreatment and concentration of 1:50.

    'Independent Validation' Siegel
    Validierungsbilder
    Protokoll
    Primärantikörper
    ABIN2669973
    Sekundärantikörper
    goat anti-mouse AF594-conjugated (Invitrogen by Thermo Fisher Scientific, A11032, lot 819561)
    Full Protocol
    • Inject mouse intraperitoneally at the dose of 0.057mg/g body weight with IdU (Sigma, I7125) dissolved in sterile distilled water at final concentration of 100mg/ml, pH7.5.
    • Perfuse mouse with 4% paraformaldehyde in 0.1M phosphate buffer (PB) pH7.4 and post-fix samples in the same fixative for an additional 2h at RT.
    • Wash, dehydrate, and embed samples in paraffin wax.
    • Following several washes in PBS, cut intestines and brain with a microtome (6µm-thick sections) and mount sections on glass slides.
    • After paraffin removal, process sections by microwave antigen retrieval for 10min (95-100°C) in 10mM sodium citrate buffer pH6.0.
    • Let sections cool for 20min.
    • Wash sections 2x 5min with distilled water.
    • Wash sections 5min with PBS.
    • Incubate sections in PBS containing 1% albumin from chicken egg white (Sigma, A5378) and 0.3% Triton-X-100 (BioRad, 161-0407, lot 00583) for 1h at RT to block non-specific binding sites.
    • Incubate sections with primary antibody mouse anti-IdU (antibodies-online, ABIN2669973, lot W001) diluted 1:50 in PBS-BSA-PLL ON at 4°C.
    • Wash sections 3x 5min with 0.01M PBS.
    • Incubate sections with secondary goat anti-mouse AF594-conjugated (Invitrogen by Thermo Fisher Scientific, A11032, lot 819561) diluted 1:500 in 0.1M PBS for 1h at RT.
    • Wash sections 3x 5min with 0.01M PBS.
    • Mount sections in Fluoroshield (Sigma, F6182, lot MKCB0153V).
    • Acquire images with Leica DM 6000B fluorescence microscope equipped with the manufacturer’s FITC filter set and digital camera at magnifications of 20x and 40x. Parameters for image acquisition (Exposure 2.2s, Gain 2.3x, Saturation 1.5, Gamma 1.10) were maintained unchanged for all images.
    Anmerkungen

    For the incubation with the primary antibody ABIN2669973 and 1:20, 1:70, and 1:100 dilutions were also tested with 0.01M PBS, 5% Normal Goat Serum (NGS Sigma, G9023, lot SLBV1396) and 0.1% Triton-X -100 as the blocking solution, but 1:50 and PBS containing 1% albumin from chicken egg white and 0.3% Triton-X gave the best results.

  • Format

    Liquid

    Konzentration

    4.54 mg/mL
  • Target

    IdU (Iododeoxyuridine (IdU))

    Andere Bezeichnung

    IdU
Sie sind hier:
Chat with us!