C1orf200 Antikörper (AA 31-100)
Kurzübersicht für C1orf200 Antikörper (AA 31-100) (ABIN2170951)
Target
Reaktivität
Wirt
Klonalität
Konjugat
Applikation
-
-
Bindungsspezifität
- AA 31-100
-
Kreuzreaktivität
- Human, Ratte
-
Aufreinigung
- Purified by Protein A.
-
Immunogen
- KLH conjugated synthetic peptide derived from human C1orf200
-
Isotyp
- IgG
-
-
-
-
Applikationshinweise
-
WB 1:300-5000
ELISA 1:500-1000
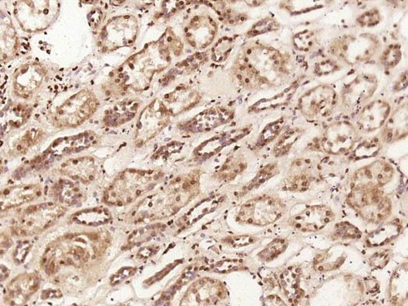
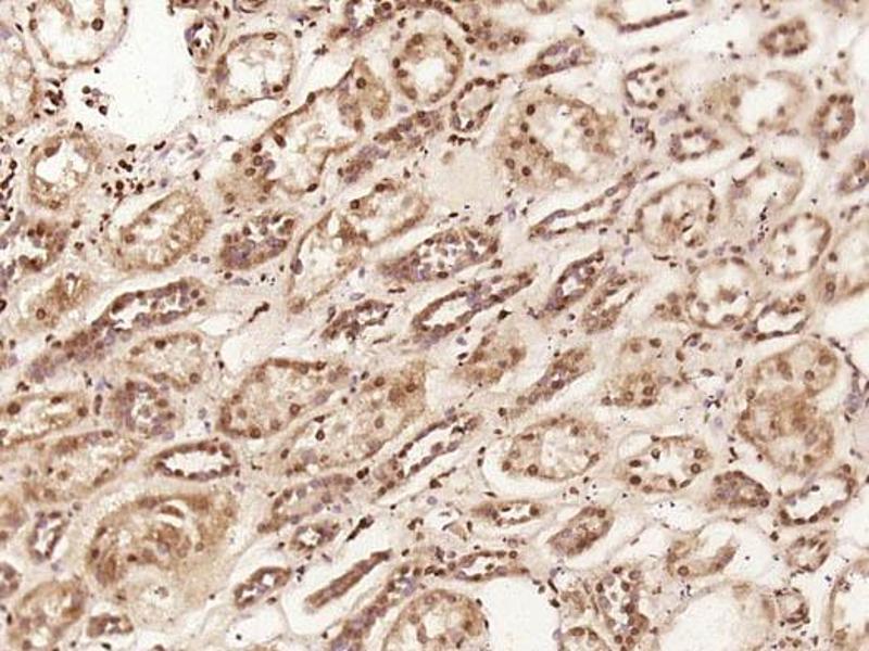
IHC-P 1:200-400
IHC-F 1:100-500
IF(IHC-P) 1:50-200
IF(IHC-F) 1:50-200
IF(ICC) 1:50-200
ICC 1:100-500 -
Beschränkungen
- Nur für Forschungszwecke einsetzbar
-
-
-
Format
- Liquid
-
Konzentration
- 1 μg/μL
-
Buffer
- 0.01M TBS( pH 7.4) with 1 % BSA, 0.02 % Proclin300 and 50 % Glycerol.
-
Konservierungsmittel
- ProClin
-
Vorsichtsmaßnahmen
- This product contains ProClin: a POISONOUS AND HAZARDOUS SUBSTANCE, which should be handled by trained staff only.
-
Lagerung
- 4 °C,-20 °C
-
Informationen zur Lagerung
- Shipped at 4°C. Store at -20°C for one year. Avoid repeated freeze/thaw cycles.
-
Haltbarkeit
- 12 months
-
-
- C1orf200 (C1ORF200) (Chromosome 1 Open Reading Frame 200 (C1ORF200))
-
Andere Bezeichnung
- C1orf200
-
Hintergrund
-
Synonyms: Chromosome 1 open reading frame 200, CA200_HUMAN.
Background: C1orf200
Target
-