MTIF2 Antikörper (AA 138-167)
Kurzübersicht für MTIF2 Antikörper (AA 138-167) (ABIN2584981)
Target
Alle MTIF2 Antikörper anzeigenReaktivität
Wirt
Klonalität
Konjugat
Applikation
-
-
Bindungsspezifität
- AA 138-167
-
Spezifität
- This MTIF2 antibody is generated from rabbits immunized with a KLH conjugated synthetic peptide between 138-167 amino acids from the N-terminal region of human MTIF2.
-
Aufreinigung
- Protein A purified
-
-
-
-
Applikationshinweise
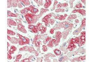
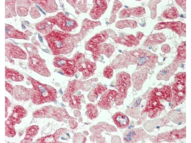
- Approved: IHC, IHC-P (1:100), WB (1:1000)
-
Kommentare
-
Target Species of Antibody: Human
-
Beschränkungen
- Nur für Forschungszwecke einsetzbar
-
-
-
Format
- Liquid
-
Konzentration
- Lot specific
-
Buffer
- PBS, 0.09 % sodium azide
-
Konservierungsmittel
- Sodium azide
-
Vorsichtsmaßnahmen
- This product contains Sodium azide: a POISONOUS AND HAZARDOUS SUBSTANCE which should be handled by trained staff only.
-
Lagerung
- 4 °C,-20 °C
-
Informationen zur Lagerung
- Maintain refrigerated at 2-8°C for up to 6 months. For long term storage store at -20°C.
-
Haltbarkeit
- 6 months
-
-
- MTIF2 (Mitochondrial Translational Initiation Factor 2 (MTIF2))
-
Andere Bezeichnung
- MTIF2
-
Hintergrund
-
Name/Gene ID: MTIF2
Synonyms: MTIF2, IF-2(Mt), IF-2mt, IF2(mt) -
Gen-ID
- 4528
-
Pathways
- Ribonucleoprotein Complex Subunit Organization
Target
-