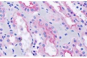
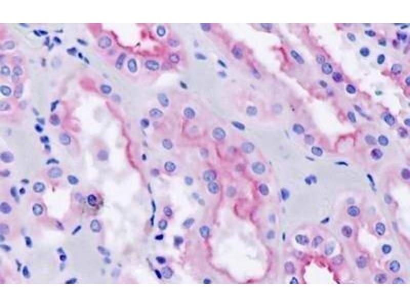
RAB4B Antikörper (AA 29-58)
Kurzübersicht für RAB4B Antikörper (AA 29-58) (ABIN2578025)
Target
Alle RAB4B Antikörper anzeigenReaktivität
Wirt
Klonalität
Konjugat
Applikation
-
-
Bindungsspezifität
- AA 29-58
-
Spezifität
- This RAB4B antibody is generated from rabbits immunized with a KLH conjugated synthetic peptide between 29-58 amino acids from the N-terminal region of human RAB4B.
-
Aufreinigung
- Protein A purified
-
-
-
-
Applikationshinweise
- Approved: IHC, IHC-P (5 μg/mL), WB (1:1000)
-
Kommentare
-
Target Species of Antibody: Human
-
Beschränkungen
- Nur für Forschungszwecke einsetzbar
-
-
-
Format
- Liquid
-
Konzentration
- Lot specific
-
Buffer
- PBS with 0.09 % (w/v) sodium azide
-
Konservierungsmittel
- Sodium azide
-
Vorsichtsmaßnahmen
- This product contains Sodium azide: a POISONOUS AND HAZARDOUS SUBSTANCE which should be handled by trained staff only.
-
Lagerung
- 4 °C,-20 °C
-
Informationen zur Lagerung
- Maintain refrigerated at 2-8°C for up to 6 months. For long term storage store at -20°C.
-
Haltbarkeit
- 6 months
-
-
- RAB4B (RAB4B, Member RAS Oncogene Family (RAB4B))
-
Andere Bezeichnung
- RAB4B
-
Hintergrund
-
Name/Gene ID: RAB4B
Subfamily: RAS oncogene
Family: Ras GTPase superfamily IPR001806
Synonyms: RAB4B, Ras-related protein Rab-4B -
Gen-ID
- 53916
-
UniProt
- P61018
Target
-