HSBP1 Antikörper
Kurzübersicht für HSBP1 Antikörper (ABIN2606906)
Target
Alle HSBP1 Antikörper anzeigenReaktivität
Wirt
Klonalität
Konjugat
Applikation
-
-
Spezifität
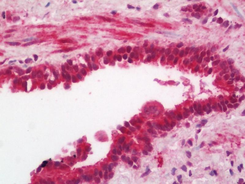
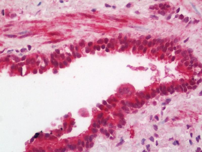
- Human HSBP1
-
Aufreinigung
- Caprylic acid and ammonium sulfate precipitation
-
Immunogen
-
Recombinant human Heat shock factor-binding protein 1 protein.
Type of Immunogen: Recombinant protein -
Isotyp
- IgG
-
-
-
-
Applikationshinweise
- Approved: ELISA, IHC, IHC-P (10 μg/mL), WB
-
Kommentare
-
Target Species of Antibody: Human
-
Beschränkungen
- Nur für Forschungszwecke einsetzbar
-
-
-
Format
- Liquid
-
Konzentration
- Lot specific
-
Buffer
- PBS, pH 7.4, 0.03 % Proclin 300, 50 % glycerol.
-
Konservierungsmittel
- ProClin
-
Vorsichtsmaßnahmen
- This product contains ProClin: a POISONOUS AND HAZARDOUS SUBSTANCE which should be handled by trained staff only.
-
Handhabung
- Avoid repeat freeze-thaw cycles.
-
Lagerung
- 4 °C,-20 °C
-
Informationen zur Lagerung
- Short term: 4°C. Long term: Store at -20°C. Avoid freeze-thaw cycles.
-
-
- HSBP1 (Heat Shock Factor Binding Protein 1 (HSBP1))
-
Andere Bezeichnung
- HSBP1
-
Hintergrund
-
Name/Gene ID: HSBP1
Synonyms: HSBP1, nasopharyngeal carcinoma-associated antigen 13 -
Gen-ID
- 3281
-
Pathways
- SARS-CoV-2 Protein Interaktom
Target
-