MRPL19 Antikörper (FITC)
Kurzübersicht für MRPL19 Antikörper (FITC) (ABIN2584561)
Target
Alle MRPL19 Antikörper anzeigenReaktivität
Wirt
Klonalität
Konjugat
Applikation
-
-
Spezifität
- Human MRPL19
-
Aufreinigung
- Caprylic acid and ammonium sulfate precipitation
-
Immunogen
-
Recombinant human 39S ribosomal protein L19, mitochondrial protein.
Type of Immunogen: Recombinant protein -
Isotyp
- IgG
-
-
-
-
Applikationshinweise
-
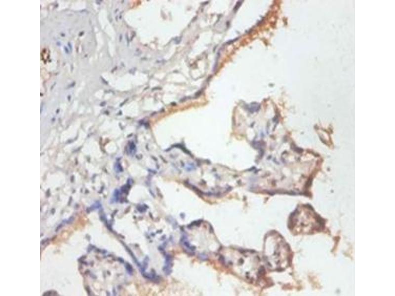
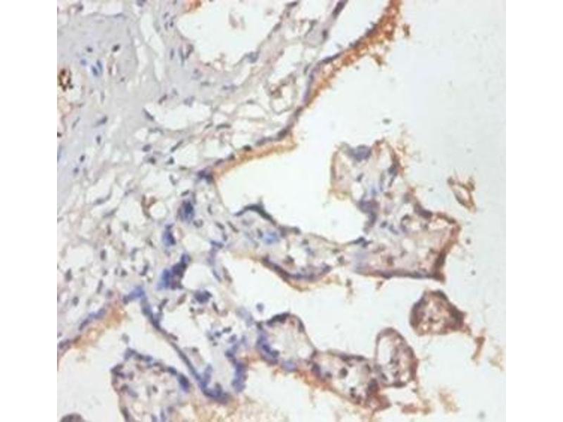
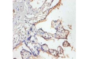
Approved: ELISA, IHC, IHC-P, WB
Usage: The applications listed have been tested for the unconjugated form of this product. Other forms have not been tested. -
Kommentare
-
Target Species of Antibody: Human
-
Beschränkungen
- Nur für Forschungszwecke einsetzbar
-
-
-
Format
- Liquid
-
Konzentration
- Lot specific
-
Buffer
- PBS, pH 7.4, 0.03 % Proclin 300, 50 % glycerol.
-
Konservierungsmittel
- ProClin
-
Vorsichtsmaßnahmen
- This product contains ProClin: a POISONOUS AND HAZARDOUS SUBSTANCE which should be handled by trained staff only.
-
Handhabung
- Avoid freeze-thaw cycles.
-
Lagerung
- -20 °C,-80 °C
-
Informationen zur Lagerung
- Aliquot and store at -20°C or -80°C. Avoid freeze-thaw cycles.
-
-
- MRPL19 (Mitochondrial Ribosomal Protein L19 (MRPL19))
-
Andere Bezeichnung
- MRPL19
-
Hintergrund
-
Name/Gene ID: MRPL19
Synonyms: MRPL19, L19mt, L15mt, MRP-L15, MRP-L19, KIAA0104, RLX1, RPML15 -
Gen-ID
- 9801
Target
-