CXORF36 Antikörper (AA 91-182)
Kurzübersicht für CXORF36 Antikörper (AA 91-182) (ABIN2173455)
Target
Reaktivität
Wirt
Klonalität
Konjugat
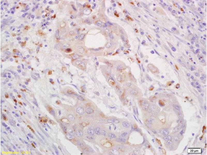
Applikation
-
-
Bindungsspezifität
- AA 91-182
-
Kreuzreaktivität
- Human, Maus
-
Homologie
- Rat,Dog,Cow
-
Aufreinigung
- Purified by Protein A.
-
Immunogen
- KLH conjugated synthetic peptide derived from human CXorf36
-
Isotyp
- IgG
-
-
-
-
Applikationshinweise
-
WB 1:300-5000
ELISA 1:500-1000
IHC-P 1:200-400
IHC-F 1:100-500
IF(IHC-P) 1:50-200
IF(IHC-F) 1:50-200
IF(ICC) 1:50-200 -
Beschränkungen
- Nur für Forschungszwecke einsetzbar
-
-
-
Format
- Liquid
-
Konzentration
- 1 μg/μL
-
Buffer
- 0.01M TBS( pH 7.4) with 1 % BSA, 0.02 % Proclin300 and 50 % Glycerol.
-
Konservierungsmittel
- ProClin
-
Vorsichtsmaßnahmen
- This product contains ProClin: a POISONOUS AND HAZARDOUS SUBSTANCE, which should be handled by trained staff only.
-
Lagerung
- 4 °C,-20 °C
-
Informationen zur Lagerung
- Shipped at 4°C. Store at -20°C for one year. Avoid repeated freeze/thaw cycles.
-
Haltbarkeit
- 12 months
-
-
- CXORF36 (Chromosome X Open Reading Frame 36 (CXORF36))
-
Andere Bezeichnung
- CXorf36
-
Hintergrund
-
Synonyms: DIA1R, PRO3743, EPQL1862, bA435K1.1, 493578C19Rik, Deleted in autism-related protein 1, CXorf36, UNQ1862/PRO3743
Background: CXorf36
-
Gen-ID
- 79742
-
UniProt
- Q9H7Y0
Target
-