Telefon:
+49 (0)241 95 163 153
Fax:
+49 (0)241 95 163 155
E-Mail:
orders@antikoerper-online.de

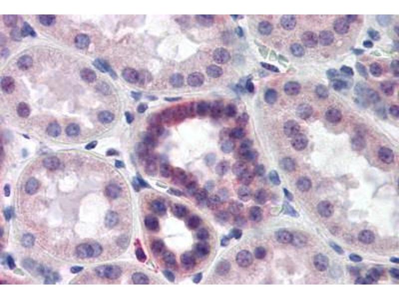
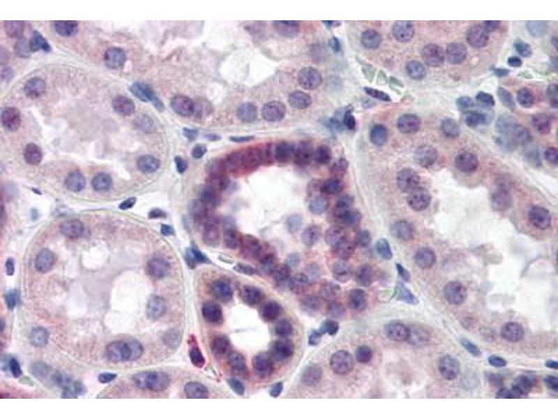
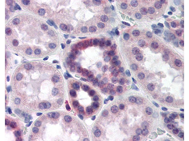
CAND2 Antikörper (C-Term)

Dieser Kaninchen Polyklonal Antikörper detektiert spezifisch CAND2 in WB, IP, IHC, ELISA und IHC (p). Es zeigt Reaktivität gegenüber Proben von Human.
Produktnummer ABIN218497
674,61 €
Zzgl. Versandkosten 20,00 € und MwSt
50 μL
Lieferung nach: Deutschland
Lieferung in 15 bis 20 Werktagen

Kurzübersicht für CAND2 Antikörper (C-Term) (ABIN218497)

Target

Alle CAND2 Antikörper anzeigen
CAND2 (Cullin-Associated and Neddylation-Dissociated 2 (CAND2))

Reaktivität

  • 10
  • 8
  • 6
  • 4
  • 3
  • 3
  • 3
  • 2
  • 2
  • 2
  • 1
  • 1
  • 1
  • 1
  • 1
Human

Wirt

  • 10
Kaninchen

Klonalität

  • 10
Polyklonal

Konjugat

  • 10
Dieser CAND2 Antikörper ist unkonjugiert

Applikation

Western Blotting (WB), Immunoprecipitation (IP), Immunohistochemistry (IHC), ELISA, Immunohistochemistry (Paraffin-embedded Sections) (IHC (p))
  • Bindungsspezifität

    • 3
    • 2
    • 1
    • 1
    C-Term

    Spezifität

    Amino acids 1130-1143 of Human CAND2/TIP120B (C-terminal) coupled to KLH.

    Aufreinigung

    Delipidated and defibrinated

    Immunogen

    Synthetic peptide from human CAND2 / TIP120B.

    Type of Immunogen: Synthetic peptide
  • Applikationshinweise

    Approved: ELISA (1:2000 - 1:10000), IHC, IHC-P (1:500), IP, WB (1:500 - 1:1000)

    Usage: Immunohistochemistry: This antibody was validated for use in immunohistochemistry on a panel of 21 formalin-fixed, paraffin-embedded (FFPE) human tissues after heat induced antigen retrieval in  pH 6.0 citrate buffer. After incubation with the primary antibody, slides were incubated with biotinylated secondary antibody, followed by alkaline phosphatase-streptavidin and chromogen. The stained slides were evaluated by a pathologist to confirm staining specificity. The optimal working concentration for this antibody was determined to be 1:500.

    Kommentare

    Target Species of Antibody: Human

    Beschränkungen

    Nur für Forschungszwecke einsetzbar
  • Format

    Liquid

    Konzentration

    Lot specific

    Buffer

    0.01 % sodium azide.

    Konservierungsmittel

    Sodium azide

    Vorsichtsmaßnahmen

    This product contains Sodium azide: a POISONOUS AND HAZARDOUS SUBSTANCE which should be handled by trained staff only.

    Handhabung

    Aliquot to Avoid freeze/thaw cycles. Store undiluted.

    Lagerung

    -20 °C

    Informationen zur Lagerung

    Store at -20°C. Aliquot to avoid freeze-thaw cycles. Store undiluted.
  • Target

    CAND2 (Cullin-Associated and Neddylation-Dissociated 2 (CAND2))

    Andere Bezeichnung

    CAND2 / TIP120B

    Hintergrund

    Name/Gene ID: CAND2

    Synonyms: CAND2, KIAA0667, p120 CAND2, TBP interacting protein, TIP120B, TBP-interacting protein 120B, Tp120b

    Gen-ID

    23066

    UniProt

    O75155
Sie sind hier:
Chat with us!