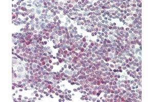
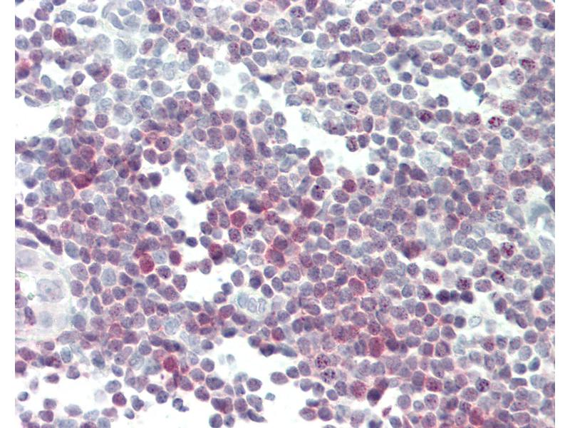
GIMAP4 Antikörper
Kurzübersicht für GIMAP4 Antikörper (ABIN2621320)
Target
Alle GIMAP4 Antikörper anzeigenReaktivität
Wirt
Klonalität
Konjugat
Applikation
Klon
-
-
Spezifität
- Human GIMAP4
-
Aufreinigung
- Protein A/G purified
-
Immunogen
-
Full length human recombinant protein of human GIMAP4(NP_060796) produced in HEK293T cell.
Type of Immunogen: Recombinant protein -
Isotyp
- IgG2a
-
-
-
-
Applikationshinweise
- Approved: Flo (1:100), IF (1:100), IHC, IHC-P (10 μg/mL), WB (1:2000)
-
Kommentare
-
Target Species of Antibody: Human
-
Beschränkungen
- Nur für Forschungszwecke einsetzbar
-
-
-
Format
- Liquid
-
Konzentration
- Lot specific
-
Buffer
- PBS, pH 7.3, 1 % BSA, 50 % glycerol, 0.02 % sodium azide
-
Konservierungsmittel
- Sodium azide
-
Vorsichtsmaßnahmen
- This product contains Sodium azide: a POISONOUS AND HAZARDOUS SUBSTANCE which should be handled by trained staff only.
-
Handhabung
- Minimize freezing and thawing.
-
Lagerung
- -20 °C
-
Informationen zur Lagerung
- Store at -20°C. Avoid freeze-thaw cycles.
-
-
- GIMAP4 (GTPase, IMAP Family Member 4 (GIMAP4))
-
Andere Bezeichnung
- GIMAP4
-
Hintergrund
-
Name/Gene ID: GIMAP4
Synonyms: GIMAP4, GTPase IMAP family member 4, GTPase, IMAP family member 4, HIMAP4, IAN-1, IAN1, Immunity associated protein 4, Immunity-associated protein 4, MSTP062, HIAN1, IMAP4 -
Gen-ID
- 55303
-
NCBI Accession
- NP_060796
Target
-