Der Ziege Polyklonal anti-RHPN2 Antikörper (ABIN2466201) detektiert spezifisch RHPN2 in ELISA und IHC.
Dieser Antikörper reagiert spezifisch mit Proben aus Human.
Rhophilin 2 antibody was purified from goat serum by ammonium sulphate precipitation followed by antigen affinity chromatography using the immunizing peptide.
Immunogen
Rhophilin 2 antibody was raised against an 11 amino acid synthetic peptide near the internal region of Rhophilin 2.
RHPN2
Reaktivität: Human
WB, ELISA
Wirt: Kaninchen
Polyclonal
HRP
Applikationshinweise
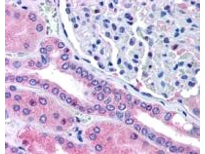
ELISA: Antibody detection limit dilution 1:32,000. Western Blot: Approximately 35 kDa band in human pancreas and prostate lysates after 0.3 μg/mL antibody staining.2. The 35 kDa band was successfully blocked by incubation with the immunizing peptide. Immunohistochemistry: In paraffin embedded human kidney shows staining of cellular membrane and cytoplasm in convoluted tubular cells. Recommended concentration 5-10 μg/mL.
Beschränkungen
Nur für Forschungszwecke einsetzbar
Format
Liquid
Konzentration
500 μg/mL
Buffer
Tris saline, 0.02 % sodium azide, pH 7.3 with 0.5 % bovine serum albumin.
Konservierungsmittel
Sodium azide
Vorsichtsmaßnahmen
This product contains Sodium azide: a POISONOUS AND HAZARDOUS SUBSTANCE which should be handled by trained staff only.
Handhabung
Minimize freezing and thawing.
Lagerung
-20 °C
Informationen zur Lagerung
Aliquot and store at -20 °C.
Target
RHPN2
(Rhophilin, rho GTPase Binding Protein 2 (RHPN2))