Telefon:
+49 (0)241 95 163 153
Fax:
+49 (0)241 95 163 155
E-Mail:
orders@antikoerper-online.de

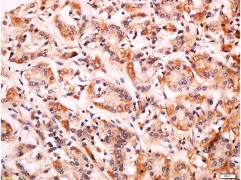
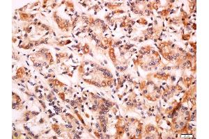
CD99L2 Antikörper (AA 81-187)

Der Kaninchen Polyklonal anti-CD99L2 Antikörper (ABIN2172765) detektiert spezifisch CD99L2 in WB, ELISA, IF (cc), IF (p), IHC (p), IHC (fro) und ICC. Dieser Antikörper reagiert spezifisch mit Proben aus Human.
Produktnummer ABIN2172765
357,70 €
Zzgl. Versandkosten 20,00 € und MwSt
100 μL
Lieferung nach: Deutschland
Lieferung in 8 bis 12 Werktagen

Kurzübersicht für CD99L2 Antikörper (AA 81-187) (ABIN2172765)

Target

Alle CD99L2 Antikörper anzeigen
CD99L2 (CD99 Molecule-Like 2 (CD99L2))

Reaktivität

  • 35
  • 6
  • 2
  • 2
  • 2
  • 2
  • 2
  • 1
  • 1
  • 1
Human

Wirt

  • 35
  • 2
  • 1
Kaninchen

Klonalität

  • 38
Polyklonal

Konjugat

  • 13
  • 5
  • 4
  • 3
  • 1
  • 1
  • 1
  • 1
  • 1
  • 1
  • 1
  • 1
  • 1
  • 1
  • 1
  • 1
  • 1
Dieser CD99L2 Antikörper ist unkonjugiert

Applikation

  • 32
  • 15
  • 12
  • 12
  • 9
  • 3
  • 2
  • 2
  • 2
  • 1
Western Blotting (WB), ELISA, Immunofluorescence (Cultured Cells) (IF (cc)), Immunofluorescence (Paraffin-embedded Sections) (IF (p)), Immunohistochemistry (Paraffin-embedded Sections) (IHC (p)), Immunohistochemistry (Frozen Sections) (IHC (fro)), Immunocytochemistry (ICC)
  • Bindungsspezifität

    • 14
    • 7
    • 5
    • 2
    • 2
    • 2
    • 1
    • 1
    • 1
    • 1
    • 1
    AA 81-187

    Kreuzreaktivität

    Human

    Aufreinigung

    Purified by Protein A.

    Immunogen

    KLH conjugated synthetic peptide derived from human CD99L2

    Isotyp

    IgG
  • Applikationshinweise

    WB 1:300-5000
    ELISA 1:500-1000
    IHC-P 1:200-400
    IHC-F 1:100-500
    IF(IHC-P) 1:50-200
    IF(IHC-F) 1:50-200
    IF(ICC) 1:50-200
    ICC 1:100-500

    Beschränkungen

    Nur für Forschungszwecke einsetzbar
  • Format

    Liquid

    Konzentration

    1 μg/μL

    Buffer

    0.01M TBS( pH 7.4) with 1 % BSA, 0.02 % Proclin300 and 50 % Glycerol.

    Konservierungsmittel

    ProClin

    Vorsichtsmaßnahmen

    This product contains ProClin: a POISONOUS AND HAZARDOUS SUBSTANCE, which should be handled by trained staff only.

    Lagerung

    4 °C,-20 °C

    Informationen zur Lagerung

    Shipped at 4°C. Store at -20°C for one year. Avoid repeated freeze/thaw cycles.

    Haltbarkeit

    12 months
  • Target

    CD99L2 (CD99 Molecule-Like 2 (CD99L2))

    Andere Bezeichnung

    CD99L2

    Hintergrund

    Synonyms: CD99B, MIC2L1, CD99 antigen-like protein 2, MIC2-like protein 1, CD99, CD99L2, UNQ1964/PRO4486

    Background: Plays a role in a late step of leukocyte extravasation helping cells to overcome the endothelial basement membrane. Acts at the same site as, but independently of, PECAM1 (By similarity). Homophilic adhesion molecule, but these interactions may not be required for cell aggregation (By similarity).

    Gen-ID

    83692

    UniProt

    Q8TCZ2
Sie sind hier:
Chat with us!