Telefon:
+49 (0)241 95 163 153
Fax:
+49 (0)241 95 163 155
E-Mail:
orders@antikoerper-online.de

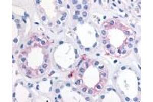
EPHX2 Antikörper (Internal Region)

Dieser Kaninchen Polyklonal Antikörper detektiert spezifisch EPHX2 in IHC. Es zeigt Reaktivität gegenüber Proben von Human und Gorilla.
Produktnummer ABIN2469511
800,25 €
Zzgl. Versandkosten 20,00 € und MwSt
50 μg
Lieferung nach: Deutschland
Lieferung in 6 bis 9 Werktagen

Kurzübersicht für EPHX2 Antikörper (Internal Region) (ABIN2469511)

Target

Alle EPHX2 Antikörper anzeigen
EPHX2 (Epoxide Hydrolase 2, Cytoplasmic (EPHX2))

Reaktivität

  • 32
  • 5
  • 4
  • 2
  • 1
  • 1
  • 1
Human, Gorilla

Wirt

  • 24
  • 6
  • 2
  • 1
Kaninchen

Klonalität

  • 24
  • 9
Polyklonal

Konjugat

  • 29
  • 2
  • 1
  • 1
Dieser EPHX2 Antikörper ist unkonjugiert

Applikation

  • 20
  • 14
  • 11
  • 5
  • 3
  • 2
  • 2
  • 2
  • 1
  • 1
  • 1
Immunohistochemistry (IHC)
  • Bindungsspezifität

    • 8
    • 4
    • 2
    • 1
    • 1
    • 1
    • 1
    • 1
    • 1
    • 1
    Internal Region

    Spezifität

    BLAST analysis of the peptide immunogen showed no homology with other human proteins, except RHOBTB2 (44 % ), RHOBTB1 (44 %).

    Aufreinigung

    Immunoaffinity Chromatography

    Immunogen

    EPHX2 antibody was raised against a peptide located near the internal domain of EPHX2 (Human).
  • Applikationshinweise

    EPHX2 antibody can be used in ELISA, Western Blot, immunohistochemistry starting at 5 μg/mL, and immunoprecipitation

    Beschränkungen

    Nur für Forschungszwecke einsetzbar
  • Format

    Liquid

    Buffer

    PBS, 0.1 % sodium azide.

    Konservierungsmittel

    Sodium azide

    Vorsichtsmaßnahmen

    This product contains Sodium azide: a POISONOUS AND HAZARDOUS SUBSTANCE which should be handled by trained staff only.

    Handhabung

    As with all antibodies avoid freeze/thaw cycles.

    Lagerung

    4 °C/-80 °C

    Informationen zur Lagerung

    EPHX2 antibody should be stored long term (months) at -80 °C and short term (days) at 4 °C.
  • Target

    EPHX2 (Epoxide Hydrolase 2, Cytoplasmic (EPHX2))

    Andere Bezeichnung

    EPHX2

    Hintergrund

    Soluble Epoxide Hydrolase (sEH) also known as cytosolic Epoxide Hydrolase is a phase I xenobiotic-metabolizing enzyme that converts epoxyeicosatrienoic acids (EETs) into their corresponding dihydroxyeicosatrienoic acids (DHETs). EETs are thought to be involved in vascular tone, ion channel regulation, mitogenesis and cell signaling. DHETs have, in general, less biological activity then EETs and are more readily excreted, thus hydration of EETs by sEH maybe a means of attenuating or eliminating their activity.sEHs have been identified in many tissues including liver, kidney, adrenal, pancreatic islets, gi tract and vascular smooth muscle.

    Gen-ID

    2053

    UniProt

    P34913
Sie sind hier:
Chat with us!