Telefon:
+49 (0)241 95 163 153
Fax:
+49 (0)241 95 163 155
E-Mail:
orders@antikoerper-online.de

SRRT Antikörper (C-Term)

Dieser Ziege Polyklonal Antikörper detektiert spezifisch SRRT in WB, ELISA und IHC. Es zeigt Reaktivität gegenüber Proben von Human, Maus und Ratte.
Produktnummer ABIN2613482
488,25 €
Zzgl. Versandkosten 20,00 € und MwSt
100 μg
Lieferung nach: Deutschland
Lieferung in 5 bis 8 Werktagen

Kurzübersicht für SRRT Antikörper (C-Term) (ABIN2613482)

Target

Alle SRRT Antikörper anzeigen
SRRT (Serrate RNA Effector Molecule Homolog (SRRT))

Reaktivität

  • 21
  • 8
  • 5
  • 2
Human, Maus, Ratte

Wirt

  • 21
  • 2
Ziege

Klonalität

  • 23
Polyklonal

Konjugat

  • 18
  • 1
  • 1
  • 1
  • 1
  • 1
Dieser SRRT Antikörper ist unkonjugiert

Applikation

  • 20
  • 12
  • 3
  • 3
  • 3
  • 1
  • 1
  • 1
  • 1
  • 1
  • 1
  • 1
Western Blotting (WB), ELISA, Immunohistochemistry (IHC)

Güteklasse

Verified
  • Bindungsspezifität

    • 8
    • 2
    • 2
    • 2
    • 1
    • 1
    • 1
    • 1
    • 1
    • 1
    • 1
    • 1
    • 1
    C-Term

    Verwendungszweck

    SRRT / ARS2

    Sequenz

    DPRAIVEYRD LDAPD

    Spezifität

    This antibody is expected to recognize all reported isoform (NP_056992.4, NP_001122324.1, NP_001122325.1, NP_001122326.1).

    Kreuzreaktivität

    Rind (Kuh), Hund, Human, Maus, Schwein, Ratte

    Aufreinigung

    Purified from goat serum by ammonium sulphate precipitation followed by antigen affinity chromatography using the immunizing peptide.

    Isotyp

    IgG
  • Applikationshinweise

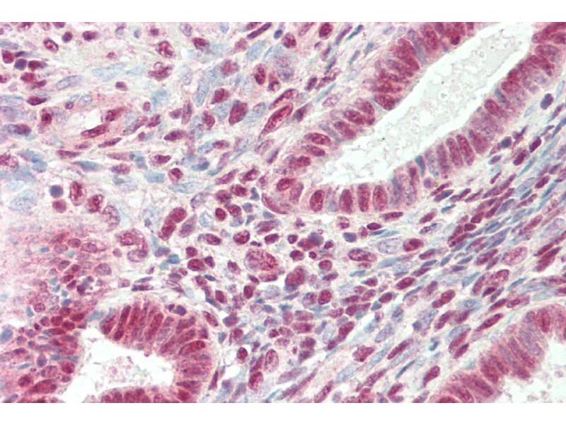
    Immunohistochemistry: Paraffin embedded Human Uterus. Recommended concentration: 5 μg/mL.

    Western Blot: Approx 140 kDa band observed in lysates of cell line Daudi and of Mouse Spleen, and approx 150 kDa band observed in lysates of Rat Testis (calculated MW of 101 kDa according to Human NP_056992.4, 100 kDa according to Mouse NP_113582.1 and 88.4

    Peptide ELISA: antibody detection limit dilution 1:128000.

    Beschränkungen

    Nur für Forschungszwecke einsetzbar
  • Format

    Liquid

    Konzentration

    0.5 mg/mL

    Buffer

    Supplied at 0.5 mg/mL in Tris saline, 0.02 % sodium azide, pH 7.3 with 0.5 % bovine serum albumin.

    Konservierungsmittel

    Sodium azide

    Vorsichtsmaßnahmen

    This product contains Sodium azide: a POISONOUS AND HAZARDOUS SUBSTANCE which should be handled by trained staff only.

    Handhabung

    Minimize freezing and thawing.

    Lagerung

    -20 °C

    Informationen zur Lagerung

    Aliquot and store at -20°C, with minimal freeze/thawing. A working aliquot may be refrigerated at 4°C for a few weeks and still remain viable.
  • Target

    SRRT (Serrate RNA Effector Molecule Homolog (SRRT))

    Andere Bezeichnung

    SRRT

    Hintergrund

    SRRT, serrate RNA effector molecule homolog (Arabidopsis), ARS2, ASR2, serrate, arsenate resistance protein 2, arsenate resistance protein ARS2, arsenite resistance protein, arsenite-resistance protein 2, serrate RNA effector molecule homolog

    Gen-ID

    51593, 83701, 686980

    NCBI Accession

    NP_056992, NP_001122324, NP_001122325, NP_001122326

    Pathways

    Notch Signalweg, Stem Cell Maintenance
Sie sind hier:
Chat with us!