HCN4 Antikörper (AA 1019-1198) (PE)
Kurzübersicht für HCN4 Antikörper (AA 1019-1198) (PE) (ABIN2482541)
Target
Alle HCN4 Antikörper anzeigenReaktivität
Wirt
Klonalität
Konjugat
Applikation
Klon
-
-
Bindungsspezifität
- AA 1019-1198
-
Spezifität
- Detects ~130 kDa. No cross-reactivity against other HCNs.
-
Kreuzreaktivität
- Human, Maus, Kaninchen, Ratte
-
Aufreinigung
- Protein G Purified
-
Immunogen
- Fusion protein amino acids 1019-1198 (c-terminus) of rat HCN4
-
Isotyp
- IgG1
-
-
-
-
Applikationshinweise
-
- WB (1:1000)
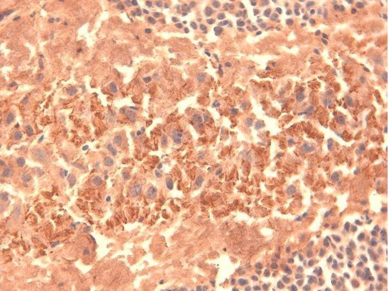
- IHC (1:1000)
- ICC/IF (1:100)
- optimal dilutions for assays should be determined by the user.
-
Kommentare
-
1 μg/ml of ABIN2482541 was sufficient for detection of HCN4 in 10 μg of COS cell lysate transiently transfected with HCN4 by colorimetric immunoblot analysis using Goat anti-mouse IgG:HRP as the secondary antibody.
-
Beschränkungen
- Nur für Forschungszwecke einsetzbar
-
-
-
Format
- Liquid
-
Konzentration
- 1 mg/mL
-
Buffer
- PBS pH 7.4, 50 % glycerol, 0.09 % sodium azide, Storage buffer may change when conjugated
-
Konservierungsmittel
- Sodium azide
-
Vorsichtsmaßnahmen
- This product contains Sodium azide: a POISONOUS AND HAZARDOUS SUBSTANCE which should be handled by trained staff only.
-
Lagerung
- 4 °C
-
Informationen zur Lagerung
- Conjugated antibodies should be stored at 4°C
-
-
- HCN4 (Hyperpolarization Activated Cyclic Nucleotide-Gated Potassium Channel 4 (HCN4))
-
Andere Bezeichnung
- HCN4
-
Hintergrund
- Hyperpolarization-activated cation channels of the HCN gene family contribute to spontaneous rhythmic activity in both the heart and brain (1).
-
Gen-ID
- 59266
-
NCBI Accession
- NP_067690
-
UniProt
- Q9JKA7
Target
-