PAS1C1 Antikörper
Kurzübersicht für PAS1C1 Antikörper (ABIN2178207)
Target
Alle PAS1C1 (IFLTD1) Antikörper anzeigenReaktivität
Wirt
Klonalität
Konjugat
Applikation
-
-
Kreuzreaktivität
- Human, Maus, Ratte
-
Aufreinigung
- Purified by Protein A.
-
Immunogen
- KLH conjugated synthetic peptide derived from human PAS1C1
-
Isotyp
- IgG
-
-
-
-
Applikationshinweise
-
WB 1:300-5000
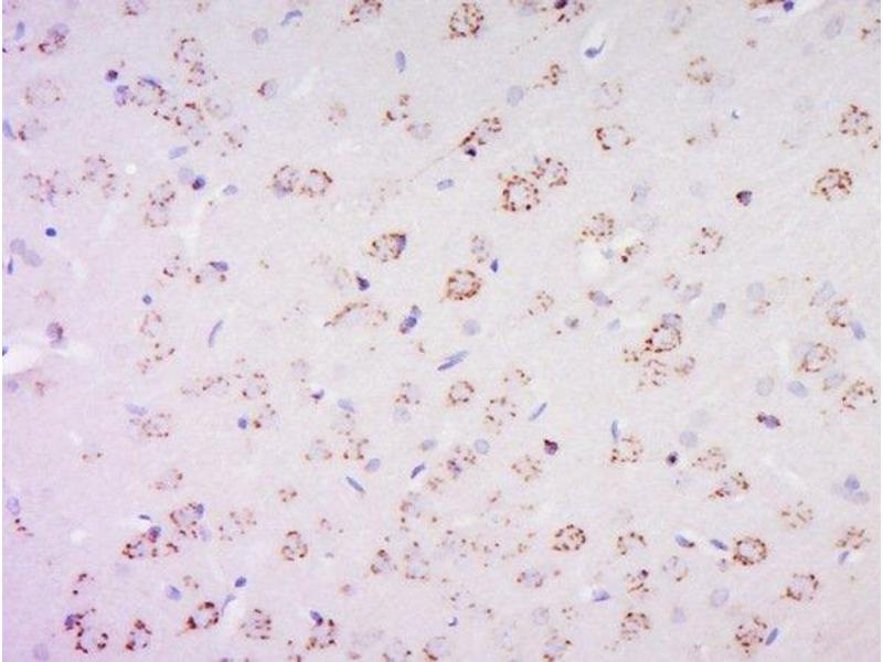
IHC-P 1:200-400
IF(IHC-P) 1:50-200 -
Beschränkungen
- Nur für Forschungszwecke einsetzbar
-
-
-
Format
- Liquid
-
Konzentration
- 1 μg/μL
-
Buffer
- 0.01M TBS( pH 7.4) with 1 % BSA, 0.02 % Proclin300 and 50 % Glycerol.
-
Konservierungsmittel
- ProClin
-
Vorsichtsmaßnahmen
- This product contains ProClin: a POISONOUS AND HAZARDOUS SUBSTANCE, which should be handled by trained staff only.
-
Lagerung
- 4 °C,-20 °C
-
Informationen zur Lagerung
- Shipped at 4°C. Store at -20°C for one year. Avoid repeated freeze/thaw cycles.
-
Haltbarkeit
- 12 months
-
-
- PAS1C1 (IFLTD1) (Intermediate Filament Tail Domain Containing 1 (IFLTD1))
-
Andere Bezeichnung
- PAS1C1
-
Hintergrund
-
Synonyms: IFLTD1, ILFT1_HUMAN, Intermediate filament tail domain containing 1, Intermediate filament tail domain containing protein 1, Intermediate filament tail domain-containing protein 1, Lamin A related sequence 1 protein, Lmna rs1, Lmna1.
Background: Belongs to the intermediate filament family.
-
Gen-ID
- 160492
Target
-